扫码关注公众号           扫码咨询技术支持           扫码咨询技术服务
  
客服热线:400-901-9800  客服QQ:4009019800  技术答疑  技术支持  质量反馈  人才招聘  关于我们  联系我们
产品中心-北京博奥森生物技术有限公司
首页 > 产品中心 > 一抗 > 产品信息
DUSP26 Rabbit pAb (bs-14459R)  
订购热线:400-901-9800
订购邮箱:sales@bioss.com.cn
订购QQ:  400-901-9800
技术支持:techsupport@bioss.com.cn
50ul/1180.00元
100ul/1980.00元
200ul/2800.00元
大包装/询价

产品编号 bs-14459R
英文名称 DUSP26 Rabbit pAb
中文名称 双特异性磷酸酶抗体26抗体
别    名 DSP-4; DUSP24; LDP-4; LDP4; MKP-8; MKP8; NATA1; NEAP; SKRP3; 2310043K02Rik; CR201_G0005347; RGD1310090; DUS26_BOVIN; DUSP26; 3.1.3.16; 3.1.3.48; DUS26_HUMAN; Dual specificity phosphatase SKRP3; Low-molecular-mass dual-specificity phosphatase 4 (DSP-4 | LD  
研究领域 细胞生物  神经生物学  信号转导  激酶和磷酸酶  
抗体来源 Rabbit
克隆类型 Polyclonal
克 隆 号
交叉反应 Rat (predicted: Human,Mouse,Rabbit,Pig,Cow,Horse,Gorilla,Opossum,Marmoset (common), Orangutan)
产品应用 IHC-P=1:100-500,IHC-F=1:100-500,IF=1:100-500
not yet tested in other applications.
optimal dilutions/concentrations should be determined by the end user.
理论分子量 24 kDa
细胞定位 细胞核 细胞浆 
性    状 Liquid
浓    度 1mg/ml
免 疫 原 KLH conjugated synthetic peptide derived from human DUSP26: 111-211/211 
亚    型 IgG
纯化方法 affinity purified by Protein A
缓 冲 液 0.01M TBS (pH7.4) with 1% BSA, 0.02% Proclin300 and 50% Glycerol.
保存条件 Shipped at 4℃. Store at -20℃ for one year. Avoid repeated freeze/thaw cycles.
注意事项 This product as supplied is intended for research use only, not for use in human, therapeutic or diagnostic applications.
PubMed PubMed
产品介绍 Mitogen-activated protein (MAP) kinases are a large class of proteins involved in signal transduction pathways, which are activated by a range of stimuli and mediate a number of physiological and pathological changes in the cell. Dual specificity phosphatases (DUSPs) are a subclass of the protein tyrosine phosphatase (PTP) gene superfamily, which are selective for dephosphorylating critical phosphothreonine and phosphotyrosine residues within MAP kinases. DUSP gene expression is induced by a host of growth factors and/or cellular stresses, thereby negatively regulating MAP kinase superfamily members including MAPK/ERK, SAPK/JNK and p38. DUSP26, also designated LDP4, MKP8, NATA1 and SKRP3, is ubiquitously expressed in brain except in the hippocampus. DUSP26 dephosphorylates p38 thereby inhibiting p38-mediated apoptosis in anaplastic thyroid cancer cells. Downregulation of DUSP26 may also contribute to malignant phenotypes of glioma.

Function:
Inactivates MAPK1 and MAPK3 which leads to dephosphorylation of heat shock factor protein 4 and a reduction in its DNA-binding activity. Inhibits MAP kinase p38 by dephosphorylating it and inhibits p38-mediated apoptosis in anaplastic thyroid cancer cells. Can also induce activation of MAP kinase p38 and c-Jun N-terminal kinase (JNK).

Subcellular Location:
Cytoplasm. Nucleus. Golgi apparatus.

Tissue Specificity:
Brain. In the brain it is expressed ubiquitously except in the hippocampus. Expressed in embryonal cancers (retinoblastoma, neuroepithilioma and neuroblastoma) and in anaplatic thyroid cancer.

Similarity:
Belongs to the protein-tyrosine phosphatase family. Non-receptor class dual specificity subfamily.
Contains 1 tyrosine-protein phosphatase domain.

SWISS:
Q9BV47

Gene ID:
78986

Database links:

Entrez Gene: 78986 Human

Entrez Gene: 426921 Chicken

Entrez Gene: 533896 Cow

Entrez Gene: 66959 Mouse

Entrez Gene: 100173535 Orangutan

Entrez Gene: 306527 Rat

SwissProt: Q17QJ3 Cow

SwissProt: Q9BV47 Human

SwissProt: Q9D700 Mouse

SwissProt: Q5R6H6 Orangutan

SwissProt: Q5FVI9 Rat

Unigene: 8719 Human

Unigene: 23916 Mouse

Unigene: 22231 Rat



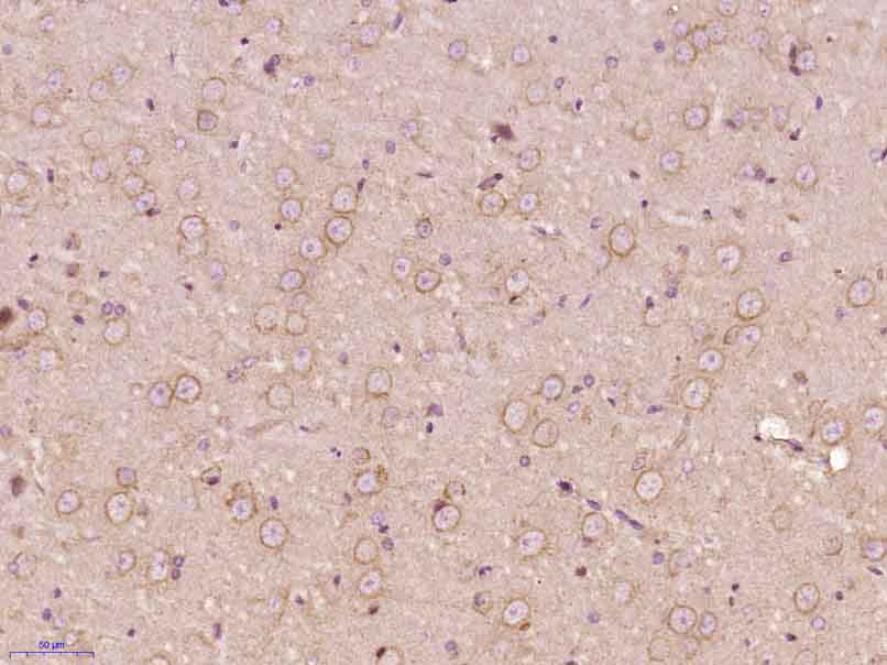
产品图片
Paraformaldehyde-fixed, paraffin embedded (Rat brain); Antigen retrieval by boiling in sodium citrate buffer (pH6.0) for 15min; Block endogenous peroxidase by 3% hydrogen peroxide for 20 minutes; Blocking buffer (normal goat serum) at 37°C for 30min; Antibody incubation with (DUSP26) Polyclonal Antibody, Unconjugated (bs-14459R) at 1:400 overnight at 4°C, followed by operating according to SP Kit(Rabbit) (sp-0023) instructionsand DAB staining.
版权所有 2004-2026 www.bioss.com.cn 北京博奥森生物技术有限公司
通过国际质量管理体系ISO 9001:2015 GB/T 19001-2016    证书编号: 00124Q34771R2M/1100
通过国际医疗器械-质量管理体系ISO 13485:2016 GB/T 42061-2022     证书编号: CQC24QY20047R0M/1100
京ICP备05066980号-1         京公网安备110107000727号