扫码关注公众号           扫码咨询技术支持           扫码咨询技术服务
  
客服热线:400-901-9800  客服QQ:4009019800  技术答疑  技术支持  质量反馈  关于我们  联系我们
产品中心-北京博奥森生物技术有限公司
首页 > 产品中心 > 一抗 > 产品信息
eIF4A3 Rabbit pAb (bs-14548R)  
订购热线:400-901-9800
订购邮箱:sales@bioss.com.cn
订购QQ:  400-901-9800
技术支持:techsupport@bioss.com.cn
50ul/1180.00元
100ul/1980.00元
200ul/2800.00元
大包装/询价

产品编号 bs-14548R
英文名称 eIF4A3 Rabbit pAb
中文名称 eIF4A3蛋白抗体
别    名 ATP-dependent RNA helicase DDX48; ATP-dependent RNA helicase eIF4A-3; DDX48; DEAD box protein 48; eIF-4A-III; eIF4A-III; EIF4A3; eIF4AIII; Eukaryotic initiation factor 4A-III; Eukaryotic initiation factor 4A-like NUK-34; EUKARYOTIC TRANSLATION INITIATION FACTOR 4A ISOFORM 3; hNMP 265; IF4A3_HUMAN; NMP 265; NMP265; NUCLEAR MATRIX PROTEIN 265; NUK34.  
Specific References  (1)     |     bs-14548R has been referenced in 1 publications.
[IF=11.161] Zhipeng Jiang. et al. EIF4A3-induced circ_0084615 contributes to the progression of colorectal cancer via miR-599/ONECUT2 pathway. J Exp Clin Canc Res. 2021 Dec;40(1):1-15  IP ;  Human.  
研究领域 细胞生物  细胞分化  表观遗传学  
抗体来源 Rabbit
克隆类型 Polyclonal
克 隆 号
交叉反应 Human,Mouse,Rat (predicted: Cow,Chicken,Dog,Horse)
产品应用 WB=1:500-2000,IHC-P=1:100-500,IHC-F=1:100-500,IF=1:100-500,Flow-Cyt=2ug/Test,ICC/IF=1:100-500
not yet tested in other applications.
optimal dilutions/concentrations should be determined by the end user.
理论分子量 47 kDa
检测分子量
细胞定位 细胞核 细胞浆 
性    状 Liquid
浓    度 1mg/ml
免 疫 原 KLH conjugated synthetic peptide derived from human eIF4A3: 351-411/411 
亚    型 IgG
纯化方法 affinity purified by Protein A
缓 冲 液 0.01M TBS (pH7.4) with 1% BSA, 0.02% Proclin300 and 50% Glycerol.
保存条件 Shipped at 4℃. Store at -20℃ for one year. Avoid repeated freeze/thaw cycles.
注意事项 This product as supplied is intended for research use only, not for use in human, therapeutic or diagnostic applications.
PubMed PubMed
产品介绍 This gene encodes a member of the DEAD box protein family. DEAD box proteins, characterized by the conserved motif Asp-Glu-Ala-Asp (DEAD), are putative RNA helicases. They are implicated in a number of cellular processes involving alteration of RNA secondary structure, such as translation initiation, nuclear and mitochondrial splicing, and ribosome and spliceosome assembly. Based on their distribution patterns, some members of this family are believed to be involved in embryogenesis, spermatogenesis, and cellular growth and division. The protein encoded by this gene is a nuclear matrix protein. Its amino acid sequence is highly similar to the amino acid sequences of the translation initiation factors eIF4AI and eIF4AII, two other members of the DEAD box protein family. [provided by RefSeq, Jul 2008]

Function:
ATP-dependent RNA helicase. Component of a splicing-dependent multiprotein exon junction complex (EJC) deposited at splice junction on mRNAs. The EJC is a dynamic structure consisting of a few core proteins and several more peripheral nuclear and cytoplasmic associated factors that join the complex only transiently either during EJC assembly or during subsequent mRNA metabolism. Core components of the EJC, that remains bound to spliced mRNAs throughout all stages of mRNA metabolism, functions to mark the position of the exon-exon junction in the mature mRNA and thereby influences downstream processes of gene expression including mRNA splicing, nuclear mRNA export, subcellular mRNA localization, translation efficiency and nonsense-mediated mRNA decay (NMD). Constitutes at least part of the platform anchoring other EJC proteins to spliced mRNAs. Its RNA-dependent ATPase and RNA-helicase activities are induced by CASC3, but abolished in presence of the MAGOH/RBM8A heterodimer, thereby trapping the ATP-bound EJC core onto spliced mRNA in a stable conformation. The inhibition of ATPase activity by the MAGOH/RBM8A heterodimer increases the RNA-binding affinity of the EJC. Involved in translational enhancement of spliced mRNAs after formation of the 80S ribosome complex. Binds spliced mRNA in sequence-independent manner, 20-24 nucleotides upstream of mRNA exon-exon junctions. Shows higher affinity for single-stranded RNA in an ATP-bound core EJC complex than after the ATP is hydrolyzed.

Subcellular Location:
Nucleus. Nucleus speckle. Cytoplasm. Nucleocytoplasmic shuttling protein. Travels to the cytoplasm as part of the exon junction complex (EJC) bound to mRNA. Detected in dendritic layer as well as the nuclear and cytoplasmic (somatic) compartments of neurons. Colocalizes with STAU1 and FMR1 in dendrites.

Tissue Specificity:
Ubiquitously expressed.

Similarity:
Belongs to the DEAD box helicase family. eIF4A subfamily.
Contains 1 helicase ATP-binding domain.
Contains 1 helicase C-terminal domain.

SWISS:
P38919

Gene ID:
9775

Database links:

Entrez Gene: 9775 Human

 Entrez Gene: 515145 Cow

Entrez Gene: 192170 Mouse

Entrez Gene: 688288 Rat

Entrez Gene: 399362 Xenopus laevis

Entrez Gene: 394053 Zebrafish

Omim: 608546 Human

SwissProt: Q5ZM36 Chicken

SwissProt: Q2NL22 Cow

SwissProt: Q4R3Q1 Cynomolgus Monkey

SwissProt: P38919 Human

SwissProt: Q91VC3 Mouse

SwissProt: Q3B8Q2 Rat

SwissProt: O42226 Xenopus laevis

SwissProt: Q5U526 Xenopus laevis

SwissProt: Q7ZVA6 Zebrafish

Unigene: 389649 Human

Unigene: 197555 Mouse

Unigene: 422975 Mouse

Unigene: 202617 Rat

Unigene: 78203 Zebrafish



产品图片
Sample: Lane 1: Mouse Testis tissue lysates Lane 2: Rat Testis tissue lysates Lane 3: Human HepG2 cell lysates Lane 4: Human HeLa cell lysates Lane 5: Human MCF-7 cell lysates Primary: Anti-eIF4A3 (bs-14548R) at 1/1000 dilution Secondary: IRDye800CW Goat Anti-Rabbit IgG at 1/20000 dilution Predicted band size: 47 kDa Observed band size: 47 kDa
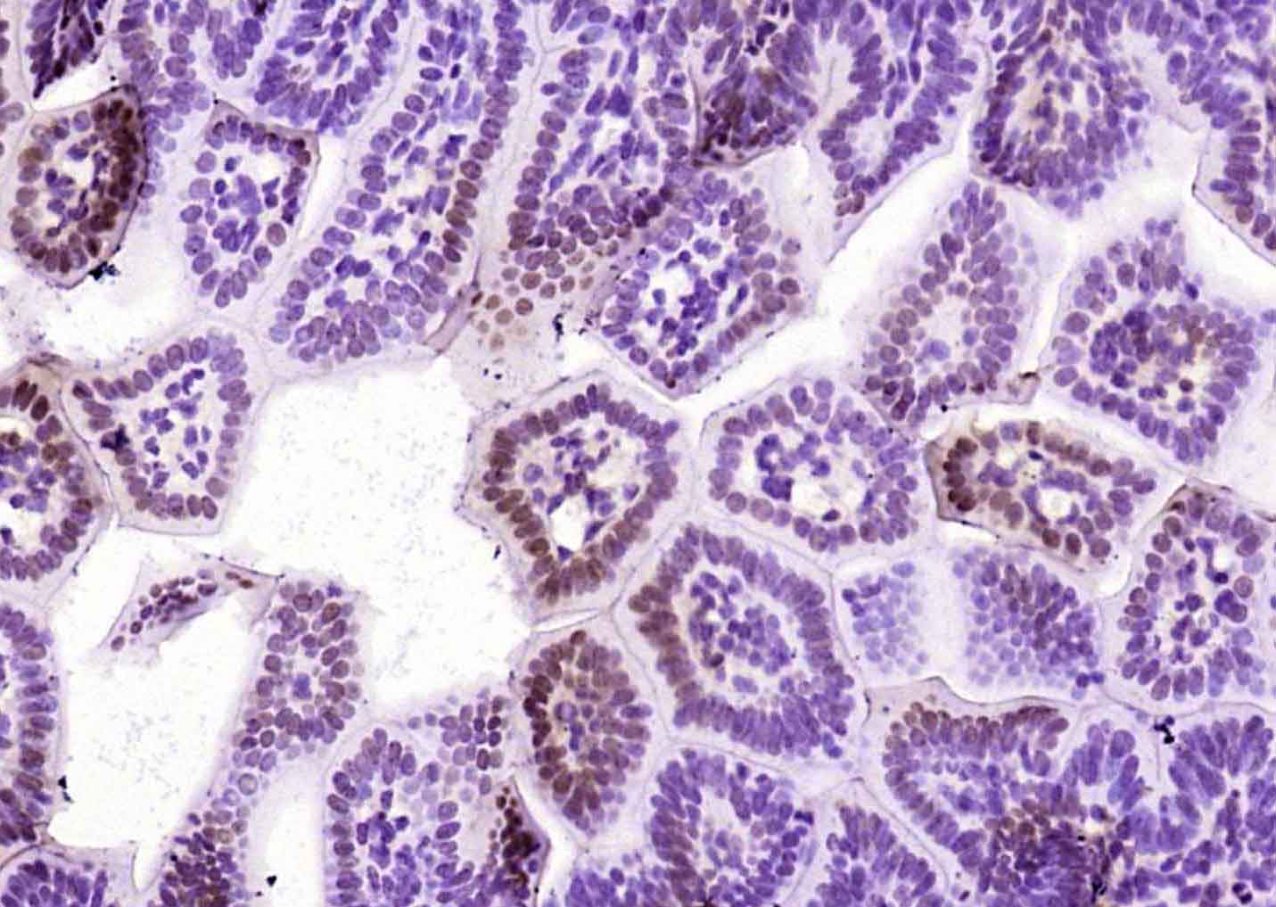
Tissue/cell: mouse embryo tissue; 4% Paraformaldehyde-fixed and paraffin-embedded; Antigen retrieval: citrate buffer ( 0.01M, pH 6.0 ), Boiling bathing for 15min; Block endogenous peroxidase by 3% Hydrogen peroxide for 30min; Blocking buffer (normal goat serum,C-0005) at 37℃ for 20 min; Incubation: Anti-eIF4A3 Polyclonal Antibody, Unconjugated(bs-14548R) 1:200, overnight at 4°C, followed by conjugation to the secondary antibody(SP-0023) and DAB(C-0010) staining
Paraformaldehyde-fixed, paraffin embedded (mouse embryos tissue); Antigen retrieval by boiling in sodium citrate buffer (pH6.0) for 15min; Block endogenous peroxidase by 3% hydrogen peroxide for 20 minutes; Blocking buffer (normal goat serum) at 37°C for 30min; Antibody incubation with (eIF4A3) Polyclonal Antibody, Unconjugated (bs-14548R) at 1:200 overnight at 4°C, followed by operating according to SP Kit(Rabbit) (sp-0023) instructionsand DAB staining.
Paraformaldehyde-fixed, paraffin embedded (human liver carcinoma); Antigen retrieval by boiling in sodium citrate buffer (pH6.0) for 15min; Block endogenous peroxidase by 3% hydrogen peroxide for 20 minutes; Blocking buffer (normal goat serum) at 37°C for 30min; Antibody incubation with (eIF4A3) Polyclonal Antibody, Unconjugated (bs-14548R) at 1:200 overnight at 4°C, followed by operating according to SP Kit(Rabbit) (sp-0023) instructionsand DAB staining.
Paraformaldehyde-fixed, paraffin embedded (rat brain tissue); Antigen retrieval by boiling in sodium citrate buffer (pH6.0) for 15min; Block endogenous peroxidase by 3% hydrogen peroxide for 20 minutes; Blocking buffer (normal goat serum) at 37°C for 30min; Antibody incubation with (eIF4A3) Polyclonal Antibody, Unconjugated (bs-14548R) at 1:200 overnight at 4°C, followed by operating according to SP Kit(Rabbit) (sp-0023) instructionsand DAB staining
HepG2 cell; 4% Paraformaldehyde-fixed; Triton X-100 at room temperature for 20 min; Blocking buffer (normal goat serum, C-0005) at 37°C for 20 min; Antibody incubation with (eIF4A3) polyclonal Antibody, Unconjugated (bs-14548R) 1:100, 90 minutes at 37°C; followed by a conjugated Goat Anti-Rabbit IgG antibody at 37°C for 90 minutes, DAPI (blue, C02-04002) was used to stain the cell nuclei.
Blank control:Hela. Primary Antibody (green line): Rabbit Anti-eIF4A3 antibody (bs-14548R) Dilution: 2ug/Test; Secondary Antibody : Goat anti-rabbit IgG-FITC Dilution: 0.5ug/Test. Protocol The cells were fixed with 4% PFA (10min at room temperature)and then permeabilized with 90% ice-cold methanol for 20 min at -20℃.The cells were then incubated in 5%BSA to block non-specific protein-protein interactions for 30 min at room temperature .Cells stained with Primary Antibody for 30 min at room temperature. The secondary antibody used for 40 min at room temperature. Acquisition of 20,000 events was performed.
版权所有 2004-2026 www.bioss.com.cn 北京博奥森生物技术有限公司
通过国际质量管理体系ISO 9001:2015 GB/T 19001-2016    证书编号: 00124Q34771R2M/1100
通过国际医疗器械-质量管理体系ISO 13485:2016 GB/T 42061-2022     证书编号: CQC24QY20047R0M/1100
京ICP备05066980号-1         京公网安备110107000727号