扫码关注公众号           扫码咨询技术支持           扫码咨询技术服务
  
客服热线:400-901-9800  客服QQ:4009019800  技术答疑  技术支持  质量反馈  关于我们  联系我们
产品中心-北京博奥森生物技术有限公司
首页 > 产品中心 > 一抗 > 产品信息
CUG-BP1/2 Rabbit pAb (bs-14562R)  
订购热线:400-901-9800
订购邮箱:sales@bioss.com.cn
订购QQ:  400-901-9800
技术支持:techsupport@bioss.com.cn
50ul/1180.00元
100ul/1980.00元
200ul/2800.00元
大包装/询价

产品编号 bs-14562R
英文名称 CUG-BP1/2 Rabbit pAb
中文名称 胞苷尿苷鸟苷结合蛋白1/2,神经母细胞瘤细胞凋亡相关RNA结合蛋白抗体
别    名 CUG-BP1; CUG-BP12; Elav-type RNA-binding protein ETR3; Bruno-like protein 3; BRUNOL3; Cardiac elav type RNA binding protein; CELF-2; celf2; CELF2_HUMAN; CUG BP2; CUG triplet repeat RNA-binding protein 2; CUG-BP-and ETR-3-like factor 2; CUG-BP2; CUGBP Elav like family member 2; CUGBP Elav-like family member 2; CUGBP2; dJ323N1.1; elav type RNA binding protein; ELAV-type RNA-binding protein 3; ETR 3; ETR-3; HGNC:2550; hNAPOR; NAPOR 2; NAPOR; Neuroblastoma apoptosis-related RNA-binding protein; Neuroplastoma apoptosis related RNA binding protein 3; RNA binding protein BRUNOL3; RNA-binding protein BRUNOL-3.  
研究领域 细胞生物  神经生物学  结合蛋白  表观遗传学  
抗体来源 Rabbit
克隆类型 Polyclonal
克 隆 号
交叉反应 Human,Rat (predicted: Mouse,Rabbit,Pig,Cow,Xenopus laevis)
产品应用 IHC-P=1:100-500,IHC-F=1:100-500,IF=1:100-500
not yet tested in other applications.
optimal dilutions/concentrations should be determined by the end user.
理论分子量 54 kDa
检测分子量
细胞定位 细胞核 细胞浆 
性    状 Liquid
浓    度 1mg/ml
免 疫 原 KLH conjugated synthetic peptide derived from human CUG-BP1 and CUG-BP2: 421-508/508 
亚    型 IgG
纯化方法 affinity purified by Protein A
缓 冲 液 0.01M TBS (pH7.4) with 1% BSA, 0.02% Proclin300 and 50% Glycerol.
保存条件 Shipped at 4℃. Store at -20℃ for one year. Avoid repeated freeze/thaw cycles.
注意事项 This product as supplied is intended for research use only, not for use in human, therapeutic or diagnostic applications.
PubMed PubMed
产品介绍 Members of the CELF/BRUNOL protein family contain two N-terminal RNA recognition motif (RRM) domains, one C-terminal RRM domain, and a divergent segment of 160-230 aa between the second and third RRM domains. Members of this protein family regulate pre-mRNA alternative splicing and may also be involved in mRNA editing, and translation. Alternative splicing results in multiple transcript variants encoding different isoforms. [provided by RefSeq, Jul 2008]

Function:
RNA-binding protein implicated in the regulation of several post-transcriptional events. Involved in pre-mRNA alternative splicing, mRNA translation and stability. Mediates exon inclusion and/or exclusion in pre-mRNA that are subject to tissue-specific and developmentally regulated alternative splicing. Specifically activates exon 5 inclusion of TNNT2 in embryonic, but not adult, skeletal muscle. Activates TNNT2 exon 5 inclusion by antagonizing the repressive effect of PTB. Acts as both an activator and repressor of a pair of coregulated exons: promotes inclusion of the smooth muscle (SM) exon but exclusion of the non-muscle (NM) exon in actinin pre-mRNAs. Promotes inclusion of exonS 21 and exclusion of exon 5 of the NMDA receptor R1 pre-mRNA. Involved in the apoB RNA editing activity. Increases COX2 mRNA stability and inhibits COX2 mRNA translation in epithelial cells after radiation injury (By similarity). Modulates the cellular apoptosis program by regulating COX2-mediated prostaglandin E2 (PGE2) expression (By similarity). Binds to (CUG)n triplet repeats in the 3'-UTR of transcripts such as DMPK. Binds to the muscle-specific splicing enhancer (MSE) intronic sites flanking the TNNT2 alternative exon 5. Binds preferentially to UG-rich sequences, in particular UG repeat and UGUU motifs. Binds to apoB mRNA, specifically to AU-rich sequences located immediatly upstream of the edited cytidine. Binds AU-rich sequences in the 3'-UTR of COX2 mRNA (By similarity). Binds to an intronic RNA element responsible for the silencing of exon 21 splicing (By similarity). Binds to (CUG)n repeats.

Subcellular Location:
Nucleus. Cytoplasm. Accumulates in the cytoplasm after ionizing radiation (By similarity). Colocalizes with APOBEC1 and A1CF. RNA-binding activity is detected in both nuclear and cytoplasmic compartments.

Tissue Specificity:
Expressed in frontal cortex. Isoform 1 is expressed in brain and lung. Isoform 2 is expressed in heart, brain, placenta, lung, liver, kidney, skeletal muscle and pancreas. Isoform 4 is expressed in heart, lung, skeletal muscle, kidney and pancreas.

Similarity:
Belongs to the CELF/BRUNOL family.
Contains 3 RRM (RNA recognition motif) domains.

SWISS:
O95319

Gene ID:
10659

Database links:

Entrez Gene: 10659 Human

Entrez Gene: 14007 Mouse

Entrez Gene: 100335150 Xenopus laevis

Entrez Gene: 379280 Xenopus laevis

Entrez Gene: 373117 Zebrafish

Omim: 602538 Human

SwissProt: Q7T2T1 Chicken

SwissProt: O95319 Human

SwissProt: Q9Z0H4 Mouse

SwissProt: Q7ZXE2 Xenopus laevis

SwissProt: Q6P0B1 Zebrafish

Unigene: 309288 Human

Unigene: 398543 Mouse

Unigene: 1068 Xenopus laevis

Unigene: 85486 Xenopus laevis

Unigene: 77531 Zebrafish



产品图片
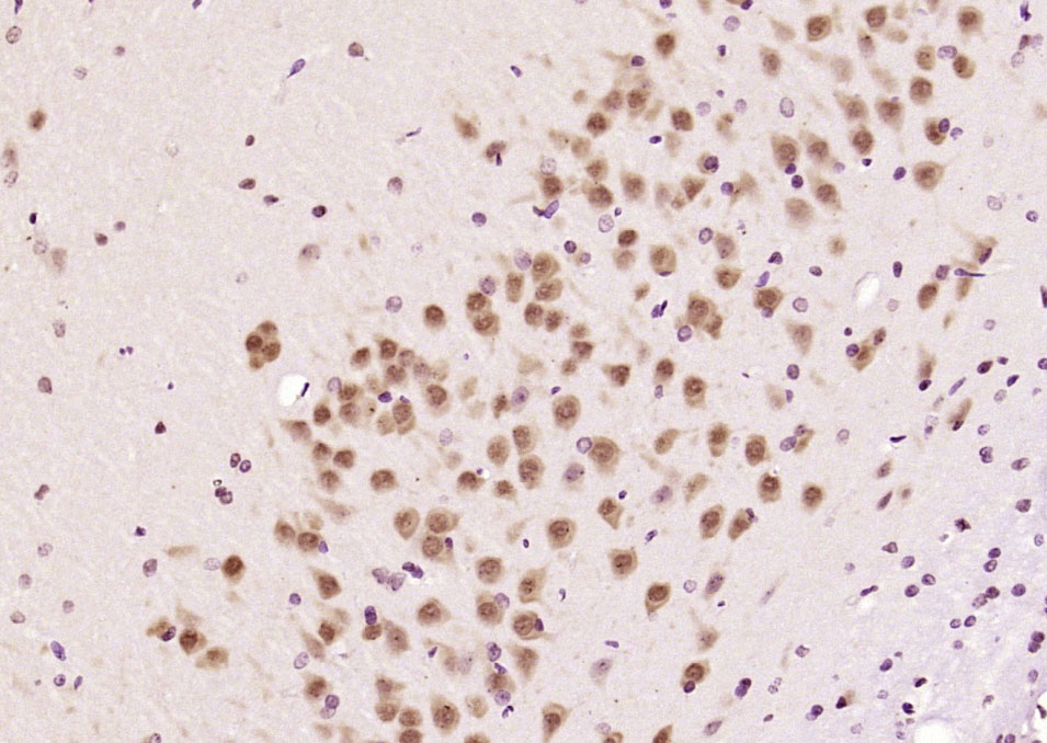
Paraformaldehyde-fixed, paraffin embedded (rat brain); Antigen retrieval by boiling in sodium citrate buffer (pH6.0) for 15min; Block endogenous peroxidase by 3% hydrogen peroxide for 20 minutes; Blocking buffer (normal goat serum) at 37°C for 30min; Antibody incubation with (CUG-BP1,2) Polyclonal Antibody, Unconjugated (bs-14562R) at 1:200 overnight at 4°C, followed by operating according to SP Kit(Rabbit) (sp-0023) instructionsand DAB staining.
Tissue/cell: human lung carcinoma; 4% Paraformaldehyde-fixed and paraffin-embedded; Antigen retrieval: citrate buffer ( 0.01M, pH 6.0 ), Boiling bathing for 15min; Block endogenous peroxidase by 3% Hydrogen peroxide for 30min; Blocking buffer (normal goat serum,C-0005) at 37℃ for 20 min; Incubation: Anti-CUG-BP1/2 Polyclonal Antibody, Unconjugated(bs-14562R) 1:200, overnight at 4°C, followed by conjugation to the secondary antibody(SP-0023) and DAB(C-0010) staining
Paraformaldehyde-fixed, paraffin embedded (rat heart); Antigen retrieval by boiling in sodium citrate buffer (pH6.0) for 15min; Block endogenous peroxidase by 3% hydrogen peroxide for 20 minutes; Blocking buffer (normal goat serum) at 37°C for 30min; Antibody incubation with (CUG-BP1,2) Polyclonal Antibody, Unconjugated (bs-14562R) at 1:200 overnight at 4°C, followed by operating according to SP Kit(Rabbit) (sp-0023) instructionsand DAB staining.
Paraformaldehyde-fixed, paraffin embedded (rat lung); Antigen retrieval by boiling in sodium citrate buffer (pH6.0) for 15min; Block endogenous peroxidase by 3% hydrogen peroxide for 20 minutes; Blocking buffer (normal goat serum) at 37°C for 30min; Antibody incubation with (CUG-BP1,2) Polyclonal Antibody, Unconjugated (bs-14562R) at 1:200 overnight at 4°C, followed by operating according to SP Kit(Rabbit) (sp-0023) instructionsand DAB staining.
版权所有 2004-2026 www.bioss.com.cn 北京博奥森生物技术有限公司
通过国际质量管理体系ISO 9001:2015 GB/T 19001-2016    证书编号: 00124Q34771R2M/1100
通过国际医疗器械-质量管理体系ISO 13485:2016 GB/T 42061-2022     证书编号: CQC24QY20047R0M/1100
京ICP备05066980号-1         京公网安备110107000727号