扫码关注公众号           扫码咨询技术支持           扫码咨询技术服务
  
客服热线:400-901-9800  客服QQ:4009019800  技术答疑  技术支持  质量反馈  关于我们  联系我们
产品中心-北京博奥森生物技术有限公司
首页 > 产品中心 > 一抗 > 产品信息
ELMO3 Rabbit pAb (bs-14566R)  
订购热线:400-901-9800
订购邮箱:sales@bioss.com.cn
订购QQ:  400-901-9800
技术支持:techsupport@bioss.com.cn
50ul/1180.00元
100ul/1980.00元
200ul/2800.00元
大包装/询价

产品编号 bs-14566R
英文名称 ELMO3 Rabbit pAb
中文名称 ELMO3蛋白抗体
别    名 CED 12; Ced 12 homolog 3; CED12; ELMO 3; ELMO3; ELMO3_HUMAN; Engulfment and cell motility 3; Engulfment and cell motility protein 3; FLJ13824.  
研究领域 细胞生物  细胞凋亡  新陈代谢  
抗体来源 Rabbit
克隆类型 Polyclonal
克 隆 号
交叉反应 Human,Mouse (predicted: Rat,Pig,Cow,Dog,GuineaPig,Horse)
产品应用 WB=1:500-2000,IHC-P=1:100-500,IHC-F=1:100-500,IF=1:100-500
not yet tested in other applications.
optimal dilutions/concentrations should be determined by the end user.
理论分子量 69 kDa
检测分子量
细胞定位 细胞浆 
性    状 Liquid
浓    度 1mg/ml
免 疫 原 KLH conjugated synthetic peptide derived from human ELMO3: 501-600/720 
亚    型 IgG
纯化方法 affinity purified by Protein A
缓 冲 液 0.01M TBS (pH7.4) with 1% BSA, 0.02% Proclin300 and 50% Glycerol.
保存条件 Shipped at 4℃. Store at -20℃ for one year. Avoid repeated freeze/thaw cycles.
注意事项 This product as supplied is intended for research use only, not for use in human, therapeutic or diagnostic applications.
PubMed PubMed
产品介绍 Elmo1 associates with DOCK 180 and may influence phagocytosis and effect cell shape changes. Src family kinase mediated tyrosine phosphorylation of ELMO1 influences signaling through Elmo1/Crk/DOCK 180 pathways. Elmo2 interacts directly with Rho G in a GTP-dependent manner and forms a ternary complex with DOCK 180 to induce activation of Rac 1. The RhoG-Elmo2-DOCK 180 pathway is required for activation of Rac 1 and cell spreading mediated by integrin, as well as for neurite outgrowth induced by nerve growth factor. Elmo3 acts in assocation with DOCK180 and Crk II and may be required in complex with DOCK180 to activate Rac/Rho small GTPases.

Function:
Involved in cytoskeletal rearrangements required for phagocytosis of apoptotic cells and cell motility. Acts in assocation with DOCK1 and CRK. Was initially proposed to be required in complex with DOCK1 to activate Rac Rho small GTPases. May enhance the guanine nucleotide exchange factor (GEF) activity of DOCK1.

Subcellular Location:
Cytoplasm.

Similarity:
Contains 1 ELMO domain.
Contains 1 PH domain.

SWISS:
Q96BJ8

Gene ID:
79767

Database links:

Entrez Gene: 79767 Human

Entrez Gene: 525427 Cow

Entrez Gene: 489763 Dog

Entrez Gene: 100734823 Guinea pig

Entrez Gene: 100065878 Horse

Entrez Gene: 234683 Mouse

Entrez Gene: 100522492 Pig

Entrez Gene: 291962 Rat

Omim: 606422 Human

SwissProt: A6QR40 Cow

SwissProt: Q96BJ8 Human

SwissProt: Q8BYZ7 Mouse

SwissProt: Q499U2 Rat

Unigene: 377416 Human

Unigene: 237966 Mouse

Unigene: 151249 Rat



产品图片
Sample: Siha(Human) Cell Lysate at 30 ug Primary: Anti- ELMO3 (bs-14566R) at 1/300 dilution Secondary: IRDye800CW Goat Anti-Rabbit IgG at 1/20000 dilution Predicted band size: 69 kD Observed band size: 69 kD
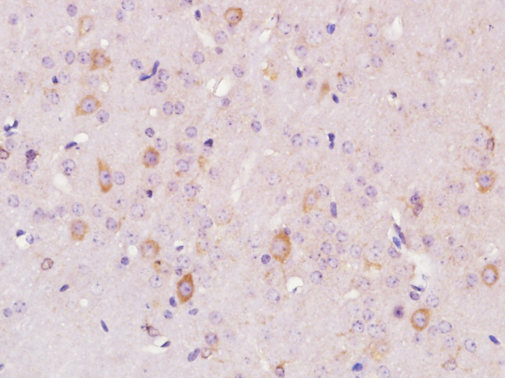
Paraformaldehyde-fixed, paraffin embedded (Mouse brain); Antigen retrieval by boiling in sodium citrate buffer (pH6.0) for 15min; Block endogenous peroxidase by 3% hydrogen peroxide for 20 minutes; Blocking buffer (normal goat serum) at 37°C for 30min; Antibody incubation with (ELMO3) Polyclonal Antibody, Unconjugated (bs-14566R) at 1:400 overnight at 4°C, followed by operating according to SP Kit(Rabbit) (sp-0023) instructions and DAB staining.
Paraformaldehyde-fixed, paraffin embedded (Human colon cancer); Antigen retrieval by boiling in sodium citrate buffer (pH6.0) for 15min; Block endogenous peroxidase by 3% hydrogen peroxide for 20 minutes; Blocking buffer (normal goat serum) at 37°C for 30min; Antibody incubation with (ELMO3) Polyclonal Antibody, Unconjugated (bs-14566R) at 1:400 overnight at 4°C, followed by operating according to SP Kit(Rabbit) (sp-0023) instructions and DAB staining.
版权所有 2004-2026 www.bioss.com.cn 北京博奥森生物技术有限公司
通过国际质量管理体系ISO 9001:2015 GB/T 19001-2016    证书编号: 00124Q34771R2M/1100
通过国际医疗器械-质量管理体系ISO 13485:2016 GB/T 42061-2022     证书编号: CQC24QY20047R0M/1100
京ICP备05066980号-1         京公网安备110107000727号