扫码关注公众号           扫码咨询技术支持           扫码咨询技术服务
  
客服热线:400-901-9800  客服QQ:4009019800  技术答疑  技术支持  质量反馈  人才招聘  关于我们  联系我们
产品中心-北京博奥森生物技术有限公司
首页 > 产品中心 > 一抗 > 产品信息
EMR4 Rabbit pAb (bs-14589R)  
订购热线:400-901-9800
订购邮箱:sales@bioss.com.cn
订购QQ:  400-901-9800
技术支持:techsupport@bioss.com.cn
50ul/1180.00元
100ul/1980.00元
200ul/2800.00元
大包装/询价

产品编号 bs-14589R
英文名称 EMR4 Rabbit pAb
中文名称 EMR4蛋白抗体
别    名 EMR4; EMR4P; FIRE; GPR127; PGR16; AGRE4_HUMAN; ADGRE4P; EGF-like module receptor 4; EGF-like module-containing mucin-like hormone receptor-like 4; G-protein coupled receptor 127; G-protein coupled receptor PGR16;   
研究领域 信号转导  细胞粘附分子  G蛋白偶联受体  G蛋白信号  
抗体来源 Rabbit
克隆类型 Polyclonal
克 隆 号
交叉反应 Mouse,Rat (predicted: Human,Sheep,Cow)
产品应用 WB=1:500-2000,IHC-P=1:100-500,IHC-F=1:100-500,IF=1:100-500
not yet tested in other applications.
optimal dilutions/concentrations should be determined by the end user.
理论分子量 49 kDa
检测分子量 49
细胞定位 细胞膜 
性    状 Liquid
浓    度 1mg/ml
免 疫 原 KLH conjugated synthetic peptide derived from human EMR4: 331-440/457 
亚    型 IgG
纯化方法 affinity purified by Protein A
缓 冲 液 0.01M TBS (pH7.4) with 1% BSA, 0.02% Proclin300 and 50% Glycerol.
保存条件 Shipped at 4℃. Store at -20℃ for one year. Avoid repeated freeze/thaw cycles.
注意事项 This product as supplied is intended for research use only, not for use in human, therapeutic or diagnostic applications.
PubMed PubMed
产品介绍 This gene is a member of the EGF-TM7 receptor gene family which is thought to play a role in leukocyte adhesion and migration. In other vertebrates, including nonhuman primates, this gene encodes a protein containing N-terminal EGF domains and a C-terminal transmembrane domain. Sequence evidence for the human gene, however, indicates nucleotide deletion in the genomic sequence would result in frameshift and early termination of translation. A protein expressed by this gene would be soluble rather than expressed on the cell surface. As the encoded protein has not been detected, this gene may represent a transcribed pseudogene. [provided by RefSeq, Aug 2008]

Function:
EMR4 could mediate the cellular interaction between myeloid cells and B-cells.

Subunit:
Forms a heterodimer, consisting of a large extracellular region (alpha subunit) non-covalently linked to a seven-transmembrane moiety (beta subunit) (By similarity).

Subcellular Location:
Cell Membrane; multi pass membrane protein

Post-translational modifications:
Proteolytically cleaved into 2 subunits, an extracellular alpha subunit and a seven-transmembrane subunit (By similarity).

Similarity:
Belongs to the G-protein coupled receptor 2 family. LN-TM7 subfamily.
Contains 2 EGF-like domains.
Contains 1 GPS domain.

SWISS:
Q86SQ3

Gene ID:
326342

Database links:

Entrez Gene: 326342 Human

Omim: 612305 Human

SwissProt: Q86SQ3 Human



产品图片
Sample: Cerebrum (Mouse) Lysate at 40 ug Primary: Anti- EMR4 (bs-14589R) at 1/1000 dilution Secondary: IRDye800CW Goat Anti-Rabbit IgG at 1/20000 dilution Predicted band size: 49 kD Observed band size: 49kD
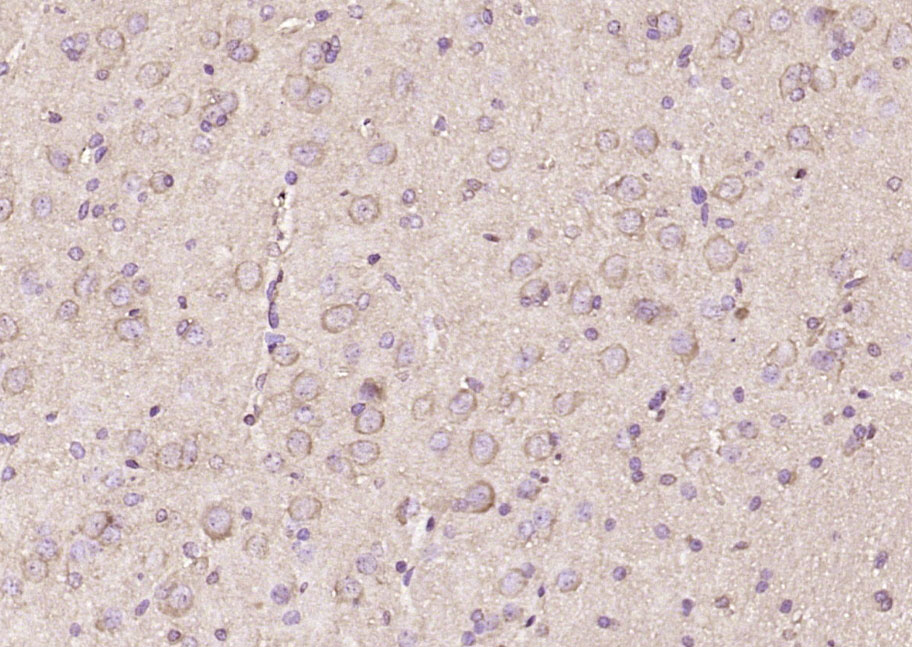
Paraformaldehyde-fixed, paraffin embedded (rat brain); Antigen retrieval by boiling in sodium citrate buffer (pH6.0) for 15min; Block endogenous peroxidase by 3% hydrogen peroxide for 20 minutes; Blocking buffer (normal goat serum) at 37°C for 30min; Antibody incubation with (EMR4) Polyclonal Antibody, Unconjugated (bs-14589R) at 1:200 overnight at 4°C, followed by operating according to SP Kit(Rabbit) (sp-0023) instructionsand DAB staining.
Paraformaldehyde-fixed, paraffin embedded (mouse skin); Antigen retrieval by boiling in sodium citrate buffer (pH6.0) for 15min; Block endogenous peroxidase by 3% hydrogen peroxide for 20 minutes; Blocking buffer (normal goat serum) at 37°C for 30min; Antibody incubation with (EMR4) Polyclonal Antibody, Unconjugated (bs-14589R) at 1:200 overnight at 4°C, followed by operating according to SP Kit(Rabbit) (sp-0023) instructionsand DAB staining.
版权所有 2004-2026 www.bioss.com.cn 北京博奥森生物技术有限公司
通过国际质量管理体系ISO 9001:2015 GB/T 19001-2016    证书编号: 00124Q34771R2M/1100
通过国际医疗器械-质量管理体系ISO 13485:2016 GB/T 42061-2022     证书编号: CQC24QY20047R0M/1100
京ICP备05066980号-1         京公网安备110107000727号