扫码关注公众号           扫码咨询技术支持           扫码咨询技术服务
  
客服热线:400-901-9800  客服QQ:4009019800  技术答疑  技术支持  质量反馈  关于我们  联系我们
产品中心-北京博奥森生物技术有限公司
首页 > 产品中心 > 一抗 > 产品信息
WTX Rabbit pAb (bs-14710R)  
订购热线:400-901-9800
订购邮箱:sales@bioss.com.cn
订购QQ:  400-901-9800
技术支持:techsupport@bioss.com.cn
50ul/1180.00元
100ul/1980.00元
200ul/2800.00元
大包装/询价

产品编号 bs-14710R
英文名称 WTX Rabbit pAb
中文名称 WTX蛋白抗体
别    名 FAM123B; AMER1; FAM 123B; AMER1_HUMAN; Family with sequence similarity 123B; FLJ39827; OSCS; Protein FAM123B; RP11 403E24.2; Wilms tumor gene on the X chromosome protein; Wilms tumor on the X; WTX.  
研究领域 肿瘤  细胞生物  信号转导  干细胞  
抗体来源 Rabbit
克隆类型 Polyclonal
克 隆 号
交叉反应 Rat (predicted: Human,Mouse,Sheep,Cow,Horse)
产品应用 IHC-P=1:100-500,IHC-F=1:100-500,IF=1:100-500
not yet tested in other applications.
optimal dilutions/concentrations should be determined by the end user.
理论分子量 124 kDa
检测分子量
细胞定位 细胞浆 细胞膜 
性    状 Liquid
浓    度 1mg/ml
免 疫 原 KLH conjugated synthetic peptide derived from human WTX: 51-150/1135 
亚    型 IgG
纯化方法 affinity purified by Protein A
缓 冲 液 0.01M TBS (pH7.4) with 1% BSA, 0.02% Proclin300 and 50% Glycerol.
保存条件 Shipped at 4℃. Store at -20℃ for one year. Avoid repeated freeze/thaw cycles.
注意事项 This product as supplied is intended for research use only, not for use in human, therapeutic or diagnostic applications.
PubMed PubMed
产品介绍 The protein encoded by this gene upregulates trancriptional activation by the Wilms tumor protein and interacts with many other proteins, including CTNNB1, APC, AXIN1, and AXIN2. Defects in this gene are a cause of osteopathia striata with cranial sclerosis (OSCS). [provided by RefSeq, May 2010]

Function:
FAM123B enhances trancription activation by WT1. It also promotes CTNNB1 ubiquitination and degradation and antagonizes Wnt and CTNNB1 signaling. FAM123B is involved in kidney development.

Subcellular Location:
Cytoplasm. Cell membrane; Peripheral membrane protein; Cytoplasmic side. Nucleus. Note: Shuttles between nucleus and cytoplasm. Detected in nuclear paraspeckles that are found close to splicing speckles.

SWISS:
Q5JTC6

Gene ID:
139285

Database links:

Entrez Gene: 139285 Human

Entrez Gene: 72345 Mouse

Omim: 300647 Human

SwissProt: Q5JTC6 Human

SwissProt: Q7TS75 Mouse



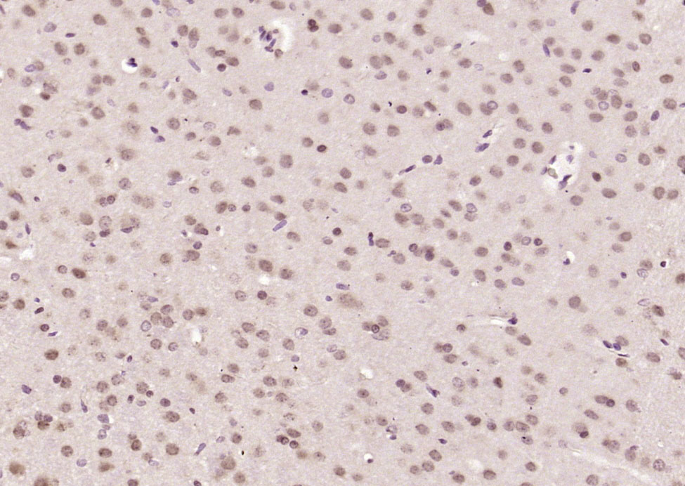
产品图片
Paraformaldehyde-fixed, paraffin embedded (rat brain); Antigen retrieval by boiling in sodium citrate buffer (pH6.0) for 15min; Block endogenous peroxidase by 3% hydrogen peroxide for 20 minutes; Blocking buffer (normal goat serum) at 37°C for 30min; Antibody incubation with (WTX) Polyclonal Antibody, Unconjugated (bs-14710R) at 1:200 overnight at 4°C, followed by operating according to SP Kit(Rabbit) (sp-0023) instructionsand DAB staining.
版权所有 2004-2026 www.bioss.com.cn 北京博奥森生物技术有限公司
通过国际质量管理体系ISO 9001:2015 GB/T 19001-2016    证书编号: 00124Q34771R2M/1100
通过国际医疗器械-质量管理体系ISO 13485:2016 GB/T 42061-2022     证书编号: CQC24QY20047R0M/1100
京ICP备05066980号-1         京公网安备110107000727号