扫码关注公众号           扫码咨询技术支持           扫码咨询技术服务
  
客服热线:400-901-9800  客服QQ:4009019800  技术答疑  技术支持  质量反馈  关于我们  联系我们
产品中心-北京博奥森生物技术有限公司
首页 > 产品中心 > 一抗 > 产品信息
FITM1 Rabbit pAb (bs-16090R)  
订购热线:400-901-9800
订购邮箱:sales@bioss.com.cn
订购QQ:  400-901-9800
技术支持:techsupport@bioss.com.cn
50ul/1180.00元
100ul/1980.00元
200ul/2800.00元
大包装/询价

产品编号 bs-16090R
英文名称 FITM1 Rabbit pAb
中文名称 FITM1蛋白抗体
别    名 Fat inducing protein 1; Fat inducing transcript 1; Fat storage inducing transmembrane protein 1; Fat storage-inducing transmembrane protein 1; Fat-inducing protein 1; FIT1; FITM 1; Fitm1; FITM1_HUMAN; MGC46490.  
研究领域 细胞生物  免疫学  信号转导  细胞类型标志物  
抗体来源 Rabbit
克隆类型 Polyclonal
克 隆 号
交叉反应 Human,Rat (predicted: Mouse,Rabbit,Sheep,Cow,Dog,Horse)
产品应用 WB=1:500-2000,IHC-P=1:100-500,IHC-F=1:100-500,IF=1:100-500
not yet tested in other applications.
optimal dilutions/concentrations should be determined by the end user.
理论分子量 32 kDa
检测分子量
细胞定位 细胞浆 
性    状 Liquid
浓    度 1mg/ml
免 疫 原 KLH conjugated synthetic peptide derived from human FITM1: 1-100/292 
亚    型
纯化方法 affinity purified by Protein A
缓 冲 液 0.01M TBS (pH7.4) with 1% BSA, 0.02% Proclin300 and 50% Glycerol.
保存条件 Shipped at 4℃. Store at -20℃ for one year. Avoid repeated freeze/thaw cycles.
注意事项 This product as supplied is intended for research use only, not for use in human, therapeutic or diagnostic applications.
PubMed PubMed
产品介绍 FIT1 belongs to an evolutionarily conserved family of proteins involved in fat storage (Kadereit et al., 2008 [PubMed 18160536]).[supplied by OMIM, May 2008]

Function:
Plays an important role in lipid droplet accumulation.

Subcellular Location:
Endoplasmic reticulum membrane.

Tissue Specificity:
Primarily expressed in heart and skeletal muscle.

Similarity:
Belongs to the FIT family.

SWISS:
A5D6W6

Gene ID:
161247

Database links:

Entrez Gene: 161247 Human

Entrez Gene: 68680 Mouse

Omim: 612028 Human

SwissProt: A7YWN2 Cow

SwissProt: A5D6W6 Human

SwissProt: Q91V79 Mouse

SwissProt: B2MVP8 Pig

Unigene: 128060 Human

Unigene: 36758 Mouse



产品图片
Protein: 293T(human) lysate at 40ug; Primary: rabbit Anti-FITM1 (bs-16090R) at 1:300; Secondary: HRP conjugated Goat-Anti-rabbit IgG(bs-0295G-HRP) at 1: 5000; Predicted band size: 32 kD Observed band size: 28 kD
Paraformaldehyde-fixed, paraffin embedded (Rat stomach); Antigen retrieval by boiling in sodium citrate buffer (pH6.0) for 15min; Block endogenous peroxidase by 3% hydrogen peroxide for 20 minutes; Blocking buffer (normal goat serum) at 37∑C for 30min; Antibody incubation with (Fat inducing transcript; FITM1) Polyclonal Antibody, Unconjugated (bs-16090R) at 1:400 overnight at 4∑C, followed by a conjugated secondary antibody (sp-0023) for 20 minutes and DAB staining.
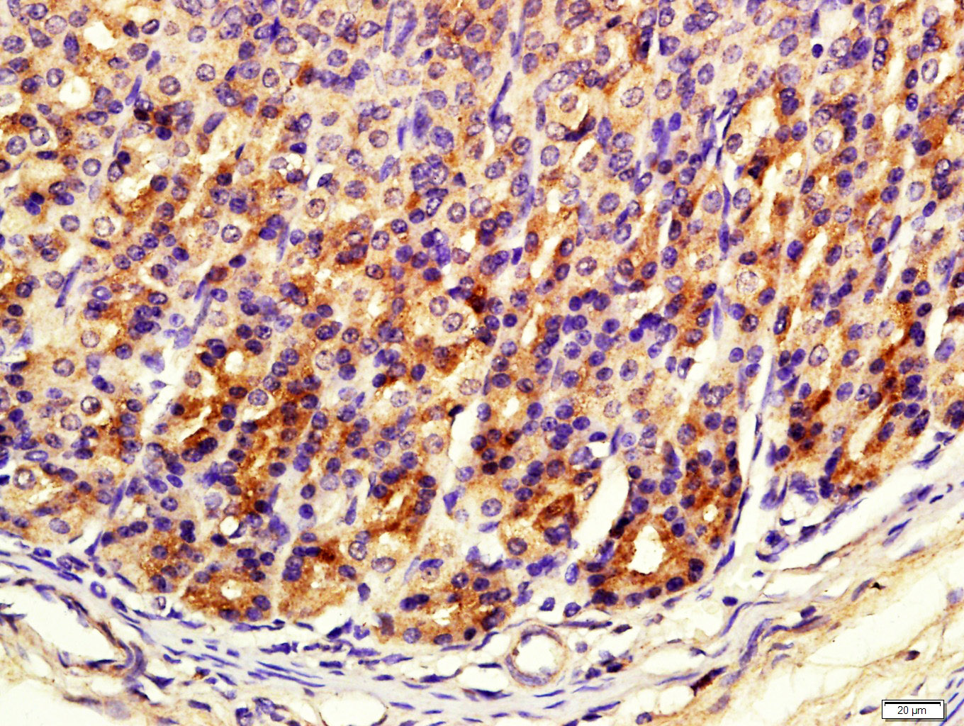
Paraformaldehyde-fixed, paraffin embedded (rat liver tissue); Antigen retrieval by boiling in sodium citrate buffer (pH6.0) for 15min; Block endogenous peroxidase by 3% hydrogen peroxide for 20 minutes; Blocking buffer (normal goat serum) at 37∑C for 30min; Antibody incubation with (FITM1) Polyclonal Antibody, Unconjugated (bs-16090R) at 1:400 overnight at 4∑C, followed by a conjugated secondary (sp-0023) for 20 minutes and DAB staining.
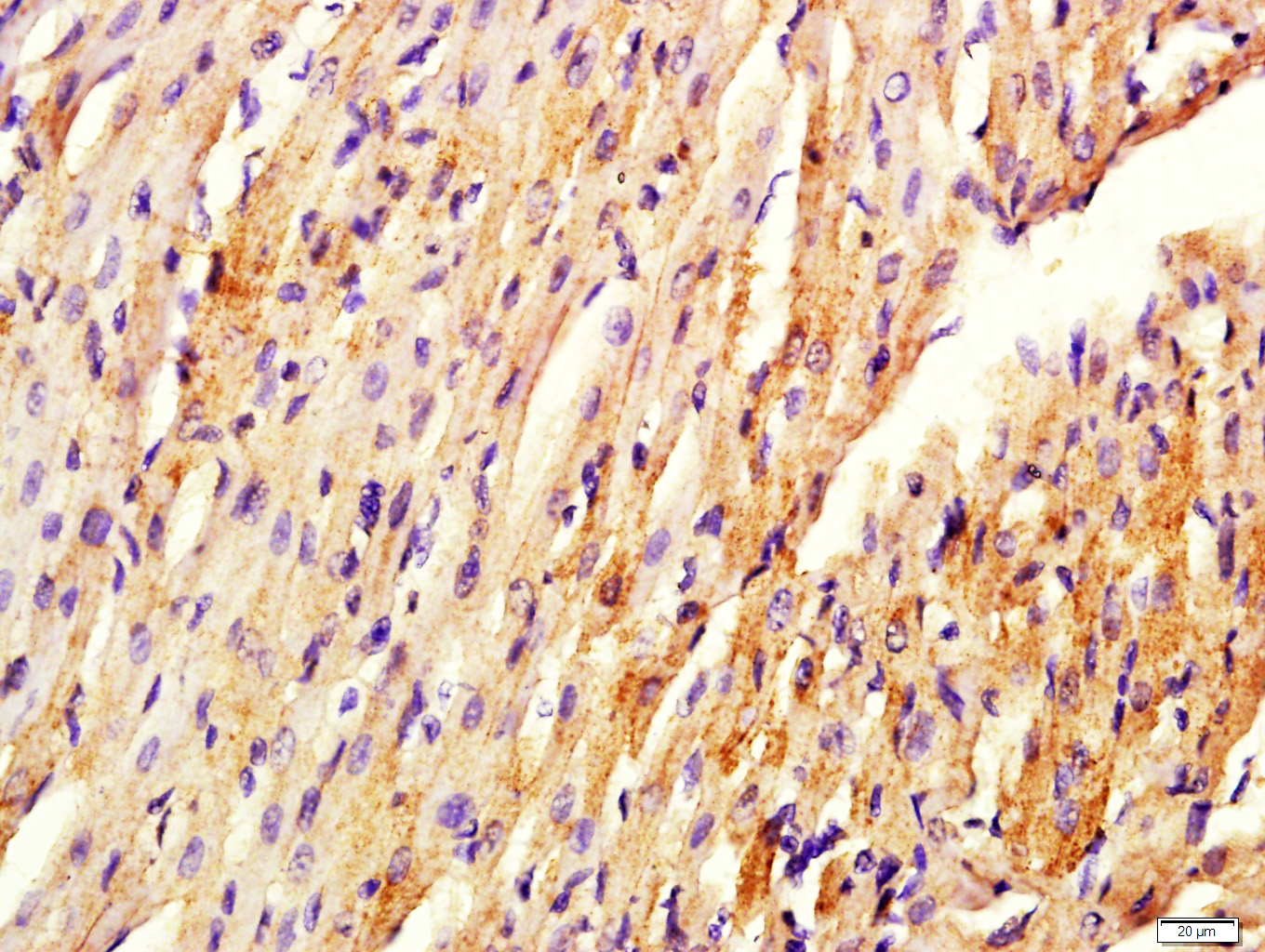
Paraformaldehyde-fixed, paraffin embedded (Rat heart); Antigen retrieval by boiling in sodium citrate buffer (pH6.0) for 15min; Block endogenous peroxidase by 3% hydrogen peroxide for 20 minutes; Blocking buffer (normal goat serum) at 37℃ for 30min; Antibody incubation with (Fat inducing transcript; FITM1) Polyclonal Antibody, Unconjugated (bs-16090R) at 1:400 overnight at 4℃, followed by a conjugated secondary antibody (sp-0023) for 20 minutes and DAB staining.
版权所有 2004-2026 www.bioss.com.cn 北京博奥森生物技术有限公司
通过国际质量管理体系ISO 9001:2015 GB/T 19001-2016    证书编号: 00124Q34771R2M/1100
通过国际医疗器械-质量管理体系ISO 13485:2016 GB/T 42061-2022     证书编号: CQC24QY20047R0M/1100
京ICP备05066980号-1         京公网安备110107000727号