扫码关注公众号           扫码咨询技术支持           扫码咨询技术服务
  
客服热线:400-901-9800  客服QQ:4009019800  技术答疑  技术支持  质量反馈  人才招聘  关于我们  联系我们
产品中心-北京博奥森生物技术有限公司
首页 > 产品中心 > 一抗 > 产品信息
FLJ39155 Rabbit pAb (bs-16136R)  
订购热线:400-901-9800
订购邮箱:sales@bioss.com.cn
订购QQ:  400-901-9800
技术支持:techsupport@bioss.com.cn
50ul/1180.00元
100ul/1980.00元
200ul/2800.00元
大包装/询价

产品编号 bs-16136R
英文名称 FLJ39155 Rabbit pAb
中文名称 凝集素样蛋白AGRNL抗体
别    名 AGRINL; AGRNL; PIKA; 5930412K08; RGD1306592; EGFLA_BOVIN; EGFLAM; EGF-like, fibronectin type-III and laminin G-like domain-containing protein; EGFLA_HUMAN; Agrin-like protein; EGFLA_MOUSE; Nectican; EGFLA_RAT; EGF like, fibronectin type III and laminin G domains; EGF-like, fibronectin type III and laminin G domains; pikachurin; agrin-like  
研究领域 细胞生物  免疫学  神经生物学  信号转导  细胞类型标志物  
抗体来源 Rabbit
克隆类型 Polyclonal
交叉反应 Mouse (predicted: Human,Rat,Sheep,Cow,Dog)
产品应用 WB=1:500-2000,IHC-P=1:100-500,IHC-F=1:100-500,IF=1:100-500
not yet tested in other applications.
optimal dilutions/concentrations should be determined by the end user.
理论分子量 109kDa
检测分子量 110
细胞定位 细胞浆 
性    状 Liquid
浓    度 1mg/ml
免 疫 原 KLH conjugated synthetic peptide derived from human FLJ39155: 921-1017/1017 
亚    型
纯化方法 affinity purified by Protein A
缓 冲 液 0.01M TBS (pH7.4) with 1% BSA, 0.02% Proclin300 and 50% Glycerol.
保存条件 Shipped at 4℃. Store at -20℃ for one year. Avoid repeated freeze/thaw cycles.
注意事项 This product as supplied is intended for research use only, not for use in human, therapeutic or diagnostic applications.
PubMed PubMed
产品介绍 EGFLAM is a 1,017 amino acid secreted protein containing three EGF-like domains, two fibronectin type-III domains, and three laminin G-like domains. Colocalizing with bassoon, CtBP and dystroglycan in photoreceptor synaptic terminals, EGFLAM is involved in retinal photoreceptor ribbon synapse formation. EGFLAM may also promote matrix assembly and cell adhesion. Existing as five alternatively spliced isoforms, the gene encoding EGFLAM maps to human chromosome 5p13.2. Chromosome 5 makes up approximately 6% of the human genome and contains 181 million base pairs, which encode 1,000 genes. Cockayne syndrome, Treacher Collins syndrome, acute myelogenous leukemias and myelodysplastic syndrome are associated with genes present on chromosome 5.

Function:
Involved in both the retinal photoreceptor ribbon synapse formation and physiological functions of visual perception. Necessary for proper bipolar dendritic tip apposition to the photoreceptor ribbon synapse. Promotes matrix assembly and cell adhesiveness.

Subcellular Location:
Secreted > extracellular space > extracellular matrix. Cell junction > synapse. Detected in the synaptic cleft of the ribbon synapse around the postsynaptic terminals of bipolar cells. Colocalizes with BSN, CTBP2 and DAG1 in photoreceptor synaptic terminals.

Post-translational modifications:
O-glycosylated; contains chondroitin sulfate and heparan sulfate.

Similarity:
Contains 3 EGF-like domains.
Contains 2 fibronectin type-III domains.
Contains 3 laminin G-like domains.

SWISS:
Q63HQ2

Gene ID:
133584

Database links:

Entrez Gene: 133584 Human

Entrez Gene: 534427 Cow

Entrez Gene: 268780 Mouse

Entrez Gene: 365691 Rat

SwissProt: A3KN33 Cow

SwissProt: Q63HQ2 Human

SwissProt: Q4VBE4 Mouse

SwissProt: B4F785 Rat

Unigene: 20103 Human

Unigene: 203208 Mouse

Unigene: 27713 Rat



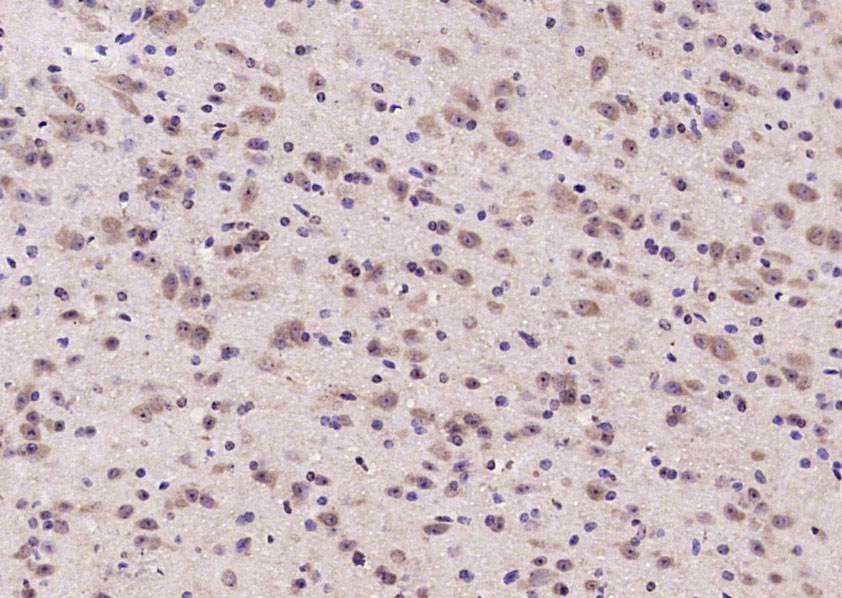
产品图片
Sample: Testis (Mouse) Lysate at 40 ug Primary: Anti- FLJ39155 (bs-16136R) at 1/1000 dilution Secondary: IRDye800CW Goat Anti-Rabbit IgG at 1/20000 dilution Predicted band size: 109 kD Observed band size: 110 kD
Paraformaldehyde-fixed, paraffin embedded (mouse brain); Antigen retrieval by boiling in sodium citrate buffer (pH6.0) for 15min; Block endogenous peroxidase by 3% hydrogen peroxide for 20 minutes; Blocking buffer (normal goat serum) at 37°C for 30min; Antibody incubation with (FLJ39155) Polyclonal Antibody, Unconjugated (bs-16136R) at 1:200 overnight at 4°C, followed by operating according to SP Kit(Rabbit) (sp-0023) instructionsand DAB staining.
版权所有 2004-2026 www.bioss.com.cn 北京博奥森生物技术有限公司
通过国际质量管理体系ISO 9001:2015 GB/T 19001-2016    证书编号: 00124Q34771R2M/1100
通过国际医疗器械-质量管理体系ISO 13485:2016 GB/T 42061-2022     证书编号: CQC24QY20047R0M/1100
京ICP备05066980号-1         京公网安备110107000727号