扫码关注公众号           扫码咨询技术支持           扫码咨询技术服务
  
客服热线:400-901-9800  客服QQ:4009019800  技术答疑  技术支持  质量反馈  人才招聘  关于我们  联系我们
产品中心-北京博奥森生物技术有限公司
首页 > 产品中心 > 一抗 > 产品信息
GAL3ST2 Rabbit pAb (bs-16214R)  
订购热线:400-901-9800
订购邮箱:sales@bioss.com.cn
订购QQ:  400-901-9800
技术支持:techsupport@bioss.com.cn
50ul/1180.00元
100ul/1980.00元
200ul/2800.00元
大包装/询价

产品编号 bs-16214R
英文名称 GAL3ST2 Rabbit pAb
中文名称 半乳糖神经酰胺磺基转移酶2抗体
别    名 GAL3ST-2; GP3ST; G3ST2_HUMAN; GAL3ST2; Beta-galactose-3-O-sulfotransferase 2; Gal-beta-1, 3-GalNAc 3'-sulfotransferase 2; Glycoprotein beta-Gal 3'-sulfotransferase 2; 2.8.2.-; galactose-3-O-sulfotransferase 2  
研究领域 肿瘤  细胞生物  免疫学  细胞类型标志物  
抗体来源 Rabbit
克隆类型 Polyclonal
交叉反应 Rat (predicted: Human,Mouse,Rabbit,Pig,Cow,Chicken,Dog,Horse)
产品应用 IHC-P=1:100-500,IHC-F=1:100-500,IF=1:100-500
not yet tested in other applications.
optimal dilutions/concentrations should be determined by the end user.
理论分子量 46kDa
细胞定位 细胞浆 
性    状 Liquid
浓    度 1mg/ml
免 疫 原 KLH conjugated synthetic peptide derived from human GAL3ST2: 1-100/398 
亚    型 IgG
纯化方法 affinity purified by Protein A
缓 冲 液 0.01M TBS (pH7.4) with 1% BSA, 0.02% Proclin300 and 50% Glycerol.
保存条件 Shipped at 4℃. Store at -20℃ for one year. Avoid repeated freeze/thaw cycles.
注意事项 This product as supplied is intended for research use only, not for use in human, therapeutic or diagnostic applications.
PubMed PubMed
产品介绍 This gene encodes a member of the galactose-3-O-sulfotransferase protein family. The product of this gene catalyzes sulfonation by transferring a sulfate group to the hydroxyl at C-3 of nonreducing beta-galactosyl residues, and it can act on both type 1 and type 2 (Galbeta 1-3/1-4GlcNAc-R) oligosaccharides with similar efficiencies, and on core 1 glycans. This enzyme has been implicated in tumor metastasis processes. This gene is different from the GAL3ST3 gene located on chromosome 11, which has also been referred to as GAL3ST2 and encodes a related enzyme with distinct tissue distribution and substrate specificities, compared to galactose-3-O-sulfotransferase 2. [provided by RefSeq, Jul 2008]

Function:
Transfers a sulfate group to the hydroxyl group at C3 of non-reducing beta-galactosyl residues. Acts both on type 1 (Gal-beta-1,3-GlcNAc) and type 2 (Gal-beta-1,4-GlcNAc) chains with similar efficiency.

Subcellular Location:
Golgi apparatus; Golgi stack membrane.

Tissue Specificity:
Ubiquitous. Detected in heart, stomach, colon, liver and spleen, in epithelial cells lining the lower to middle layer of the crypts in colonic mucosa, hepatocytes surrounding the central vein of the liver, extravillous cytotrophoblasts in the basal plate of the septum of the placenta, renal tubules of the kidney, and neuronal cells of the cerebral cortex.

Similarity:
Belongs to the galactose-3-O-sulfotransferase family.

SWISS:
Q9H3Q3

Gene ID:
64090

Database links:

Entrez Gene: 64090 Human

SwissProt: Q9H3Q3 Human

Unigene: 632556 Human



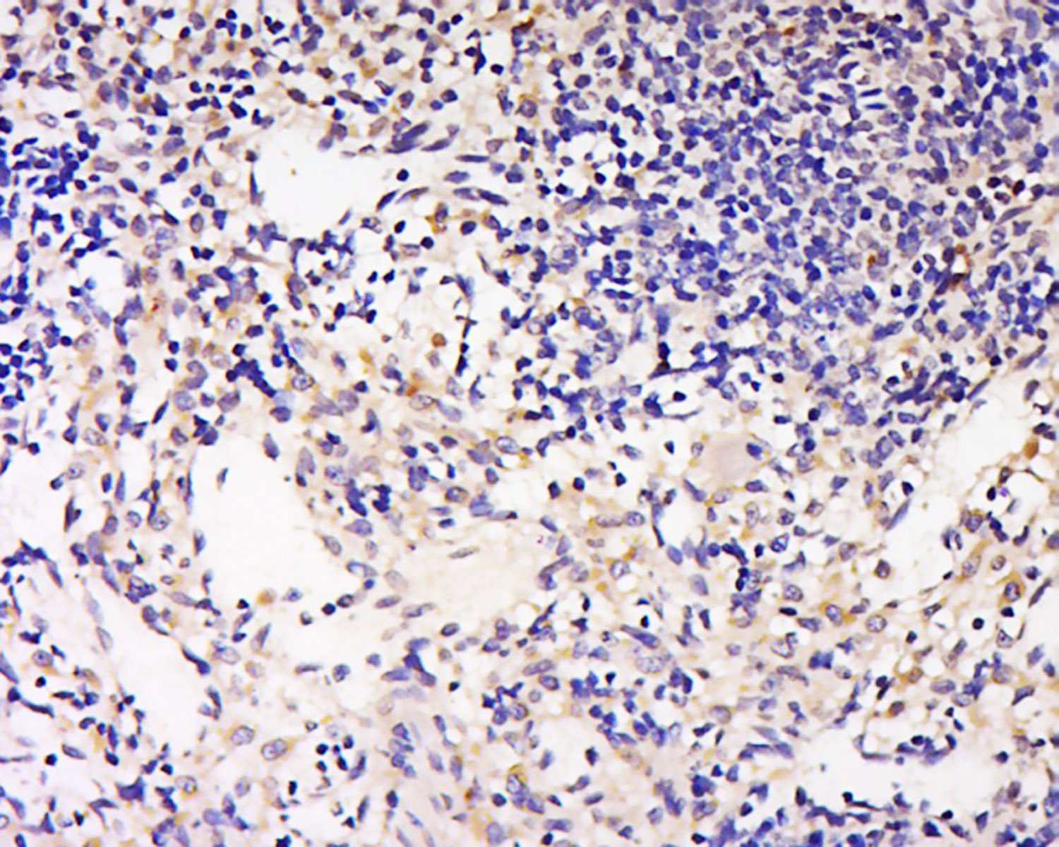
产品图片
Tissue/cell: Rat spleen tissue; 4% Paraformaldehyde-fixed and paraffin-embedded; Antigen retrieval: citrate buffer ( 0.01M, pH 6.0 ), Boiling bathing for 15min; Block endogenous peroxidase by 3% Hydrogen peroxide for 30min; Blocking buffer (normal goat serum,C-0005) at 37℃ for 20 min; Incubation: Anti-GAL3ST2 Polyclonal Antibody, Unconjugated(bs-16214R) 1:200, overnight at 4°C, followed by conjugation to the secondary antibody(SP-0023) and DAB(C-0010) staining
版权所有 2004-2026 www.bioss.com.cn 北京博奥森生物技术有限公司
通过国际质量管理体系ISO 9001:2015 GB/T 19001-2016    证书编号: 00124Q34771R2M/1100
通过国际医疗器械-质量管理体系ISO 13485:2016 GB/T 42061-2022     证书编号: CQC24QY20047R0M/1100
京ICP备05066980号-1         京公网安备110107000727号