扫码关注公众号           扫码咨询技术支持           扫码咨询技术服务
  
客服热线:400-901-9800  客服QQ:4009019800  技术答疑  技术支持  质量反馈  人才招聘  关于我们  联系我们
产品中心-北京博奥森生物技术有限公司
首页 > 产品中心 > 一抗 > 产品信息
GPCR150 Rabbit pAb (bs-16273R)  
订购热线:400-901-9800
订购邮箱:sales@bioss.com.cn
订购QQ:  400-901-9800
技术支持:techsupport@bioss.com.cn
50ul/1180.00元
100ul/1980.00元
200ul/2800.00元
大包装/询价

产品编号 bs-16273R
英文名称 GPCR150 Rabbit pAb
中文名称 G蛋白偶联受体150抗体
别    名 GPCR1; GPCR150; GP160_HUMAN; GPR160; G-protein coupled receptor GPCR1 (hGPCR1); G protein-coupled receptor 160  
研究领域 信号转导  G蛋白偶联受体  G蛋白信号  
抗体来源 Rabbit
克隆类型 Polyclonal
交叉反应 Human
产品应用 IHC-P=1:100-500,IHC-F=1:100-500,IF=1:100-500
not yet tested in other applications.
optimal dilutions/concentrations should be determined by the end user.
理论分子量 40kDa
细胞定位 细胞膜 
性    状 Liquid
浓    度 1mg/ml
免 疫 原 KLH conjugated synthetic peptide derived from human GPCR150: 101-200/338 <Extracellular>
亚    型 IgG
纯化方法 affinity purified by Protein A
缓 冲 液 0.01M TBS (pH7.4) with 1% BSA, 0.02% Proclin300 and 50% Glycerol.
保存条件 Shipped at 4℃. Store at -20℃ for one year. Avoid repeated freeze/thaw cycles.
注意事项 This product as supplied is intended for research use only, not for use in human, therapeutic or diagnostic applications.
PubMed PubMed
产品介绍 G protein-coupled receptors (GPRs), also known as seven transmembrane receptors, heptahelical receptors or 7TM receptors, comprise a superfamily of proteins that play a role in many different stimulus-response pathways. GPR signaling is an evolutionarily ancient mechanism used by all eukaryotes to sense environmental stimuli and mediate cell-cell communication. G protein-coupled receptors translate extracellular signals into intracellular signals (G protein activation) and they respond to a variety of signaling molecules, such as hormones and neurotransmitters. The gene encoding GPR160 maps to human chromosome 3, which houses over 1,100 genes, including a chemokine receptor (CKR) gene cluster and a variety of human cancer-related gene loci. GPR160 expression has been shown to be up-regulated in prostate cancer.

Function:
Orphan receptor.

Subcellular Location:
Cell membrane.

Similarity:
Belongs to the G-protein coupled receptor 1 family.

SWISS:
Q9UJ42

Gene ID:
26996

Database links:

Entrez Gene: 26996 Human

Entrez Gene: 784906 Cow

Entrez Gene: 100685878 Dog

SwissProt: Q9UJ42 Human

Unigene: 231320 Human



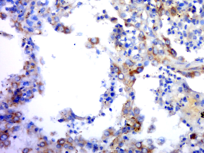
产品图片
Paraformaldehyde-fixed, paraffin embedded (human cervical cancer); Antigen retrieval by boiling in sodium citrate buffer (pH6.0) for 15min; Block endogenous peroxidase by 3% hydrogen peroxide for 20 minutes; Blocking buffer (normal goat serum) at 37∑C for 30min; Antibody incubation with (GPR150) Polyclonal Antibody, Unconjugated (bs-16273R) at 1:500 overnight at 4∑C, followed by a conjugated secondary (sp-0023) for 20 minutes and DAB staining.
Paraformaldehyde-fixed, paraffin embedded (human lung cancer); Antigen retrieval by boiling in sodium citrate buffer (pH6.0) for 15min; Block endogenous peroxidase by 3% hydrogen peroxide for 20 minutes; Blocking buffer (normal goat serum) at 37℃ for 30min; Antibody incubation with (GPR150) Polyclonal Antibody, Unconjugated (bs-16273R) at 1:500 overnight at 4℃, followed by a conjugated secondary (sp-0023) for 20 minutes and DAB staining.
版权所有 2004-2026 www.bioss.com.cn 北京博奥森生物技术有限公司
通过国际质量管理体系ISO 9001:2015 GB/T 19001-2016    证书编号: 00124Q34771R2M/1100
通过国际医疗器械-质量管理体系ISO 13485:2016 GB/T 42061-2022     证书编号: CQC24QY20047R0M/1100
京ICP备05066980号-1         京公网安备110107000727号