扫码关注公众号           扫码咨询技术支持           扫码咨询技术服务
  
客服热线:400-901-9800  客服QQ:4009019800  技术答疑  技术支持  质量反馈  关于我们  联系我们
产品中心-北京博奥森生物技术有限公司
首页 > 产品中心 > 一抗 > 产品信息
TRAM1 Rabbit pAb (bs-16565R)  
订购热线:400-901-9800
订购邮箱:sales@bioss.com.cn
订购QQ:  400-901-9800
技术支持:techsupport@bioss.com.cn
50ul/1180.00元
100ul/1980.00元
200ul/2800.00元
大包装/询价

产品编号 bs-16565R
英文名称 TRAM1 Rabbit pAb
中文名称 相关易位膜蛋白1抗体
别    名 PNAS 8; PNAS8; PRO1292; TRAM 1; TRAM; TRAM1_HUMAN; TRAMP; Translocating chain associated membrane protein 1; Translocating chain associating membrane protein; Translocation associated membrane protein 1; Translocation associating membrane protein 1.  
研究领域 细胞生物  信号转导  细胞类型标志物  
抗体来源 Rabbit
克隆类型 Polyclonal
克 隆 号
交叉反应 Human (predicted: Mouse,Rat,Rabbit,Pig,Sheep,Cow,Dog,Horse)
产品应用 IHC-P=1:100-500,IHC-F=1:100-500,IF=1:100-500
not yet tested in other applications.
optimal dilutions/concentrations should be determined by the end user.
理论分子量 43 kDa
检测分子量
细胞定位 细胞浆 
性    状 Liquid
浓    度 1mg/ml
免 疫 原 KLH conjugated synthetic peptide derived from human TRAM1: 61-160/374 
亚    型 IgG
纯化方法 affinity purified by Protein A
缓 冲 液 0.01M TBS (pH7.4) with 1% BSA, 0.02% Proclin300 and 50% Glycerol.
保存条件 Shipped at 4℃. Store at -20℃ for one year. Avoid repeated freeze/thaw cycles.
注意事项 This product as supplied is intended for research use only, not for use in human, therapeutic or diagnostic applications.
PubMed PubMed
产品介绍 TRAM1 belongs to the TRAM family. It stimulates or is required for the translocation of secretory proteins across the endoplasmic reticulum membrane.

Function:
Stimulatory or required for the translocation of secretory proteins across the ER membrane.

Subunit:
Interacts with human cytomegalovirus/HHV-5 protein US2.

Subcellular Location:
Endoplasmic reticulum membrane; Multipass membrane protein

Similarity:
Belongs to the TRAM family.
Contains 1 TLC (TRAM/LAG1/CLN8) domain.

SWISS:
Q15629

Gene ID:
23471

Database links:

Entrez Gene: 23471 Human

Omim: 605190 Human

SwissProt: Q15629 Human



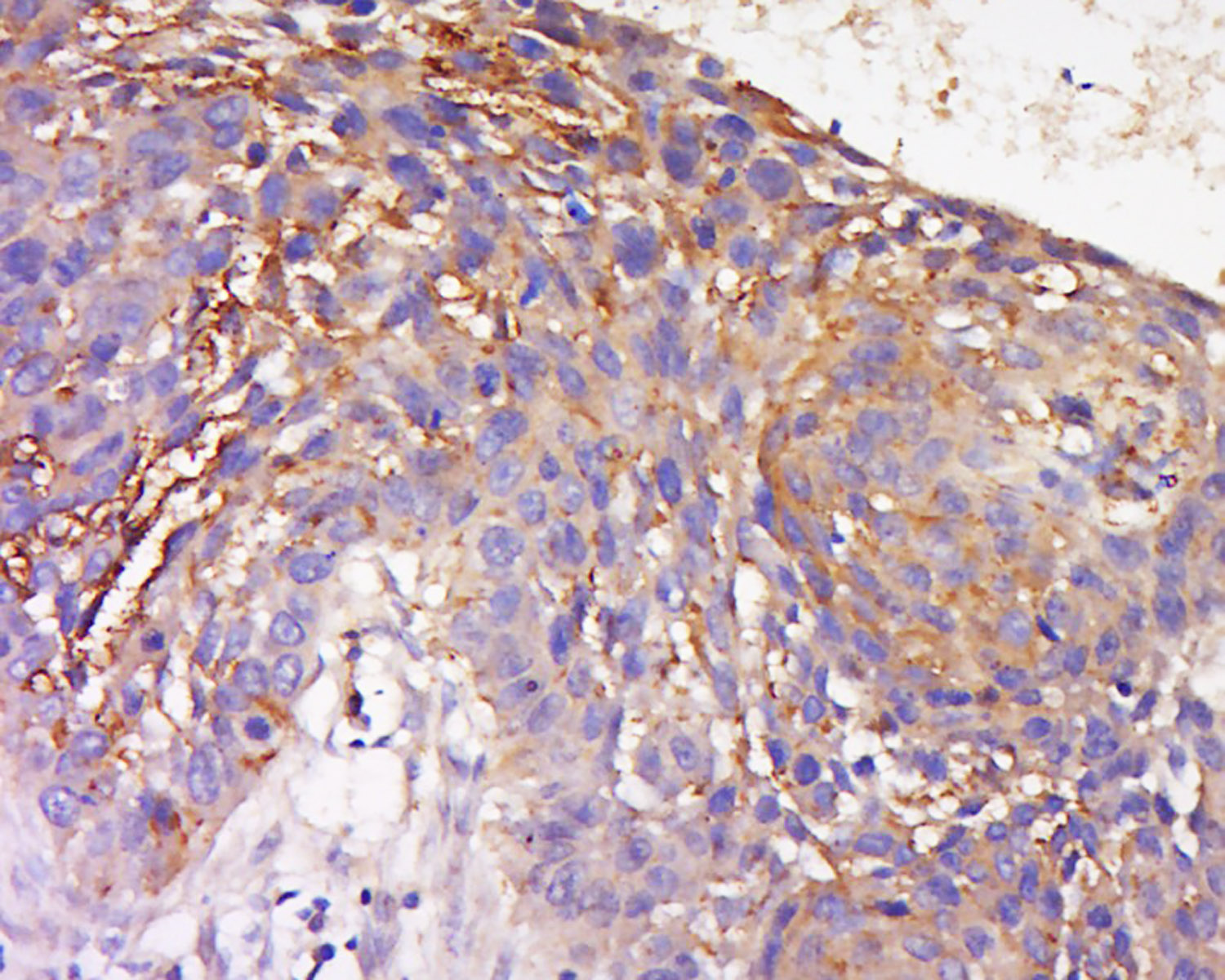
产品图片
Tissue/cell: Human lung carcinoma; 4% Paraformaldehyde-fixed and paraffin-embedded; Antigen retrieval: citrate buffer ( 0.01M, pH 6.0 ), Boiling bathing for 15min; Block endogenous peroxidase by 3% Hydrogen peroxide for 30min; Blocking buffer (normal goat serum,C-0005) at 37℃ for 20 min; Incubation: Anti-TRAM1 Polyclonal Antibody, Unconjugated(bs-16565R) 1:200, overnight at 4°C, followed by conjugation to the secondary antibody(SP-0023) and DAB(C-0010) staining
版权所有 2004-2026 www.bioss.com.cn 北京博奥森生物技术有限公司
通过国际质量管理体系ISO 9001:2015 GB/T 19001-2016    证书编号: 00124Q34771R2M/1100
通过国际医疗器械-质量管理体系ISO 13485:2016 GB/T 42061-2022     证书编号: CQC24QY20047R0M/1100
京ICP备05066980号-1         京公网安备110107000727号