扫码关注公众号           扫码咨询技术支持           扫码咨询技术服务
  
客服热线:400-901-9800  客服QQ:4009019800  技术答疑  技术支持  质量反馈  人才招聘  关于我们  联系我们
产品中心-北京博奥森生物技术有限公司
首页 > 产品中心 > 一抗 > 产品信息
FAR2 Rabbit pAb (bs-10256R)  
订购热线:400-901-9800
订购邮箱:sales@bioss.com.cn
订购QQ:  400-901-9800
技术支持:techsupport@bioss.com.cn
50ul/1180.00元
100ul/1980.00元
200ul/2800.00元
大包装/询价

产品编号 bs-10256R
英文名称 FAR2 Rabbit pAb
中文名称 脂肪酰辅酶A还原酶2抗体
别    名 HEL-S-81; MLSTD1; SDR10E2; A230046P18; RGD1565966; FACR2_BOVIN; FAR2; 1.2.1.84; FACR2_HUMAN; Male sterility domain-containing protein 1; FACR2_MOUSE;   
研究领域 肿瘤  心血管  细胞生物  信号转导  转录调节因子  
抗体来源 Rabbit
克隆类型 Polyclonal
克 隆 号
交叉反应 Human,Mouse,Rat (predicted: Pig,Cow,Dog,Horse)
产品应用 WB=1:500-2000,IHC-P=1:100-500,IHC-F=1:100-500,IF=1:100-500
not yet tested in other applications.
optimal dilutions/concentrations should be determined by the end user.
理论分子量 57 kDa
检测分子量 57
细胞定位 细胞核 细胞浆 
性    状 Liquid
浓    度 1mg/ml
免 疫 原 KLH conjugated synthetic peptide derived from human FAR2: 51-150/515 
亚    型 IgG
纯化方法 affinity purified by Protein A
缓 冲 液 0.01M TBS (pH7.4) with 1% BSA, 0.02% Proclin300 and 50% Glycerol.
保存条件 Shipped at 4℃. Store at -20℃ for one year. Avoid repeated freeze/thaw cycles.
注意事项 This product as supplied is intended for research use only, not for use in human, therapeutic or diagnostic applications.
PubMed PubMed
产品介绍 This gene belongs to the short chain dehydrogenase/reductase superfamily. It encodes a reductase enzyme involved in the first step of wax biosynthesis wherein fatty acids are converted to fatty alcohols. The encoded peroxisomal protein utilizes saturated fatty acids of 16 or 18 carbons as preferred substrates. Alternatively spliced transcript variants have been observed for this gene. Related pseudogenes have been identified on chromosomes 2, 14 and 22. [provided by RefSeq, Nov 2012]

Function:
FAR2 catalyzes the reduction of fatty acyl-CoA to fatty alcohols. The preferred substrates are C16, C18, C18:1 and C18:2 but low activity can be observed with C10-C14 substrates.

Subcellular Location:
Peroxisome membrane; Multi-pass membrane protein (Potential). Endoplasmic reticulum membrane; Multi-pass membrane protein (Potential). Note=Peroxisome in cells expressing low levels of the protein. Peroxisome and endoplasmic reticulum in cells expressing high levels of the protein.

Similarity:
Belongs to the fatty acyl-CoA reductase family.

SWISS:
Q96K12

Gene ID:
55711

Database links:

Entrez Gene: 55711 Human

Entrez Gene: 534380 Cow

Entrez Gene: 330450 Mouse

Entrez Gene: 500368 Rat

SwissProt: Q0P5J1 Cow

SwissProt: Q96K12 Human

SwissProt: Q7TNT2 Mouse



产品图片
Sample: HL-60 (Human) Cell Lysate at 30 ug Primary: Anti-FAR2 (bs-10256R) at 1/1000 dilution Secondary: IRDye800CW Goat Anti-Rabbit IgG at 1/20000 dilution Predicted band size: 57 kD Observed band size: 57 kD
Sample: U937 (Human) Cell Lysate at 30 ug Primary: Anti-FAR2 (bs-10256R) at 1/1000 dilution Secondary: IRDye800CW Goat Anti-Rabbit IgG at 1/20000 dilution Predicted band size: 57 kD Observed band size: 57 kD
Paraformaldehyde-fixed, paraffin embedded (mouse brain); Antigen retrieval by boiling in sodium citrate buffer (pH6.0) for 15min; Block endogenous peroxidase by 3% hydrogen peroxide for 20 minutes; Blocking buffer (normal goat serum) at 37°C for 30min; Antibody incubation with (GDNF) Polyclonal Antibody, Unconjugated (bs-10256R FAR2) at 1:200 overnight at 4°C, followed by operating according to SP Kit(Rabbit) (sp-0023) instructionsand DAB staining.
Paraformaldehyde-fixed, paraffin embedded (rat heart); Antigen retrieval by boiling in sodium citrate buffer (pH6.0) for 15min; Block endogenous peroxidase by 3% hydrogen peroxide for 20 minutes; Blocking buffer (normal goat serum) at 37°C for 30min; Antibody incubation with (FAR2) Polyclonal Antibody, Unconjugated (bs-10256R) at 1:200 overnight at 4°C, followed by operating according to SP Kit(Rabbit) (sp-0023) instructionsand DAB staining.
Paraformaldehyde-fixed, paraffin embedded (rat cerebellum); Antigen retrieval by boiling in sodium citrate buffer (pH6.0) for 15min; Block endogenous peroxidase by 3% hydrogen peroxide for 20 minutes; Blocking buffer (normal goat serum) at 37°C for 30min; Antibody incubation with (FAR2) Polyclonal Antibody, Unconjugated (bs-10256R) at 1:200 overnight at 4°C, followed by operating according to SP Kit(Rabbit) (sp-0023) instructionsand DAB staining.
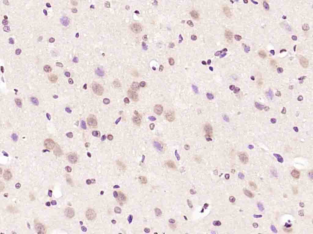
Paraformaldehyde-fixed, paraffin embedded (rat brain); Antigen retrieval by boiling in sodium citrate buffer (pH6.0) for 15min; Block endogenous peroxidase by 3% hydrogen peroxide for 20 minutes; Blocking buffer (normal goat serum) at 37°C for 30min; Antibody incubation with (FAR2) Polyclonal Antibody, Unconjugated (bs-10256R) at 1:200 overnight at 4°C, followed by operating according to SP Kit(Rabbit) (sp-0023) instructionsand DAB staining.
Paraformaldehyde-fixed, paraffin embedded (rat testis); Antigen retrieval by boiling in sodium citrate buffer (pH6.0) for 15min; Block endogenous peroxidase by 3% hydrogen peroxide for 20 minutes; Blocking buffer (normal goat serum) at 37°C for 30min; Antibody incubation with (FAR2) Polyclonal Antibody, Unconjugated (bs-10256R) at 1:200 overnight at 4°C, followed by operating according to SP Kit(Rabbit) (sp-0023) instructionsand DAB staining.
版权所有 2004-2026 www.bioss.com.cn 北京博奥森生物技术有限公司
通过国际质量管理体系ISO 9001:2015 GB/T 19001-2016    证书编号: 00124Q34771R2M/1100
通过国际医疗器械-质量管理体系ISO 13485:2016 GB/T 42061-2022     证书编号: CQC24QY20047R0M/1100
京ICP备05066980号-1         京公网安备110107000727号