 
| 产品编号 | bs-12710R | 
| 英文名称 | phospho-IRS1 (Ser616) Rabbit pAb | 
| 中文名称 | 磷酸化胰岛素受体底物1抗体 | 
| 别 名 | IRS1(phospho S616); p-IRS1(phospho S616); IRS1_HUMAN; Insulin receptor substrate 1; IRS-1; IRS 1; | 
|  | Specific References  (1)     |     bs-12710R has been referenced in 1 publications. 
[IF=7.097] Yilan Shen et al. VEGF-B antibody and interleukin-22 fusion protein ameliorates diabetic nephropathy through inhibiting lipid accumulation and inflammatory responses.  WB ;  mouse.   | 
| 产品类型 | 磷酸化抗体 | 
| 研究领域 | 细胞生物 免疫学 神经生物学 细胞凋亡 糖尿病 细胞类型标志物 | 
| 抗体来源 | Rabbit | 
| 克隆类型 | Polyclonal | 
| 克 隆 号 | |
| 交叉反应 | Human,Mouse,Rat (predicted: Rabbit,Pig,Sheep,Cow,Chicken,Dog,Horse) | 
| 产品应用 | WB=1:500-2000,IHC-P=1:100-500,IHC-F=1:100-500,IF=1:100-500,Flow-Cyt=1μg/Test,ICC/IF=1:100-500 not yet tested in other applications. optimal dilutions/concentrations should be determined by the end user. | 
| 理论分子量 | 131 kDa | 
| 检测分子量 | |
| 细胞定位 | 细胞核 细胞浆 细胞膜 | 
| 性 状 | Liquid | 
| 浓 度 | 1mg/ml | 
| 免 疫 原 | KLH conjugated synthesised phosphopeptide derived from human IRS1 around the phosphorylation site of Ser616: PM(p-S)PG | 
| 亚 型 | IgG | 
| 纯化方法 | affinity purified by Protein A | 
| 缓 冲 液 | 0.01M TBS (pH7.4) with 1% BSA, 0.02% Proclin300 and 50% Glycerol. | 
| 保存条件 | Shipped at 4℃. Store at -20℃ for one year. Avoid repeated freeze/thaw cycles. | 
| 注意事项 | This product as supplied is intended for research use only, not for use in human, therapeutic or diagnostic applications. | 
| PubMed | PubMed | 
| 产品介绍 | This gene encodes a protein which is phosphorylated by insulin receptor tyrosine kinase. Mutations in this gene are associated with type II diabetes and susceptibility to insulin resistance. [provided by RefSeq, Nov 2009] Function: May mediate the control of various cellular processes by insulin. When phosphorylated by the insulin receptor binds specifically to various cellular proteins containing SH2 domains such as phosphatidylinositol 3-kinase p85 subunit or GRB2. Activates phosphatidylinositol 3-kinase when bound to the regulatory p85 subunit. Subunit: Interacts with UBTF and PIK3CA (By similarity). Interacts (via phosphorylated YXXM motifs) with PIK3R1 (By similarity). Interacts with ROCK1 and FER (By similarity). Interacts (via PH domain) with PHIP (By similarity). Interacts with GRB2 (By similarity). Interacts with SOCS7. Interacts (via IRS-type PTB domain) with IGF1R and INSR (via the tyrosine-phosphorylated NPXY motif). Interacts with ALK. Interacts with EIF2AK2/PKR (By similarity). Post-translational modifications: Serine phosphorylation of IRS1 is a mechanism for insulin resistance. Ser-312 phosphorylation inhibits insulin action through disruption of IRS1 interaction with the insulin receptor. Phosphorylation of Tyr-896 is required for GRB2-binding. DISEASE: Polymorphisms in IRS1 may be involved in the etiology of non-insulin-dependent diabetes mellitus (NIDDM) [MIM:125853]. Similarity: Contains 1 IRS-type PTB domain. Contains 1 PH domain. SWISS: P35568 Gene ID: 3667 Database links: Entrez Gene: 3667 Human Entrez Gene: 16367 Mouse SwissProt: P35568 Human SwissProt: P35569 Mouse | 
| 产品图片 | 
Sample: 
Lane 1: Mouse Cerebrum tissue lysates 
Lane 2: Mouse Cerebellum tissue lysates 
Primary: Anti- phospho-IRS1 (Ser616) (bs-12710R) at 1/1000 dilution
Secondary: IRDye800CW Goat Anti-Rabbit IgG at 1/20000 dilution
Predicted band size: 131 kDa
Observed band size: 185 kDa
 
 Paraformaldehyde-fixed, paraffin embedded (Mouse brain); Antigen retrieval by boiling in sodium citrate buffer (pH6.0) for 15min; Block endogenous peroxidase by 3% hydrogen peroxide for 20 minutes; Blocking buffer (normal goat serum) at 37°C for 30min; Antibody incubation with (phospho-IRS1 (Ser616)) Polyclonal Antibody, Unconjugated (bs-12710R) at 1:400 overnight at 4°C, followed by operating according to SP Kit(Rabbit) (sp-0023) instructionsand DAB staining.
 
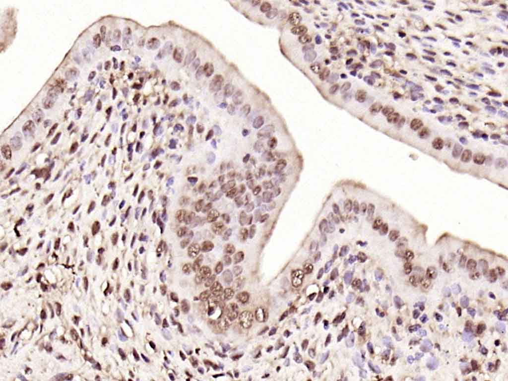
Paraformaldehyde-fixed, paraffin embedded (rat uterus); Antigen retrieval by boiling in sodium citrate buffer (pH6.0) for 15min; Block endogenous peroxidase by 3% hydrogen peroxide for 20 minutes; Blocking buffer (normal goat serum) at 37°C for 30min; Antibody incubation with (phospho-IRS1 (Ser616)) Polyclonal Antibody, Unconjugated (bs-12710R) at 1:200 overnight at 4°C, followed by operating according to SP Kit(Rabbit) (sp-0023) instructionsand DAB staining.    
 
A549 cell; 4% Paraformaldehyde-fixed; Triton X-100 at room temperature for 20 min; Blocking buffer (normal goat serum, C-0005) at 37°C for 20 min; Antibody incubation with (phospho-IRS1 (Ser616)) polyclonal Antibody, Unconjugated (bs-12710R) 1:100, 90 minutes at 37°C; followed by a conjugated Goat Anti-Rabbit IgG antibody at 37°C for 90 minutes, DAPI (blue, C02-04002) was used to stain the cell nuclei.
 
Blank control (blue line): Hela (fixed with 70% ethanol (Overnight at 4℃) and then permeabilized with 0.1% PBS-Tween for 20 min at room temperature).  
Primary Antibody (green line): Rabbit Anti-phospho-IRS1 (Ser616) antibody (bs-12710R),Dilution: 0.2μg /10^6 cells;  
Isotype Control Antibody (orange line): Rabbit IgG . 
Secondary Antibody (white blue line): Goat anti-rabbit IgG-PE,Dilution: 1μg /test. 
 
Blank control: HepG2.  
Primary Antibody (green line): Rabbit Anti-phospho-IRS1 (Ser616) antibody (bs-12710R) 
Dilution: 1μg /10^6 cells;  
Isotype Control Antibody (orange line): Rabbit IgG . 
Secondary Antibody : Goat anti-rabbit IgG-AF647
Dilution: 1μg /test. 
Protocol
The cells were fixed with 4% PFA (10min at room temperature)and then permeabilized with 90% ice-cold methanol for 20 min at-20℃.The cells were then incubated in 5%BSA to block non-specific protein-protein interactions for 30 min at room temperature .Cells stained with Primary Antibody for 30 min at room temperature. The secondary antibody used for 40 min at room temperature. Acquisition of 20,000 events was performed.
 | 
| 1、抗体溶解方法 | |
| 2、抗体修复方式 | |
| 3、常用试剂的配制 | |
| 4、免疫组化操作步骤 | |
| 5、免疫组化问题解答 | |
| 6、Western Blotting 操作步骤 | |
| 7、Western Blotting 问题解答 | |
| 8、关于肽链的设计 | |
| 9、多肽的溶解与保存 | |
| 10、酶标抗体效价测定程序 | |