扫码关注公众号           扫码咨询技术支持           扫码咨询技术服务
  
客服热线:400-901-9800  客服QQ:4009019800  技术答疑  技术支持  质量反馈  关于我们  联系我们
产品中心-北京博奥森生物技术有限公司
首页 > 产品中心 > 一抗 > 产品信息
KAZALD1 Rabbit pAb (bs-17082R)  
订购热线:400-901-9800
订购邮箱:sales@bioss.com.cn
订购QQ:  400-901-9800
技术支持:techsupport@bioss.com.cn
50ul/1180.00元
100ul/1980.00元
200ul/2800.00元
大包装/询价

产品编号 bs-17082R
英文名称 KAZALD1 Rabbit pAb
中文名称 KAZALD1蛋白抗体
别    名 Kazal-type serine protease inhibitor domain-containing protein 1; KAZALD1; KAZD1_HUMAN.  
研究领域 细胞生物  发育生物学  信号转导  
抗体来源 Rabbit
克隆类型 Polyclonal
克 隆 号
交叉反应 Human,Rat (predicted: Mouse,Rabbit,Pig,Cow,Dog,Horse)
产品应用 WB=1:500-2000,IHC-P=1:100-500,IHC-F=1:100-500,IF=1:100-500
not yet tested in other applications.
optimal dilutions/concentrations should be determined by the end user.
理论分子量 30 kDa
检测分子量
细胞定位 分泌型蛋白 
性    状 Liquid
浓    度 1mg/ml
免 疫 原 KLH conjugated synthetic peptide derived from human KAZALD1: 71-170/304 
亚    型 IgG
纯化方法 affinity purified by Protein A
缓 冲 液 0.01M TBS (pH7.4) with 1% BSA, 0.02% Proclin300 and 50% Glycerol.
保存条件 Shipped at 4℃. Store at -20℃ for one year. Avoid repeated freeze/thaw cycles.
注意事项 This product as supplied is intended for research use only, not for use in human, therapeutic or diagnostic applications.
PubMed PubMed
产品介绍 BONO1, also known as KAZALD1 (kazal-type serine protease inhibitor domain-containing protein 1), IGFBP-rP10, FKSG28 or FKSG40, is a 304 amino acid secreted extracellular matrix protein that promotes matrix assembly. BONO1 is expressed in developing bones and odontoblasts in teeth, where it plays a role in osteoblast proliferation during bone formation and regeneration. BONO1 is also expressed at high levels in spleen, and is found at lower levels in lung, skin, urinary bladder, brain, tongue, kidney and large intestine. Existing as two alternatively spliced isoforms, BONO1 contains one Kazal-like domain, an IGFBP N-terminal domain and a single Ig-like C2-type (immunoglobulin-like) domain. The gene encoding BONO1 maps to human chromosome 10, which contains over 800 genes and 135 million nucleotides. Cockayne syndrome, Cockayne syndrome and trisomy 10 are associated with defects in chromosome 10.

Function:
Involved in the proliferation of osteoblasts during bone formation and bone regeneration. Promotes matrix assembly.

Subcellular Location:
Secreted > extracellular space > extracellular matrix.

Similarity:
Contains 1 Ig-like C2-type (immunoglobulin-like) domain.
Contains 1 IGFBP N-terminal domain.
Contains 1 Kazal-like domain.

SWISS:
Q96I82

Gene ID:
81621

Database links:

Entrez Gene: 81621 Human

SwissProt: Q96I82 Human

Unigene: 534859 Human



产品图片
Sample: DU145(Human) Cell Lysate at 40 ug Primary: Anti-KAZALD1 (bs-17082R) at 1/300 dilution Secondary: IRDye800CW Goat Anti-Rabbit IgG at 1/20000 dilution Predicted band size: 30 kD Observed band size: 30 kD
Paraformaldehyde-fixed, paraffin embedded (Human brain glioma); Antigen retrieval by boiling in sodium citrate buffer (pH6.0) for 15min; Block endogenous peroxidase by 3% hydrogen peroxide for 20 minutes; Blocking buffer (normal goat serum) at 37°C for 30min; Antibody incubation with (KAZALD1) Polyclonal Antibody, Unconjugated (bs-17082R) at 1:400 overnight at 4°C, followed by operating according to SP Kit(Rabbit) (sp-0023) instructionsand DAB staining.
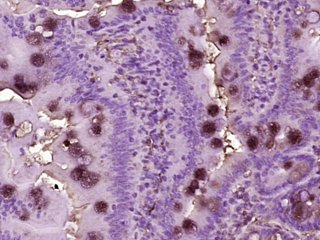
Paraformaldehyde-fixed, paraffin embedded (Rat small intestine); Antigen retrieval by boiling in sodium citrate buffer (pH6.0) for 15min; Block endogenous peroxidase by 3% hydrogen peroxide for 20 minutes; Blocking buffer (normal goat serum) at 37°C for 30min; Antibody incubation with (KAZALD1) Polyclonal Antibody, Unconjugated (bs-17082R) at 1:400 overnight at 4°C, followed by operating according to SP Kit(Rabbit) (sp-0023) instructionsand DAB staining.
版权所有 2004-2026 www.bioss.com.cn 北京博奥森生物技术有限公司
通过国际质量管理体系ISO 9001:2015 GB/T 19001-2016    证书编号: 00124Q34771R2M/1100
通过国际医疗器械-质量管理体系ISO 13485:2016 GB/T 42061-2022     证书编号: CQC24QY20047R0M/1100
京ICP备05066980号-1         京公网安备110107000727号