扫码关注公众号           扫码咨询技术支持           扫码咨询技术服务
  
客服热线:400-901-9800  客服QQ:4009019800  技术答疑  技术支持  质量反馈  关于我们  联系我们
产品中心-北京博奥森生物技术有限公司
首页 > 产品中心 > 一抗 > 产品信息
Tropomodulin 3 Rabbit pAb (bs-17156R)  
订购热线:400-901-9800
订购邮箱:sales@bioss.com.cn
订购QQ:  400-901-9800
技术支持:techsupport@bioss.com.cn
50ul/1180.00元
100ul/1980.00元
200ul/2800.00元
大包装/询价

产品编号 bs-17156R
英文名称 Tropomodulin 3 Rabbit pAb
中文名称 原肌球蛋白调节蛋白3抗体
别    名 OTTHUMP00000162615; Tmod3; TMOD3_HUMAN; Tropomodulin 3(ubiquitous); Tropomodulin 3 ubiquitous; Tropomodulin-3; U Tmod; U-Tmod; Ubiquitous tropomodulin; UTmod.  
研究领域 细胞生物  信号转导  结合蛋白  细胞骨架  
抗体来源 Rabbit
克隆类型 Polyclonal
克 隆 号
交叉反应 Rat (predicted: Human,Mouse,Rabbit,Pig,Sheep,Cow,Dog,Horse)
产品应用 IHC-P=1:100-500,IHC-F=1:100-500,IF=1:100-500
not yet tested in other applications.
optimal dilutions/concentrations should be determined by the end user.
理论分子量 40 kDa
检测分子量
细胞定位 细胞浆 
性    状 Liquid
浓    度 1mg/ml
免 疫 原 KLH conjugated synthetic peptide derived from human Tropomodulin 3: 21-120/352 
亚    型 IgG
纯化方法 affinity purified by Protein A
缓 冲 液 0.01M TBS (pH7.4) with 1% BSA, 0.02% Proclin300 and 50% Glycerol.
保存条件 Shipped at 4℃. Store at -20℃ for one year. Avoid repeated freeze/thaw cycles.
注意事项 This product as supplied is intended for research use only, not for use in human, therapeutic or diagnostic applications.
PubMed PubMed
产品介绍 Originally isolated from human erythrocytes, the tropomodulin (TMOD) family of proteins cap the pointed end of Actin filaments. A component of the membrane skeleton, tropomodulin binds to the amino-terminus of Tropomyosin, which coats the surface of Actin, and thus blocks the elongation and depolymerization of Actin filaments. Four tropomodulin isoforms, tropomodulin 1-4, have been characterized in humans. Tropomodulin expression is isoform-specific; tropomodulin 3 is expressed ubiquitously, whereas tropomodulin 2 and tropomodulin 4 are expressed in neuronal tissue and muscle, respectively. Ubiquitous expression of seven tropomodulin 3 transcripts, ranging in size between 1 and 9.5 kb, have been identified by Northern Blot analysis on human tissues. The human TMOD3 gene maps to chromosome 15q21.2, within the same region as the gene for amyotrophic lateral sclerosis 5 (ALS5), and encodes a 352 amino acid protein. Tmod3, the mouse homolog to human TMOD3, is present as early as day 7 in embryonic development and is expressed throughout development.

Function:
Blocks the elongation and depolymerization of the actin filaments at the pointed end. The Tmod/TM complex contributes to the formation of the short actin protofilament, which in turn defines the geometry of the membrane skeleton.

Subunit:
Binds to the N-terminus of tropomyosin and to actin.

Subcellular Location:
Cytoplasm > cytoskeleton.

Tissue Specificity:
Ubiquitous.

Similarity:
Belongs to the tropomodulin family.

SWISS:
Q9NYL9

Gene ID:
29766

Database links:

Entrez Gene: 29766 Human

Entrez Gene: 50875 Mouse

Entrez Gene: 397556 Pig

Entrez Gene: 300838 Rat

Omim: 605112 Human

SwissProt: Q9NYL9 Human

SwissProt: Q9JHJ0 Mouse

Unigene: 4998 Human

Unigene: 38445 Mouse

Unigene: 146101 Rat



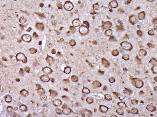
产品图片
Paraformaldehyde-fixed, paraffin embedded (Rat brain); Antigen retrieval by boiling in sodium citrate buffer (pH6.0) for 15min; Block endogenous peroxidase by 3% hydrogen peroxide for 20 minutes; Blocking buffer (normal goat serum) at 37°C for 30min; Antibody incubation with (Tropomodulin 3) Polyclonal Antibody, Unconjugated (bs-17156R) at 1:400 overnight at 4°C, followed by operating according to SP Kit(Rabbit) (sp-0023) instructions and DAB staining.
版权所有 2004-2026 www.bioss.com.cn 北京博奥森生物技术有限公司
通过国际质量管理体系ISO 9001:2015 GB/T 19001-2016    证书编号: 00124Q34771R2M/1100
通过国际医疗器械-质量管理体系ISO 13485:2016 GB/T 42061-2022     证书编号: CQC24QY20047R0M/1100
京ICP备05066980号-1         京公网安备110107000727号