扫码关注公众号           扫码咨询技术支持           扫码咨询技术服务
  
客服热线:400-901-9800  客服QQ:4009019800  技术答疑  技术支持  质量反馈  人才招聘  关于我们  联系我们
产品中心-北京博奥森生物技术有限公司
首页 > 产品中心 > 一抗 > 产品信息
ITPKB Rabbit pAb (bs-17185R)  
订购热线:400-901-9800
订购邮箱:sales@bioss.com.cn
订购QQ:  400-901-9800
技术支持:techsupport@bioss.com.cn
50ul/1180.00元
100ul/1980.00元
200ul/2800.00元
大包装/询价

产品编号 bs-17185R
英文名称 ITPKB Rabbit pAb
中文名称 三磷酸肌醇3激酶B抗体
别    名 IP3-3KB; IP3K; IP3K-B; IP3KB; PIG37; 1110033J02Rik; E130307H12Rik; IP3K B; IP3KB_HUMAN; ITPKB; Inositol 1,4,5-trisphosphate 3-kinase B (IP3 3-kinase B | IP3K B | InsP 3-kinase B); 2.7.1.127; IP3KB_RAT;   
研究领域 细胞生物  信号转导  激酶和磷酸酶  
抗体来源 Rabbit
克隆类型 Polyclonal
克 隆 号
交叉反应 Rat (predicted: Human,Mouse,Sheep,Cow,Chicken,Dog,Horse)
产品应用 IHC-P=1:100-500,IHC-F=1:100-500,IF=1:100-500
not yet tested in other applications.
optimal dilutions/concentrations should be determined by the end user.
理论分子量 102 kDa
细胞定位 细胞核 细胞浆 细胞膜 
性    状 Liquid
浓    度 1mg/ml
免 疫 原 KLH conjugated synthetic peptide derived from human ITPKB: 601-700/946 
亚    型 IgG
纯化方法 affinity purified by Protein A
缓 冲 液 0.01M TBS (pH7.4) with 1% BSA, 0.02% Proclin300 and 50% Glycerol.
保存条件 Shipped at 4℃. Store at -20℃ for one year. Avoid repeated freeze/thaw cycles.
注意事项 This product as supplied is intended for research use only, not for use in human, therapeutic or diagnostic applications.
PubMed PubMed
产品介绍 The protein encoded by this protein regulates inositol phosphate metabolism by phosphorylation of second messenger inositol 1,4,5-trisphosphate to Ins(1,3,4,5)P4. The activity of this encoded protein is responsible for regulating the levels of a large number of inositol polyphosphates that are important in cellular signaling. Both calcium/calmodulin and protein phosphorylation mechanisms control its activity. [provided by RefSeq, Jul 2008]

Subunit:
Interacts with DMTN.

Similarity:
Belongs to the inositol phosphokinase (IPK) family.

SWISS:
P27987

Gene ID:
3707

Database links:

Entrez Gene: 3707 Human

Entrez Gene: 320404 Mouse

Entrez Gene: 54260 Rat

Omim: 147522 Human

SwissProt: P27987 Human

SwissProt: P42335 Rat

Unigene: 659396 Human

Unigene: 726323 Human

Unigene: 132535 Mouse

Unigene: 22498 Rat



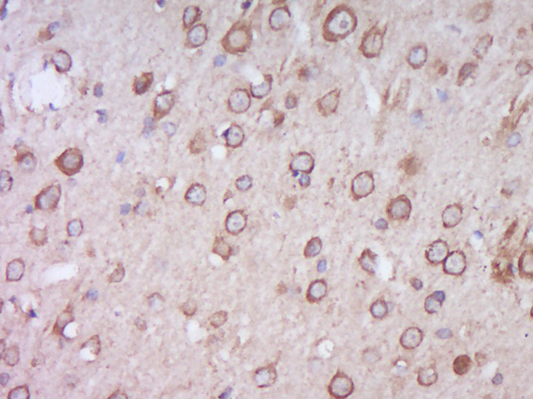
产品图片
Paraformaldehyde-fixed, paraffin embedded (Rat brain); Antigen retrieval by boiling in sodium citrate buffer (pH6.0) for 15min; Block endogenous peroxidase by 3% hydrogen peroxide for 20 minutes; Blocking buffer (normal goat serum) at 37°C for 30min; Antibody incubation with (ITPKB) Polyclonal Antibody, Unconjugated (bs-17185R) at 1:400 overnight at 4°C, followed by operating according to SP Kit(Rabbit) (sp-0023) instructionsand DAB staining.
版权所有 2004-2026 www.bioss.com.cn 北京博奥森生物技术有限公司
通过国际质量管理体系ISO 9001:2015 GB/T 19001-2016    证书编号: 00124Q34771R2M/1100
通过国际医疗器械-质量管理体系ISO 13485:2016 GB/T 42061-2022     证书编号: CQC24QY20047R0M/1100
京ICP备05066980号-1         京公网安备110107000727号