扫码关注公众号           扫码咨询技术支持           扫码咨询技术服务
  
客服热线:400-901-9800  客服QQ:4009019800  技术答疑  技术支持  质量反馈  关于我们  联系我们
产品中心-北京博奥森生物技术有限公司
首页 > 产品中心 > 一抗 > 产品信息
phospho-TRIM28 (Ser473) Rabbit pAb (bs-17221R)  
订购热线:400-901-9800
订购邮箱:sales@bioss.com.cn
订购QQ:  400-901-9800
技术支持:techsupport@bioss.com.cn
50ul/1180.00元
100ul/1980.00元
200ul/2800.00元
大包装/询价

产品编号 bs-17221R
英文名称 phospho-TRIM28 (Ser473) Rabbit pAb
中文名称 磷酸化转录中介因子Tif1β抗体
别    名 TIF1 beta(phospho-Ser473); P-TIF1 beta(Ser473); KAP1(phospho S473); p-KAP1(phospho S473); TIF1B_HUMAN; Transcription intermediary factor 1-beta; KAP1; RNF96; TIF1B; TIF1-beta; TIF1 beta; E3 SUMO-protein ligase TRIM28; EC:2.3.2.27; KRAB-associated protein 1(KAP-1); KRAB-interacting protein 1(KRIP-1); Nuclear corepressor KAP-1; RING finger protein 96; RING-type E3 ubiquitin transferase TIF1-beta; Tripartite motif-containing protein 28;  
产品类型 磷酸化抗体 
抗体来源 Rabbit
克隆类型 Polyclonal
克 隆 号
交叉反应 Human,Mouse,Rat (predicted: Rabbit, Macaque Monkey,Gorilla)
产品应用 IHC-P=1:100-500,IHC-F=1:100-500,IF=1:100-500,Flow-Cyt=1ug/Test
not yet tested in other applications.
optimal dilutions/concentrations should be determined by the end user.
理论分子量 88 kDa
检测分子量
细胞定位 细胞核 
性    状 Liquid
浓    度 1mg/ml
免 疫 原 KLH conjugated synthesised phosphopeptide derived from human TRIM28 around the phosphorylation site of Ser473: SR(p-S)GE 
亚    型 IgG
纯化方法 affinity purified by Protein A
缓 冲 液 0.01M TBS (pH7.4) with 1% BSA, 0.02% Proclin300 and 50% Glycerol.
保存条件 Shipped at 4℃. Store at -20℃ for one year. Avoid repeated freeze/thaw cycles.
注意事项 This product as supplied is intended for research use only, not for use in human, therapeutic or diagnostic applications.
PubMed PubMed
产品介绍 The protein encoded by this gene mediates transcriptional control by interaction with the Kruppel-associated box repression domain found in many transcription factors. The protein localizes to the nucleus and is thought to associate with specific chromatin regions. The protein is a member of the tripartite motif family. This tripartite motif includes three zinc-binding domains, a RING, a B-box type 1 and a B-box type 2, and a coiled-coil region. [provided by RefSeq, Jul 2008]

Function:
Nuclear corepressor for KRAB domain-containing zinc finger proteins (KRAB-ZFPs). Mediates gene silencing by recruiting CHD3, a subunit of the nucleosome remodeling and deacetylation (NuRD) complex, and SETDB1 (which specifically methylates histone H3 at 'Lys-9' (H3K9me)) to the promoter regions of KRAB target genes. Enhances transcriptional repression by coordinating the increase in H3K9me, the decrease in histone H3 'Lys-9 and 'Lys-14' acetylation (H3K9ac and H3K14ac, respectively) and the disposition of HP1 proteins to silence gene expression. Recruitment of SETDB1 induces heterochromatinization. May play a role as a coactivator for CEBPB and NR3C1 in the transcriptional activation of ORM1. Also corepressor for ERBB4. Inhibits E2F1 activity by stimulating E2F1-HDAC1 complex formation and inhibiting E2F1 acetylation. May serve as a partial backup to prevent E2F1-mediated apoptosis in the absence of RB1. Important regulator of CDKN1A/p21(CIP1). Has E3 SUMO-protein ligase activity toward itself via its PHD-type zinc finger.

Subcellular Location:
Nucleus. Associated with centromeric heterochromatin during cell differentiation through CBX1.

Tissue Specificity:
Expressed in all tissues tested including spleen, thymus, prostate, testis, ovary, small intestine, colon and peripheral blood leukocytes.

Post-translational modifications:
Phosphorylated upon DNA damage, probably by ATM or ATR. ATM-induced phosphorylation on Ser-824 represses sumoylation leading to the de-repression of expression of a subset of genes involved in cell cycle control and apoptosis in response to genotoxic stress. Dephosphorylation by the phosphatases, PPP1CA and PP1CB forms, allows sumoylation and expression of TRIM28 target genes. Sumoylation/desumoylation events regulate TRIM28-mediated transcriptional repression. Sumoylation is required for interaction with CHD3 and SETDB1 and the corepressor activity. Represses and is repressed by Ser-824 phosphorylation. Enhances the TRIM28 corepressor activity, inhibiting transcriptional activity of a number of genes including GADD45A and CDKN1A/p21. Lys-554, Lys-779 and Lys-804 are the major sites of sumoylation. In response to Dox-induced DNA damage, enhanced phosphorylation on Ser-824 prevents sumoylation and allows de-repression of CDKN1A/p21.

Similarity:
Belongs to the TRIM/RBCC family.
Contains 2 B box-type zinc fingers.
Contains 1 bromo domain.
Contains 1 PHD-type zinc finger.
Contains 1 RING-type zinc finger.

SWISS:
Q13263

Gene ID:
10155

Database links:

Entrez Gene: 10155 Human

Omim: 601742 Human

SwissProt: Q13263 Human

Unigene: 467408 Human



产品图片
Paraformaldehyde-fixed, paraffin embedded (mouse thymus); Antigen retrieval by boiling in sodium citrate buffer (pH6.0) for 15min; Block endogenous peroxidase by 3% hydrogen peroxide for 20 minutes; Blocking buffer (normal goat serum) at 37°C for 30min; Antibody incubation with (phospho-KAP1 (Ser473)) Polyclonal Antibody, Unconjugated (bs-17221R) at 1:200 overnight at 4°C, followed by operating according to SP Kit(Rabbit) (sp-0023) instructionsand DAB staining.
Paraformaldehyde-fixed, paraffin embedded (human prostate); Antigen retrieval by boiling in sodium citrate buffer (pH6.0) for 15min; Block endogenous peroxidase by 3% hydrogen peroxide for 20 minutes; Blocking buffer (normal goat serum) at 37°C for 30min; Antibody incubation with (phospho-KAP1 (Ser473)) Polyclonal Antibody, Unconjugated (bs-17221R) at 1:200 overnight at 4°C, followed by operating according to SP Kit(Rabbit) (sp-0023) instructionsand DAB staining.
Paraformaldehyde-fixed, paraffin embedded (mouse colon); Antigen retrieval by boiling in sodium citrate buffer (pH6.0) for 15min; Block endogenous peroxidase by 3% hydrogen peroxide for 20 minutes; Blocking buffer (normal goat serum) at 37°C for 30min; Antibody incubation with (phospho-KAP1 (Ser473)) Polyclonal Antibody, Unconjugated (bs-17221R) at 1:200 overnight at 4°C, followed by operating according to SP Kit(Rabbit) (sp-0023) instructionsand DAB staining.
Paraformaldehyde-fixed, paraffin embedded (rat colon); Antigen retrieval by boiling in sodium citrate buffer (pH6.0) for 15min; Block endogenous peroxidase by 3% hydrogen peroxide for 20 minutes; Blocking buffer (normal goat serum) at 37°C for 30min; Antibody incubation with (phospho-KAP1 (Ser473)) Polyclonal Antibody, Unconjugated (bs-17221R) at 1:200 overnight at 4°C, followed by operating according to SP Kit(Rabbit) (sp-0023) instructionsand DAB staining.
Paraformaldehyde-fixed, paraffin embedded (mouse testis); Antigen retrieval by boiling in sodium citrate buffer (pH6.0) for 15min; Block endogenous peroxidase by 3% hydrogen peroxide for 20 minutes; Blocking buffer (normal goat serum) at 37°C for 30min; Antibody incubation with (phospho-KAP1 (Ser473)) Polyclonal Antibody, Unconjugated (bs-17221R) at 1:200 overnight at 4°C, followed by operating according to SP Kit(Rabbit) (sp-0023) instructionsand DAB staining.
Paraformaldehyde-fixed, paraffin embedded (mouse kidney); Antigen retrieval by boiling in sodium citrate buffer (pH6.0) for 15min; Block endogenous peroxidase by 3% hydrogen peroxide for 20 minutes; Blocking buffer (normal goat serum) at 37°C for 30min; Antibody incubation with (phospho-KAP1 (Ser473)) Polyclonal Antibody, Unconjugated (bs-17221R) at 1:200 overnight at 4°C, followed by operating according to SP Kit(Rabbit) (sp-0023) instructionsand DAB staining.
Paraformaldehyde-fixed, paraffin embedded (rat kidney); Antigen retrieval by boiling in sodium citrate buffer (pH6.0) for 15min; Block endogenous peroxidase by 3% hydrogen peroxide for 20 minutes; Blocking buffer (normal goat serum) at 37°C for 30min; Antibody incubation with (phospho-KAP1 (Ser473)) Polyclonal Antibody, Unconjugated (bs-17221R) at 1:200 overnight at 4°C, followed by operating according to SP Kit(Rabbit) (sp-0023) instructionsand DAB staining.
Paraformaldehyde-fixed, paraffin embedded (rat testis); Antigen retrieval by boiling in sodium citrate buffer (pH6.0) for 15min; Block endogenous peroxidase by 3% hydrogen peroxide for 20 minutes; Blocking buffer (normal goat serum) at 37°C for 30min; Antibody incubation with (phospho-KAP1 (Ser473)) Polyclonal Antibody, Unconjugated (bs-17221R) at 1:200 overnight at 4°C, followed by operating according to SP Kit(Rabbit) (sp-0023) instructionsand DAB staining.
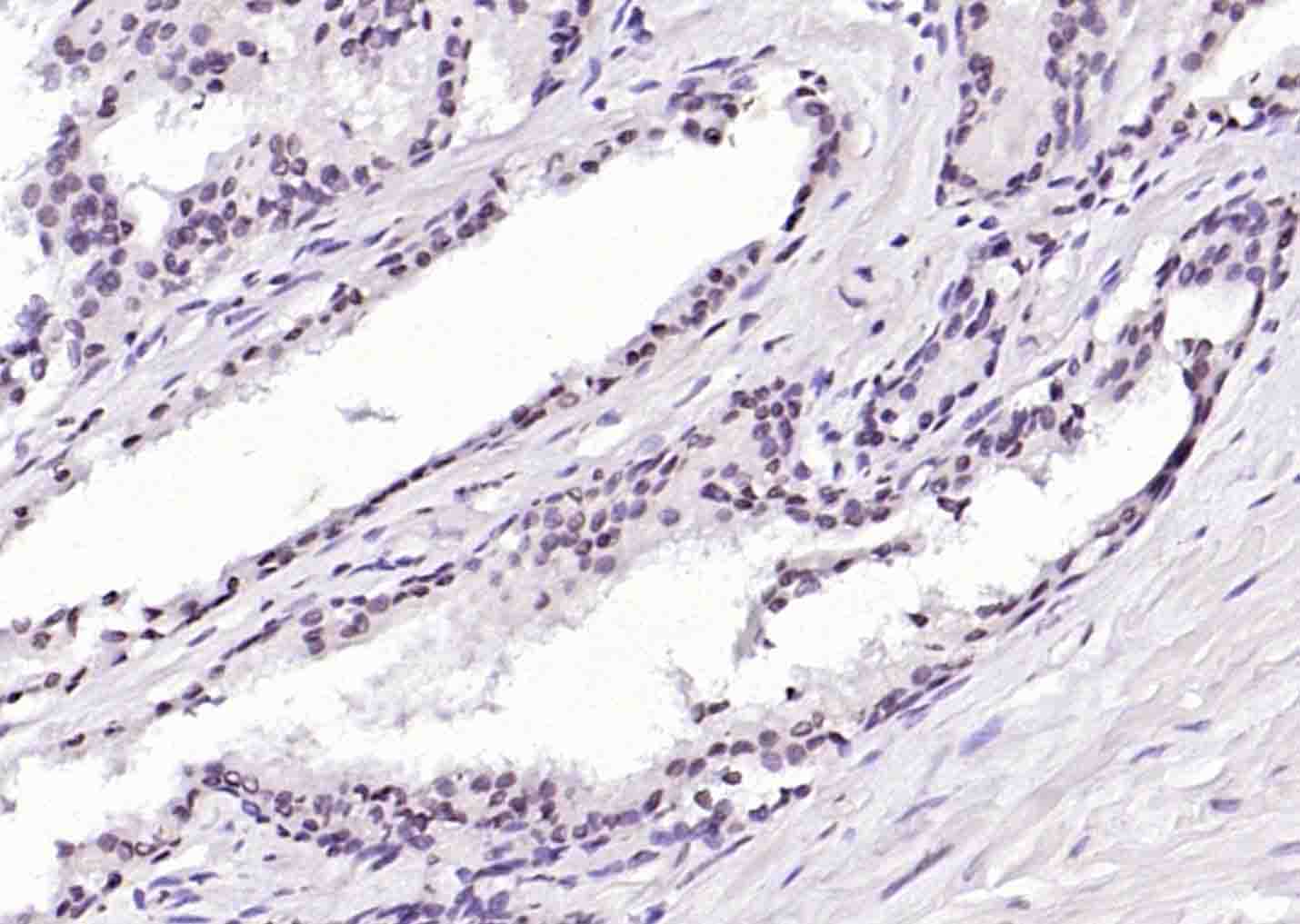
Paraformaldehyde-fixed, paraffin embedded (Human prostate); Antigen retrieval by boiling in sodium citrate buffer (pH6.0) for 15min; Block endogenous peroxidase by 3% hydrogen peroxide for 20 minutes; Blocking buffer (normal goat serum) at 37°C for 30min; Antibody incubation with (phospho-KAP1 (Ser473)) Polyclonal Antibody, Unconjugated (bs-17221R) at 1:400 overnight at 4°C, followed by operating according to SP Kit(Rabbit) (sp-0023) instructionsand DAB staining.
Blank control(black line):A431. Primary Antibody (green line): Rabbit Anti-phospho-KAP1 (Ser473) antibody (bs-17221R) Dilution:1ug/Test; Secondary Antibody(white blue line): Goat anti-rabbit IgG-AF488 Dilution: 0.5ug/Test. Isotype control(orange line): Normal Rabbit IgG Protocol The cells were fixed with 4% PFA (10min at room temperature)and then permeabilized with 90% ice-cold methanol for 20 min at -20℃, The cells were then incubated in 5%BSA to block non-specific protein-protein interactions for 30 min at room temperature .Cells stained with Primary Antibody for 30 min at room temperature. The secondary antibody used for 40 min at room temperature. Acquisition of 20,000 events was performed.
版权所有 2004-2026 www.bioss.com.cn 北京博奥森生物技术有限公司
通过国际质量管理体系ISO 9001:2015 GB/T 19001-2016    证书编号: 00124Q34771R2M/1100
通过国际医疗器械-质量管理体系ISO 13485:2016 GB/T 42061-2022     证书编号: CQC24QY20047R0M/1100
京ICP备05066980号-1         京公网安备110107000727号