扫码关注公众号           扫码咨询技术支持           扫码咨询技术服务
  
客服热线:400-901-9800  客服QQ:4009019800  技术答疑  技术支持  质量反馈  关于我们  联系我们
产品中心-北京博奥森生物技术有限公司
首页 > 产品中心 > 一抗 > 产品信息
SBNO1 Rabbit pAb (bs-17251R)  
订购热线:400-901-9800
订购邮箱:sales@bioss.com.cn
订购QQ:  400-901-9800
技术支持:techsupport@bioss.com.cn
50ul/1180.00元
100ul/1980.00元
200ul/2800.00元
大包装/询价

产品编号 bs-17251R
英文名称 SBNO1 Rabbit pAb
中文名称 SBNO1蛋白抗体
别    名 FLJ10701; FLJ10833; FLJ16176; Monocyte protein 3; MOP 3; MOP-3; MOP3; Protein strawberry notch homolog 1; SBNO 1; SBNO1_HUMAN; Sno; Sno strawberry notch homolog 1; Strawberry notch homolog 1.  
研究领域 细胞生物  免疫学  
抗体来源 Rabbit
克隆类型 Polyclonal
克 隆 号
交叉反应 Human,Mouse,Rat (predicted: Rabbit,Pig,Sheep,Cow,Zebrafish,Chicken,Dog,Horse)
产品应用 WB=1:500-2000,IHC-P=1:100-500,IHC-F=1:100-500,IF=1:100-500
not yet tested in other applications.
optimal dilutions/concentrations should be determined by the end user.
理论分子量 154 kDa
检测分子量
细胞定位 细胞核 
性    状 Liquid
浓    度 1mg/ml
免 疫 原 KLH conjugated synthetic peptide derived from human SBNO1: 331-430/1393 
亚    型 IgG
纯化方法 affinity purified by Protein A
缓 冲 液 0.01M TBS (pH7.4) with 1% BSA, 0.02% Proclin300 and 50% Glycerol.
保存条件 Shipped at 4℃. Store at -20℃ for one year. Avoid repeated freeze/thaw cycles.
注意事项 This product as supplied is intended for research use only, not for use in human, therapeutic or diagnostic applications.
PubMed PubMed
产品介绍 SBNO1 is a 1,392 amino acid protein encoded by the human gene of the same name located on chromosome 12. Encoding over 1,100 genes within 132 million bases, chromosome 12 makes up about 4.5% of the human genome. A number of skeletal deformities are linked to chromosome 12, including hypochondrogenesis, achondrogenesis and Kniest dysplasia. Noonan syndrome, which includes heart and facial developmental defects among the primary symptoms, is caused by a mutant form of PTPN11 gene product, SH-PTP2. Chromosome 12 is also home to a homeobox gene cluster, which encodes crucial transcription factors for morphogenesis, and the natural killer complex gene cluster, encoding C-type lectin proteins which mediate the NK cell response to MHC I interaction. Trisomy 12p leads to facial development defects, seizure disorders and a host of other symptoms which vary in severity depending on the extent of mosaicism. It is most severe in cases of complete trisomy.

Similarity:
Belongs to the SBNO family.

SWISS:
A3KN83

Gene ID:
55206

Database links:

Entrez Gene: 55206 Human

Omim: 614274 Human

SwissProt: A3KN83 Human

Unigene: 7012 Human



产品图片
Sample: A431(Human) Cell Lysate at 30 ug Primary: Anti-SBNO1 (bs-17251R) at 1/300 dilution Secondary: IRDye800CW Goat Anti-Rabbit IgG at 1/20000 dilution Predicted band size: 154 kD Observed band size: 154 kD
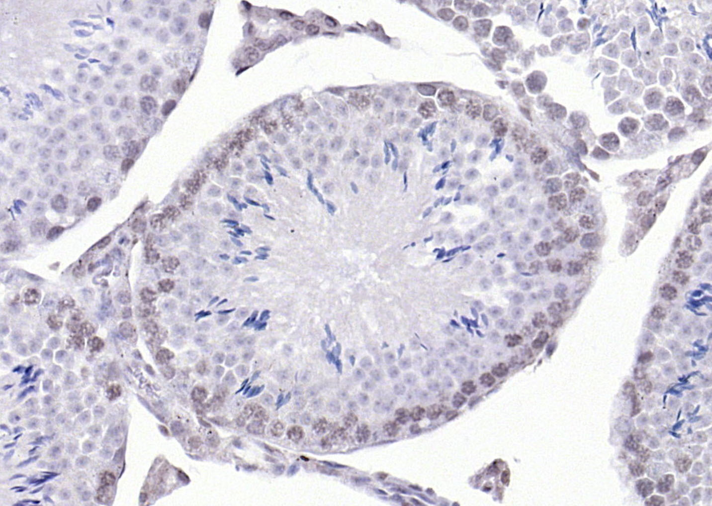
Paraformaldehyde-fixed, paraffin embedded (mouse testis); Antigen retrieval by boiling in sodium citrate buffer (pH6.0) for 15min; Block endogenous peroxidase by 3% hydrogen peroxide for 20 minutes; Blocking buffer (normal goat serum) at 37°C for 30min; Antibody incubation with (SBNO1) Polyclonal Antibody, Unconjugated (bs-17251R) at 1:200 overnight at 4°C, followed by operating according to SP Kit(Rabbit) (sp-0023) instructionsand DAB staining.
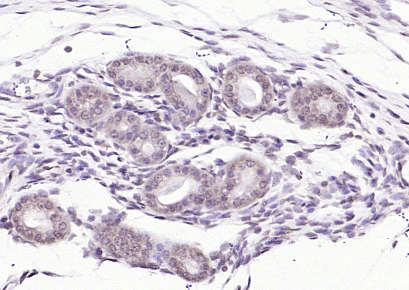
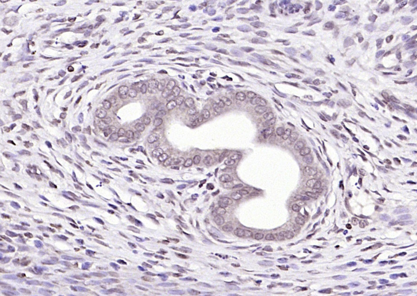
Paraformaldehyde-fixed, paraffin embedded (mouse uterus); Antigen retrieval by boiling in sodium citrate buffer (pH6.0) for 15min; Block endogenous peroxidase by 3% hydrogen peroxide for 20 minutes; Blocking buffer (normal goat serum) at 37°C for 30min; Antibody incubation with (SBNO1) Polyclonal Antibody, Unconjugated (bs-17251R) at 1:200 overnight at 4°C, followed by operating according to SP Kit(Rabbit) (sp-0023) instructionsand DAB staining.
Paraformaldehyde-fixed, paraffin embedded (rat testis); Antigen retrieval by boiling in sodium citrate buffer (pH6.0) for 15min; Block endogenous peroxidase by 3% hydrogen peroxide for 20 minutes; Blocking buffer (normal goat serum) at 37°C for 30min; Antibody incubation with (SBNO1) Polyclonal Antibody, Unconjugated (bs-17251R) at 1:200 overnight at 4°C, followed by operating according to SP Kit(Rabbit) (sp-0023) instructionsand DAB staining.
Paraformaldehyde-fixed, paraffin embedded (rat uterus); Antigen retrieval by boiling in sodium citrate buffer (pH6.0) for 15min; Block endogenous peroxidase by 3% hydrogen peroxide for 20 minutes; Blocking buffer (normal goat serum) at 37°C for 30min; Antibody incubation with (SBNO1) Polyclonal Antibody, Unconjugated (bs-17251R) at 1:200 overnight at 4°C, followed by operating according to SP Kit(Rabbit) (sp-0023) instructionsand DAB staining.
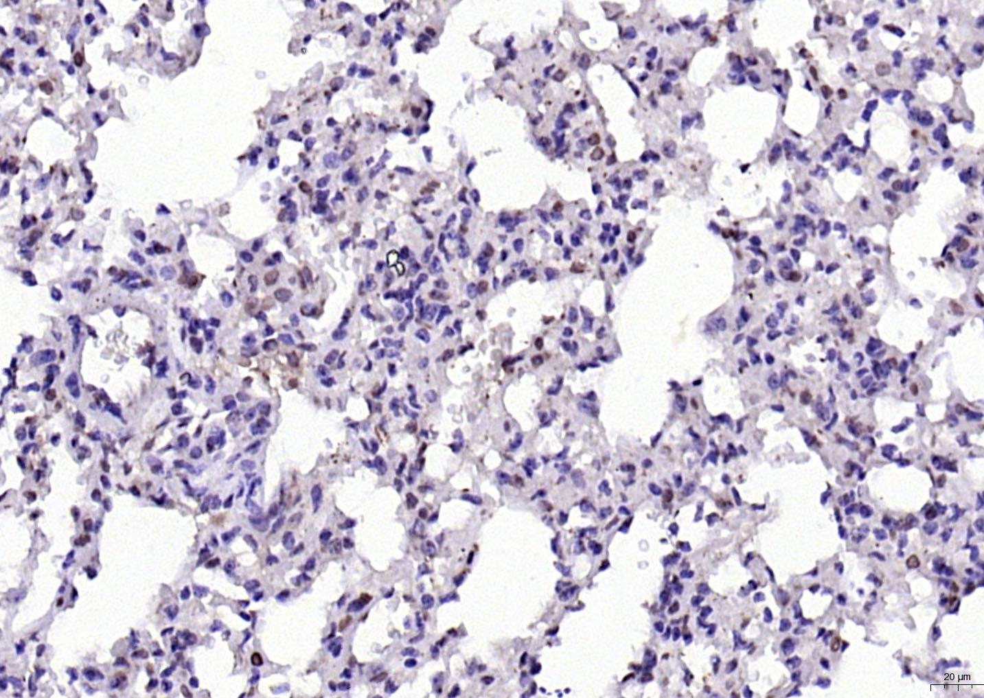
Paraformaldehyde-fixed, paraffin embedded (rat lung); Antigen retrieval by boiling in sodium citrate buffer (pH6.0) for 15min; Block endogenous peroxidase by 3% hydrogen peroxide for 20 minutes; Blocking buffer (normal goat serum) at 37°C for 30min; Antibody incubation with (SBNO1) Polyclonal Antibody, Unconjugated (bs-17251R) at 1:200 overnight at 4°C, followed by operating according to SP Kit(Rabbit) (sp-0023) instructionsand DAB staining.
Paraformaldehyde-fixed, paraffin embedded (mouse lung); Antigen retrieval by boiling in sodium citrate buffer (pH6.0) for 15min; Block endogenous peroxidase by 3% hydrogen peroxide for 20 minutes; Blocking buffer (normal goat serum) at 37°C for 30min; Antibody incubation with (SBNO1) Polyclonal Antibody, Unconjugated (bs-17251R) at 1:200 overnight at 4°C, followed by operating according to SP Kit(Rabbit) (sp-0023) instructionsand DAB staining.
版权所有 2004-2026 www.bioss.com.cn 北京博奥森生物技术有限公司
通过国际质量管理体系ISO 9001:2015 GB/T 19001-2016    证书编号: 00124Q34771R2M/1100
通过国际医疗器械-质量管理体系ISO 13485:2016 GB/T 42061-2022     证书编号: CQC24QY20047R0M/1100
京ICP备05066980号-1         京公网安备110107000727号