扫码关注公众号           扫码咨询技术支持           扫码咨询技术服务
  
客服热线:400-901-9800  客服QQ:4009019800  技术答疑  技术支持  质量反馈  人才招聘  关于我们  联系我们
产品中心-北京博奥森生物技术有限公司
首页 > 产品中心 > 一抗 > 产品信息
SFRS3 Rabbit pAb (bs-17299R)  
订购热线:400-901-9800
订购邮箱:sales@bioss.com.cn
订购QQ:  400-901-9800
技术支持:techsupport@bioss.com.cn
50ul/1180.00元
100ul/1980.00元
200ul/2800.00元
大包装/询价

产品编号 bs-17299R
英文名称 SFRS3 Rabbit pAb
中文名称 丝氨酸/苏氨酸SRp20抗体
别    名 SFRS3; SRp20; X16; sfrs3a; si:zc263a23.9; zgc:86626; SRSF3_HUMAN; SRSF3; Pre-mRNA-splicing factor SRP20; Splicing factor, arginine/serine-rich 3; SRSF3_MOUSE; Protein X16; Q9D6W4_MOUSE; Q801U3_DANRE; srsf3a;   
研究领域 细胞生物  信号转导  激酶和磷酸酶  表观遗传学  
抗体来源 Rabbit
克隆类型 Polyclonal
克 隆 号
交叉反应 Mouse (predicted: Human,Rat,Rabbit,Sheep,Cow,Zebrafish,Chicken,Dog,Horse)
产品应用 IHC-P=1:100-500,IHC-F=1:100-500,IF=1:100-500
not yet tested in other applications.
optimal dilutions/concentrations should be determined by the end user.
理论分子量 19 kDa
细胞定位 细胞核 
性    状 Liquid
浓    度 1mg/ml
免 疫 原 KLH conjugated synthetic peptide derived from human SFRS3: 51-150/164 
亚    型 IgG
纯化方法 affinity purified by Protein A
缓 冲 液 0.01M TBS (pH7.4) with 1% BSA, 0.02% Proclin300 and 50% Glycerol.
保存条件 Shipped at 4℃. Store at -20℃ for one year. Avoid repeated freeze/thaw cycles.
注意事项 This product as supplied is intended for research use only, not for use in human, therapeutic or diagnostic applications.
PubMed PubMed
产品介绍 The protein encoded by this gene is a member of the serine/arginine (SR)-rich family of pre-mRNA splicing factors, which constitute part of the spliceosome. Each of these factors contains an RNA recognition motif (RRM) for binding RNA and an RS domain for binding other proteins. The RS domain is rich in serine and arginine residues and facilitates interaction between different SR splicing factors. In addition to being critical for mRNA splicing, the SR proteins have also been shown to be involved in mRNA export from the nucleus and in translation. Two transcript variants, one protein-coding and the other non-coding, have been found for this gene. [provided by RefSeq, Sep 2010]

Function:
May be involved in RNA processing in relation with cellular proliferation and/or maturation.

Subcellular Location:
Nucleus.

Post-translational modifications:
Extensively phosphorylated on serine residues in the RS domain.

Similarity:
Belongs to the splicing factor SR family.
Contains 1 RRM (RNA recognition motif) domain.

SWISS:
P84103

Gene ID:
6428

Database links:

Entrez Gene: 6428 Human

Entrez Gene: 282070 Cow

Entrez Gene: 20383 Mouse

Entrez Gene: 361814 Rat

Entrez Gene: 368925 Zebrafish

Omim: 603364 Human

SwissProt: P84103 Human

SwissProt: P84104 Mouse

SwissProt: Q9D6W4 Mouse

SwissProt: Q801U3 Zebrafish

Unigene: 405144 Human

Unigene: 6787 Mouse

Unigene: 3509 Zebrafish



产品图片
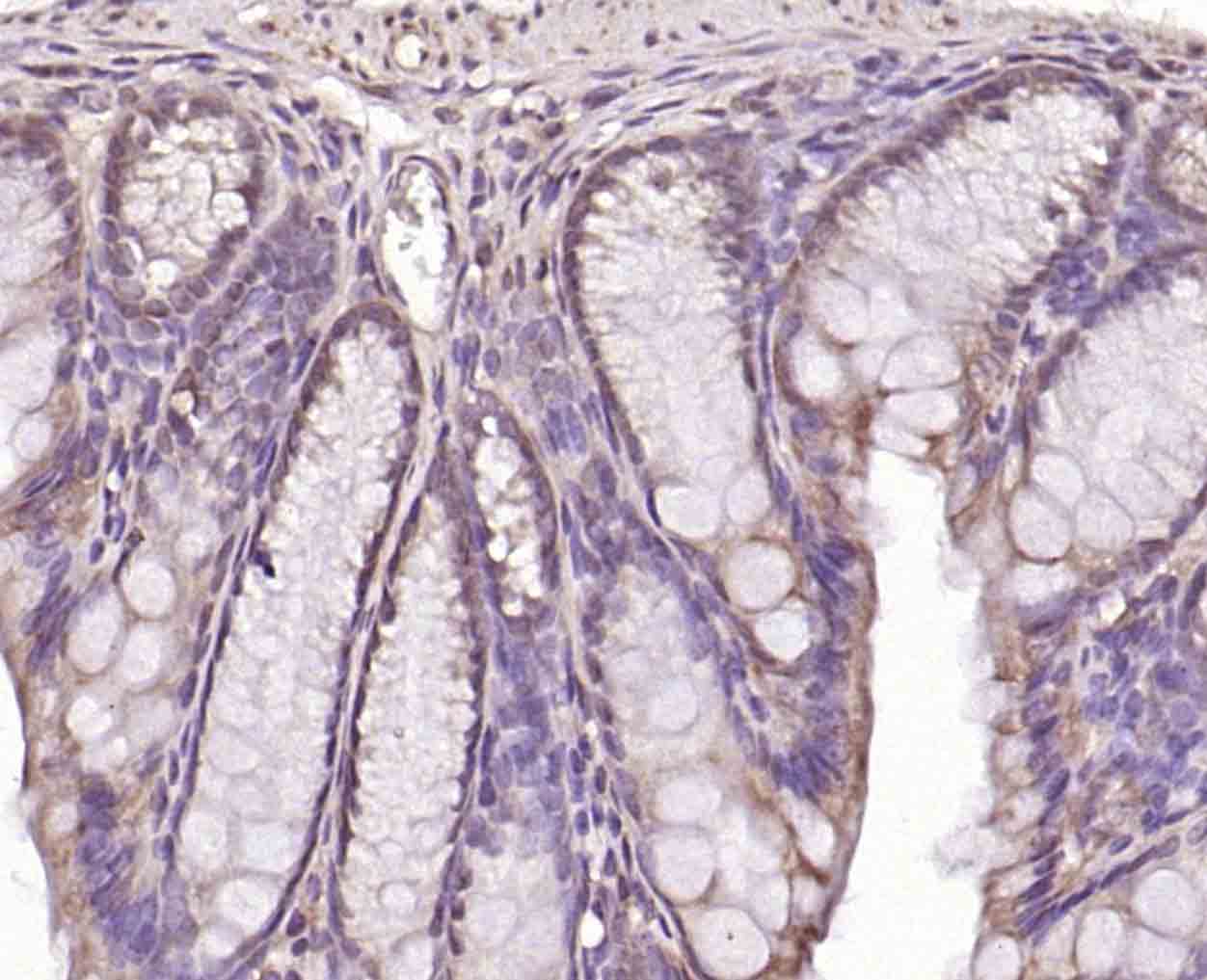
Paraformaldehyde-fixed, paraffin embedded (mouse colon); Antigen retrieval by boiling in sodium citrate buffer (pH6.0) for 15min; Block endogenous peroxidase by 3% hydrogen peroxide for 20 minutes; Blocking buffer (normal goat serum) at 37°C for 30min; Incubation with (SFRS3) Polyclonal Antibody, Unconjugated (bs-17299R) at 1:200 overnight at 4°C, followed by operating according to SP Kit(Rabbit) (sp-0023) instructionsand DAB staining.
版权所有 2004-2026 www.bioss.com.cn 北京博奥森生物技术有限公司
通过国际质量管理体系ISO 9001:2015 GB/T 19001-2016    证书编号: 00124Q34771R2M/1100
通过国际医疗器械-质量管理体系ISO 13485:2016 GB/T 42061-2022     证书编号: CQC24QY20047R0M/1100
京ICP备05066980号-1         京公网安备110107000727号