扫码关注公众号           扫码咨询技术支持           扫码咨询技术服务
  
客服热线:400-901-9800  客服QQ:4009019800  技术答疑  技术支持  质量反馈  人才招聘  关于我们  联系我们
产品中心-北京博奥森生物技术有限公司
首页 > 产品中心 > 一抗 > 产品信息
hnRNP Q Rabbit pAb (bs-17337R)  
订购热线:400-901-9800
订购邮箱:sales@bioss.com.cn
订购QQ:  400-901-9800
技术支持:techsupport@bioss.com.cn
50ul/1180.00元
100ul/1980.00元
200ul/2800.00元
大包装/询价

产品编号 bs-17337R
英文名称 hnRNP Q Rabbit pAb
中文名称 异质核糖核蛋白Q抗体
别    名 GRY-RBP; GRYRBP; HNRNPQ; HNRPQ1; NSAP1; PP68; hnRNP-Q; 2610109K23Rik; 4632417O19Rik; Nsap1l; hnRNP Q; Ab2-339; HNRPQ_HUMAN; SYNCRIP; Glycine- and tyrosine-rich RNA-binding protein (GRY-RBP); NS1-associated protein 1; Synaptotagmin-binding, cytoplasmic RNA-interacting protein; HNRPQ; HNRPQ_MOUSE; HNRPQ_RAT; Liver regeneration-related protein LRRG077; synaptotagmin binding cytoplasmic RNA interacting protein; heterogeneous nuclear ribonucleoprotein Q  
研究领域 细胞生物  结合蛋白  表观遗传学  
抗体来源 Rabbit
克隆类型 Polyclonal
交叉反应 Mouse,Rat (predicted: Human,Cow,Horse)
产品应用 IHC-P=1:100-500,IHC-F=1:100-500,IF=1:100-500
not yet tested in other applications.
optimal dilutions/concentrations should be determined by the end user.
理论分子量 69kDa
细胞定位 细胞核 
性    状 Liquid
浓    度 1mg/ml
免 疫 原 KLH conjugated synthetic peptide derived from human hnRNP Q: 51-150/623 
亚    型 IgG
纯化方法 affinity purified by Protein A
缓 冲 液 0.01M TBS (pH7.4) with 1% BSA, 0.02% Proclin300 and 50% Glycerol.
保存条件 Shipped at 4℃. Store at -20℃ for one year. Avoid repeated freeze/thaw cycles.
注意事项 This product as supplied is intended for research use only, not for use in human, therapeutic or diagnostic applications.
PubMed PubMed
产品介绍 This gene encodes a member of the cellular heterogeneous nuclear ribonucleoprotein (hnRNP) family. hnRNPs are RNA binding proteins that complex with heterogeneous nuclear RNA (hnRNA) and regulate alternative splicing, polyadenylation, and other aspects of mRNA metabolism and transport. The encoded protein plays a role in multiple aspects of mRNA maturation and is associated with several multiprotein complexes including the apoB RNA editing-complex and survival of motor neurons (SMN) complex. Alternatively spliced transcript variants encoding multiple isoforms have been observed for this gene, and a pseudogene of this gene is located on the short arm of chromosome 20. [provided by RefSeq, Dec 2011]

Function:
Heterogenous nuclear ribonucleoprotein (hnRNP) implicated in mRNA processing mechanisms. Component of the CRD-mediated complex that promotes MYC mRNA stability. Isoform 1, isoform 2 and isoform 3 are associated in vitro with pre-mRNA, splicing intermediates and mature mRNA protein complexes. Isoform 1 binds to apoB mRNA AU-rich sequences. Isoform 1 is part of the APOB mRNA editosome complex and may modulate the postranscriptional C to U RNA-editing of the APOB mRNA through either by binding to A1CF (APOBEC1 complementation factor), to APOBEC1 or to RNA itself. May be involved in translationally coupled mRNA turnover. Implicated with other RNA-binding proteins in the cytoplasmic deadenylation/translational and decay interplay of the FOS mRNA mediated by the major coding-region determinant of instability (mCRD) domain. Interacts in vitro preferentially with poly(A) and poly(U) RNA sequences. Isoform 3 may be involved in cytoplasmic vesicle-based mRNA transport through interaction with synaptotagmins.

Subcellular Location:
Nucleus > nucleoplasm. Expressed predominantly in the nucleoplasm and Cytoplasm. Microsome. Endoplasmic reticulum. Nucleus. The tyrosine phosphorylated form bound to RNA is found in microsomes (By similarity). Localized in cytoplasmic mRNP granules containing untranslated mRNAs.

Tissue Specificity:
Ubiquitously expressed. Detected in heart, brain, pancreas, placenta, spleen, lung, liver, skeletal muscle, kidney, thymus, prostate, uterus, small intestine, colon, peripheral blood and testis.

Post-translational modifications:
Phosphorylated on tyrosine. The membrane-bound form found in microsomes is phosphorylated in vitro by insulin receptor tyrosine kinase (INSR). Phosphorylation is inhibited upon binding to RNA, whereas the cytoplasmic form is poorly phosphorylated (By similarity). Phosphorylated upon DNA damage, probably by ATM or ATR.

Similarity:
Contains 3 RRM (RNA recognition motif) domains.

SWISS:
O60506

Gene ID:
10492

Database links:

Entrez Gene: 10492 Human

Entrez Gene: 56403 Mouse

Entrez Gene: 363113 Rat

SwissProt: O60506 Human

SwissProt: Q7TMK9 Mouse

SwissProt: Q7TP47 Rat

Unigene: 571177 Human

Unigene: 260545 Mouse

Unigene: 202606 Rat



产品图片
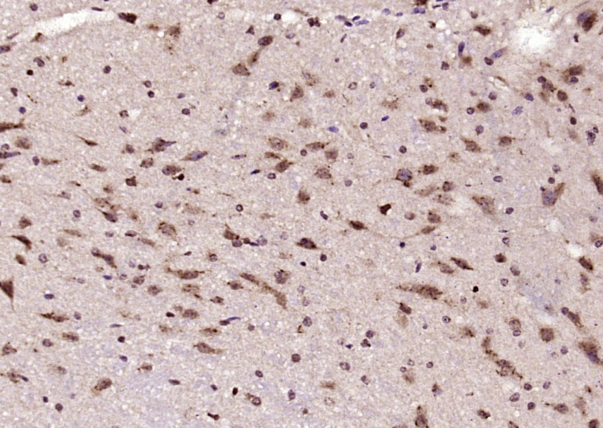
Paraformaldehyde-fixed, paraffin embedded (mouse cerebellum); Antigen retrieval by boiling in sodium citrate buffer (pH6.0) for 15min; Block endogenous peroxidase by 3% hydrogen peroxide for 20 minutes; Blocking buffer (normal goat serum) at 37°C for 30min; Antibody incubation with (hnRNP Q) Polyclonal Antibody, Unconjugated (bs-17337R) at 1:200 overnight at 4°C, followed by operating according to SP Kit(Rabbit) (sp-0023) instructionsand DAB staining.
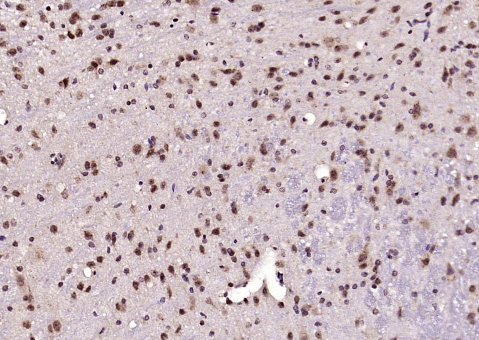
Paraformaldehyde-fixed, paraffin embedded (mouse brain); Antigen retrieval by boiling in sodium citrate buffer (pH6.0) for 15min; Block endogenous peroxidase by 3% hydrogen peroxide for 20 minutes; Blocking buffer (normal goat serum) at 37°C for 30min; Antibody incubation with (hnRNP Q) Polyclonal Antibody, Unconjugated (bs-17337R) at 1:200 overnight at 4°C, followed by operating according to SP Kit(Rabbit) (sp-0023) instructionsand DAB staining.
Paraformaldehyde-fixed, paraffin embedded (rat pancreas); Antigen retrieval by boiling in sodium citrate buffer (pH6.0) for 15min; Block endogenous peroxidase by 3% hydrogen peroxide for 20 minutes; Blocking buffer (normal goat serum) at 37°C for 30min; Antibody incubation with (hnRNP Q) Polyclonal Antibody, Unconjugated (bs-17337R) at 1:200 overnight at 4°C, followed by operating according to SP Kit(Rabbit) (sp-0023) instructionsand DAB staining.
版权所有 2004-2026 www.bioss.com.cn 北京博奥森生物技术有限公司
通过国际质量管理体系ISO 9001:2015 GB/T 19001-2016    证书编号: 00124Q34771R2M/1100
通过国际医疗器械-质量管理体系ISO 13485:2016 GB/T 42061-2022     证书编号: CQC24QY20047R0M/1100
京ICP备05066980号-1         京公网安备110107000727号