扫码关注公众号           扫码咨询技术支持           扫码咨询技术服务
  
客服热线:400-901-9800  客服QQ:4009019800  技术答疑  技术支持  质量反馈  关于我们  联系我们
产品中心-北京博奥森生物技术有限公司
首页 > 产品中心 > 一抗 > 产品信息
HRSP12 Rabbit pAb (bs-17388R)  
订购热线:400-901-9800
订购邮箱:sales@bioss.com.cn
订购QQ:  400-901-9800
技术支持:techsupport@bioss.com.cn
50ul/1180.00元
100ul/1980.00元
200ul/2800.00元
大包装/询价

产品编号 bs-17388R
英文名称 HRSP12 Rabbit pAb
中文名称 热反应蛋白12抗体
别    名 14.5 kDa translational inhibitor protein; Heat responsive protein 12; Heat-responsive protein 12; Hrsp12; p14.5; Perchloric acid soluble protein; PSP; Ribonuclease UK114; Translational inhibitor p14.5; Translational inhibitor protein p14.5; UK114; UK114 antigen homolog; UK114_HUMAN.  
研究领域 细胞生物  转录调节因子  结合蛋白  表观遗传学  
抗体来源 Rabbit
克隆类型 Polyclonal
克 隆 号
交叉反应 Human
产品应用 IHC-P=1:100-500,IHC-F=1:100-500,IF=1:100-500
not yet tested in other applications.
optimal dilutions/concentrations should be determined by the end user.
理论分子量 14 kDa
检测分子量
细胞定位 细胞核 细胞浆 
性    状 Liquid
浓    度 1mg/ml
免 疫 原 KLH conjugated synthetic peptide derived from human HRSP12: 51-137/137 
亚    型 IgG
纯化方法 affinity purified by Protein A
缓 冲 液 0.01M TBS (pH7.4) with 1% BSA, 0.02% Proclin300 and 50% Glycerol.
保存条件 Shipped at 4℃. Store at -20℃ for one year. Avoid repeated freeze/thaw cycles.
注意事项 This product as supplied is intended for research use only, not for use in human, therapeutic or diagnostic applications.
PubMed PubMed
产品介绍 Endoribonuclease responsible for the inhibition of the translation by cleaving mRNA. Inhibits cell-free protein synthesis. Cleaves phosphodiester bonds only in single-stranded RNA.

Subcellular Location:
Cytoplasm. Nucleus. Mostly cytoplasmic but, in less differentiated cells occasionally nuclear.

Tissue Specificity:
Hepatocytes and renal distal tubular epithelial cells. Only weak expression in other tissues.

Similarity:
Belongs to the RutC family.

SWISS:
P52758

Gene ID:
10247

Database links:

Entrez Gene: 504390 Cow

Entrez Gene: 100861379 Goat

Entrez Gene: 10247 Human

Omim: 602487 Human

SwissProt: Q3T114 Cow

SwissProt: P80601 Goat

SwissProt: P52758 Human

Unigene: 18426 Human



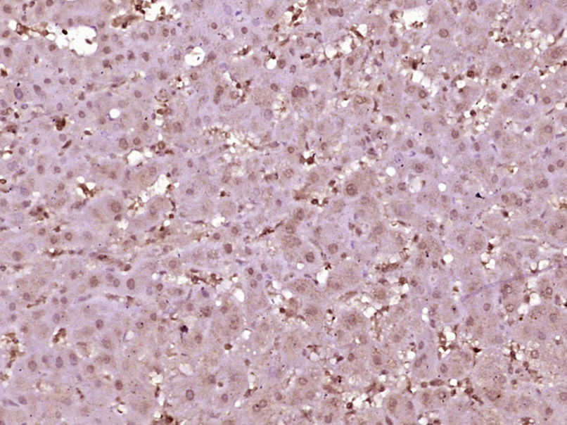
产品图片
Paraformaldehyde-fixed, paraffin embedded (Human kidney); Antigen retrieval by boiling in sodium citrate buffer (pH6.0) for 15min; Block endogenous peroxidase by 3% hydrogen peroxide for 20 minutes; Blocking buffer (normal goat serum) at 37°C for 30min; Antibody incubation with (HRSP12) Polyclonal Antibody, Unconjugated (bs-17388R) at 1:400 overnight at 4°C, followed by operating according to SP Kit(Rabbit) (sp-0023) instructionsand DAB staining.
Paraformaldehyde-fixed, paraffin embedded (Human liver); Antigen retrieval by boiling in sodium citrate buffer (pH6.0) for 15min; Block endogenous peroxidase by 3% hydrogen peroxide for 20 minutes; Blocking buffer (normal goat serum) at 37°C for 30min; Antibody incubation with (HRSP12) Polyclonal Antibody, Unconjugated (bs-17388R) at 1:400 overnight at 4°C, followed by operating according to SP Kit(Rabbit) (sp-0023) instructionsand DAB staining.
版权所有 2004-2026 www.bioss.com.cn 北京博奥森生物技术有限公司
通过国际质量管理体系ISO 9001:2015 GB/T 19001-2016    证书编号: 00124Q34771R2M/1100
通过国际医疗器械-质量管理体系ISO 13485:2016 GB/T 42061-2022     证书编号: CQC24QY20047R0M/1100
京ICP备05066980号-1         京公网安备110107000727号