扫码关注公众号           扫码咨询技术支持           扫码咨询技术服务
  
客服热线:400-901-9800  客服QQ:4009019800  技术答疑  技术支持  质量反馈  人才招聘  关于我们  联系我们
产品中心-北京博奥森生物技术有限公司
首页 > 产品中心 > 一抗 > 产品信息
Histone H1.4 (tri methyl K25, phospho S26) Rabbit pAb (bs-17419R)  
订购热线:400-901-9800
订购邮箱:sales@bioss.com.cn
订购QQ:  400-901-9800
技术支持:techsupport@bioss.com.cn
50ul/1180.00元
100ul/1980.00元
200ul/2800.00元
大包装/询价

产品编号 bs-17419R
英文名称 Histone H1.4 (tri methyl K25, phospho S26) Rabbit pAb
中文名称 磷酸化三甲基化组蛋白H1抗体
别    名 H1.4; H1E; H1F4; H1s-4; HIST1H1E; RMNS; dJ221C16.5; H1 VAR.2; H1-4; H1var2; H14_HUMAN; Histone H1b; Histone H1s-4; H14_MOUSE; H1.4 linker histone, cluster member; H1 histone family, member 4; histone 1, H1e; histone cluster 1, H1e; histone cluster 1 H1 family member e; H1-4 | Histone H1.4 (tri-methyl-K25/phospho-S26); H1.4K25me3S26P; me3/p-Histone H1.4; tri-methyl/phospho-Histone H1.4; me3/p-H1.4; H1-4 | Histone H1.4 (tri-methyl-Lys25/phospho-Ser26)  
产品类型 磷酸化抗体 甲基化抗体 
研究领域 细胞生物  表观遗传学  
抗体来源 Rabbit
克隆类型 Polyclonal
交叉反应 Human (predicted: Rabbit,Dog)
产品应用 IHC-P=1:100-500,IHC-F=1:100-500,IF=1:100-500
not yet tested in other applications.
optimal dilutions/concentrations should be determined by the end user.
理论分子量 22kDa
细胞定位 细胞核 
性    状 Liquid
浓    度 1mg/ml
免 疫 原 KLH conjugated synthetic peptide derived from human Histone H1.4 around the site of tri methyl-Lys25+phospho-Ser26: AR(tri methyl-K)(p-S)AG 
亚    型 IgG
纯化方法 affinity purified by Protein A
缓 冲 液 0.01M TBS (pH7.4) with 1% BSA, 0.02% Proclin300 and 50% Glycerol.
保存条件 Shipped at 4℃. Store at -20℃ for one year. Avoid repeated freeze/thaw cycles.
注意事项 This product as supplied is intended for research use only, not for use in human, therapeutic or diagnostic applications.
PubMed PubMed
产品介绍 Histones are basic nuclear proteins responsible for nucleosome structure of the chromosomal fiber in eukaryotes. Two molecules of each of the four core histones (H2A, H2B, H3, and H4) form an octamer, around which approximately 146 bp of DNA is wrapped in repeating units, called nucleosomes. The linker histone, H1, interacts with linker DNA between nucleosomes and functions in the compaction of chromatin into higher order structures. This gene is intronless and encodes a member of the histone H1 family. Transcripts from this gene lack polyA tails but instead contain a palindromic termination element. This gene is found in the large histone gene cluster on chromosome 6. [provided by RefSeq, Jul 2008]

Function:
Histones H1 are necessary for the condensation of nucleosome chains into higher order structures.

Subcellular Location:
Nucleus. Chromosome. Note=Mainly localizes in heterochromatin. Dysplays a punctuate staining pattern in the nucleus.

Post-translational modifications:
H1 histones are progressively phosphorylated during the cell cycle, becoming maximally phosphorylated during late G2 phase and M phase, and being dephosphorylated sharply thereafter (By similarity).
Acetylated at Lys-26. Deacetylated at Lys-26 by SIRT1.
Citrullination at Arg-54 (H1R54ci) by PADI4 takes place within the DNA-binding site of H1 and results in its displacement from chromatin and global chromatin decondensation, thereby promoting pluripotency and stem cell maintenance (By similarity).

Similarity:
Belongs to the histone H1/H5 family.
Contains 1 H15 (linker histone H1/H5 globular) domain.

SWISS:
P10412

Gene ID:
3008

Database links:

Entrez Gene: 3008 Human

Entrez Gene: 50709 Mouse

Omim: 142220 Human

SwissProt: P10412 Human

SwissProt: P43274 Mouse

Unigene: 248133 Human

Unigene: 170587 Mouse



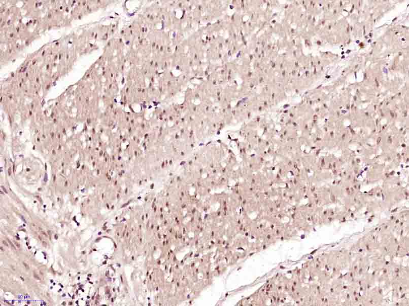
产品图片
Paraformaldehyde-fixed, paraffin embedded (Human colon carcinoma); Antigen retrieval by boiling in sodium citrate buffer (pH6.0) for 15min; Block endogenous peroxidase by 3% hydrogen peroxide for 20 minutes; Blocking buffer (normal goat serum) at 37°C for 30min; Antibody incubation with (Histone H1.4 (tri methyl K25, phospho S26)) Polyclonal Antibody, Unconjugated (bs-17419R) at 1:400 overnight at 4°C, followed by operating according to SP Kit(Rabbit) (sp-0023) instructionsand DAB staining.
版权所有 2004-2026 www.bioss.com.cn 北京博奥森生物技术有限公司
通过国际质量管理体系ISO 9001:2015 GB/T 19001-2016    证书编号: 00124Q34771R2M/1100
通过国际医疗器械-质量管理体系ISO 13485:2016 GB/T 42061-2022     证书编号: CQC24QY20047R0M/1100
京ICP备05066980号-1         京公网安备110107000727号