扫码关注公众号           扫码咨询技术支持           扫码咨询技术服务
  
客服热线:400-901-9800  客服QQ:4009019800  技术答疑  技术支持  质量反馈  关于我们  联系我们
产品中心-北京博奥森生物技术有限公司
首页 > 产品中心 > 一抗 > 产品信息
Histone H3.1 Rabbit pAb (bs-17422R)  
订购热线:400-901-9800
订购邮箱:sales@bioss.com.cn
订购QQ:  400-901-9800
技术支持:techsupport@bioss.com.cn
50ul/1180.00元
100ul/1980.00元
200ul/2800.00元
大包装/询价

产品编号 bs-17422R
英文名称 Histone H3.1 Rabbit pAb
中文名称 组蛋白H3.1抗体
别    名 H3 histone family, member A; H3 histone family, member B; H3 histone family, member C; H3 histone family, member D; H3 histone family, member E; H3 histone family, member F; H3 histone family, member G; H3 histone family, member H; H3 histone family, member I; H3 histone family, member J; H3 histone family, member K; H3 histone family, member L; H3.1; H3.f; H3/A; H3/c; H3/d; H3/f; H3/h; H3/i; H3/j; H3/k; H3/l; H31_HUMAN; H3F1K; H3FA; H3FB; H3FC; H3FD; H3FF; H3FH; H3FI; H3FJ; H3FK; H3FL; HIST1 cluster H3A; HIST1 cluster H3B; HIST1 cluster H3C; HIST1 cluster H3D; HIST1 cluster H3E; HIST1 cluster H3F; HIST1 cluster H3G; HIST1 cluster H3I; HIST1 cluster H3J; HIST1H3A; HIST1H3B; HIST1H3C; HIST1H3E; HIST1H3F; HIST1H3G; HIST1H3H; HIST1H3I; HIST1H3J; histone 1, H3a; histone 1, H3b; Histone 1, H3c; Histone 1, H3e; histone 1, H3f; histone 1, H3g; histone 1, H3h; histone 1, H3i; histone 1, H3j; histone cluster 1, H3a; histone cluster 1, H3b; Histone cluster 1, H3c; Histone cluster 1, H3e; histone cluster 1, H3g; histone cluster 1, H3h; histone cluster 1, H3i; histone cluster 1, H3j; Histone gene cluster 1 H3A; Histone gene cluster 1 H3B; Histone gene cluster 1 H3E; Histone gene cluster 1 H3F; Histone gene cluster 1 H3G; Histone gene cluster 1, H3; Histone gene cluster 1, H3C; Histone gene cluster 1, H3D; Histone gene cluster 1, H3I; Histone gene cluster 1, H3IH; Histone H3.1; Histone H3/a; Histone H3/b; Histone H3/c; Histone H3/d; Histone H3/f; Histone H3/h; Histone H3/i; Histone H3/j; Histone H3/k; Histone H3/l  
Specific References  (12)     |     bs-17422R has been referenced in 12 publications.
[IF=16.988] Wu Yutong. et al. Osteoclast-Derived Apoptotic Bodies Inhibit Naive Cd8 T Cell Activation via Siglec15 Promoting Breast Cancer Secondary Metastasis. Cell Reports Medicine. 2022 Nov 03  WB ;  Mouse.  
[IF=14.976] Qinyu Ma. et al. Small extracellular vesicles deliver osteolytic effectors and mediate cancer‐induced osteolysis in bone metastatic niche. J Extracell Vesicles. 2021 Feb;10(4):e12068  WB ;  Mouse.  
[IF=7.109] Wu Yutong. et al. Reduced osteoclast-derived apoptotic bodies in bone marrow characterizes the pathological progression of osteoporosis. CELL DEATH DISCOV. 2023 Apr;9(1):1-9  WB ;  Mouse.  
[IF=7.032] Mengmeng Liang. et al. Osteoclast-derived small extracellular vesicles induce osteogenic differentiation via inhibiting ARHGAP1. Mol Ther-Nucl Acids. 2021 Mar;23:1191  WB ;  Mouse.  
[IF=6.953] Jinshan Wu. et al. Protection by Hosta ventricosa polysaccharides against oxidative damage induced by t-BHP in HepG2 cells via the JNK/Nrf2 pathway. Int J Biol Macromol. 2022 May;208:453  WB ;  Human.  
[IF=4.85] Yutong Wu. et al. Osteoclast-derived extracellular miR-106a-5p promotes osteogenic differentiation and facilitates bone defect healing. CELL SIGNAL. 2022 Dec;:110549  WB ;  Mouse.  
[IF=3.188] Li Y et al. Silencing of LncRNA Steroid Receptor RNA Activator attenuates polycystic ovary syndrome in Mice. (2018)Biochimie; Nov 1;157:48-56.  WB ;  Mouse.  
[IF=2.561] Liu B et al. Biglycan promotes the chemotherapy resistance of colon cancer by activating NF-κB signal transduction.Mol Cell Biochem. 2018 May 14.  WB ;  Human.  
[IF=2.332] Liu J et al. Molecular detection of Hsp90 inhibitor suppressing PCV2 replication in host cells. Microb Pathog. 2019 Apr 25;132:51-58.  WB ;  Pig.  
[IF=1.98] Fang D et al. Overexpression of Biglycan is Associated with Resistance to Rapamycin in Human WERI-Rb-1 Retinoblastoma Cells by Inducing the Activation of the Phosphatidylinositol 3-Kinases (PI3K)/Akt/Nuclear Factor kappa B (NF-κB) Signaling Pathway. Med Sci Monit. 2019 Sep 4;25:6639-6648.  WB ;  Human.  
[IF=1.918] Dong Y et al. Quercetin Inhibits the Proliferation and Metastasis of Human Non-Small Cell Lung Cancer Cell Line: The Key Role of Src-Mediated Fibroblast Growth Factor-Inducible 14 (Fn14)/ Nuclear Factor kappa B (NF-κB) pathway. Med Sci Monit . 2020 Mar 30;26:e920537.  WB ;  human.  
[IF=1.894] Wang et al. Src Promotes Metastasis of Human Non-Small Cell Lung Cancer Cells through Fn14-Mediated NF-κB Signaling. (2018) Med.Sci.Monit. 24:1282-1294  WB ;  Human.  
研究领域 细胞生物  表观遗传学  
抗体来源 Rabbit
克隆类型 Polyclonal
克 隆 号
交叉反应 Human,Mouse,Rat (predicted: Rabbit,Pig,Sheep,Cow,Horse,Chimpanzee)
产品应用 WB=1:500-2000,IHC-P=1:100-500,IHC-F=1:100-500,IF=1:100-500
not yet tested in other applications.
optimal dilutions/concentrations should be determined by the end user.
理论分子量 15 kDa
检测分子量
细胞定位 细胞核 
性    状 Liquid
浓    度 1mg/ml
免 疫 原 KLH conjugated synthetic peptide derived from human Histone H3.1: 71-136/136 
亚    型 IgG
纯化方法 affinity purified by Protein A
缓 冲 液 0.01M TBS (pH7.4) with 1% BSA, 0.02% Proclin300 and 50% Glycerol.
保存条件 Shipped at 4℃. Store at -20℃ for one year. Avoid repeated freeze/thaw cycles.
注意事项 This product as supplied is intended for research use only, not for use in human, therapeutic or diagnostic applications.
PubMed PubMed
产品介绍 Histones are basic nuclear proteins that are responsible for the nucleosome structure of the chromosomal fiber in eukaryotes. This structure consists of approximately 146 bp of DNA wrapped around a nucleosome, an octamer composed of pairs of each of the four core histones (H2A, H2B, H3, and H4). The chromatin fiber is further compacted through the interaction of a linker histone, H1, with the DNA between the nucleosomes to form higher order chromatin structures. This gene is intronless and encodes a member of the histone H3 family. Transcripts from this gene lack polyA tails; instead, they contain a palindromic termination element. This gene is found in the large histone gene cluster on chromosome 6p22-p21.3. [provided by RefSeq, Jul 2008]

Function:
Histone H3.1 is a core component of nucleosome. Nucleosomes wrap and compact DNA into chromatin, limiting DNA accessibility to the cellular machineries which require DNA as a template. Histones thereby play a central role in transcription regulation, DNA repair, DNA replication and chromosomal stability. DNA accessibility is regulated via a complex set of post-translational modifications of histones, also called histone code, and nucleosome remodelling. The nucleosome is a histone octamer containing two molecules each of H2A, H2B, H3 and H4 assembled in one H3 H4 heterotetramer and two H2A H2B heterodimers. The octamer wraps approximately 147 bp of DNA.

Subcellular Location:
Nuclear

Similarity:
Belongs to the histone H3 family.

SWISS:
Q71DI3

Gene ID:
8968

Database links:

Entrez Gene: 8350 Human

Entrez Gene: 8351 Human

Entrez Gene: 8352 Human

Entrez Gene: 8353 Human

Entrez Gene: 8354 Human

Entrez Gene: 8355 Human

Entrez Gene: 8356 Human

Entrez Gene: 8357 Human

Entrez Gene: 8358 Human

Entrez Gene: 8968 Human

Entrez Gene: 319148 Mouse

Entrez Gene: 319151 Mouse

Entrez Gene: 319152 Mouse

Entrez Gene: 319153 Mouse

Entrez Gene: 360198 Mouse

Entrez Gene: 97908 Mouse

Omim: 602810 Human

Omim: 602811 Human

Omim: 602812 Human

Omim: 602813 Human

Omim: 602814 Human

Omim: 602815 Human

Omim: 602816 Human

Omim: 602817 Human

Omim: 602818 Human

Omim: 602819 Human

SwissProt: P68431 Human

SwissProt: P68433 Mouse

Unigene: 132854 Human

Unigene: 247813 Human

Unigene: 247814 Human

Unigene: 248176 Human

Unigene: 443021 Human

Unigene: 484990 Human

Unigene: 532144 Human

Unigene: 533292 Human

Unigene: 546315 Human

Unigene: 586261 Human

Unigene: 591778 Human

Unigene: 626666 Human

Unigene: 221301 Mouse

Unigene: 261657 Mouse

Unigene: 377874 Mouse

Unigene: 390558 Mouse



产品图片
Sample: Lane 1: Mouse Testis tissue lysates Lane 2: Mouse Thymus tissue lysates Lane 3: Rat Thymus tissue lysates Lane 4: Human HeLa cell lysates Lane 5: Human SH-SY5Y cell lysates Lane 6: Human 293T cell lysates Lane 7: Human U251 cell lysates Primary: Anti-Histone H3.1 (bs-17422R) at 1/1000 dilution Secondary: IRDye800CW Goat Anti-Rabbit IgG at 1/20000 dilution Predicted band size: 15 kDa Observed band size: 17 kDa
Paraformaldehyde-fixed, paraffin embedded (mouse testis); Antigen retrieval by boiling in sodium citrate buffer (pH6.0) for 15min; Block endogenous peroxidase by 3% hydrogen peroxide for 20 minutes; Blocking buffer (normal goat serum) at 37°C for 30min; Antibody incubation with (Histone H3.1) Polyclonal Antibody, Unconjugated (bs-17422R) at 1:200 overnight at 4°C, followed by operating according to SP Kit(Rabbit) (sp-0023) instructionsand DAB staining.
Paraformaldehyde-fixed, paraffin embedded (mouse kidney); Antigen retrieval by boiling in sodium citrate buffer (pH6.0) for 15min; Block endogenous peroxidase by 3% hydrogen peroxide for 20 minutes; Blocking buffer (normal goat serum) at 37°C for 30min; Antibody incubation with (Histone H3.1) Polyclonal Antibody, Unconjugated (bs-17422R) at 1:200 overnight at 4°C, followed by operating according to SP Kit(Rabbit) (sp-0023) instructionsand DAB staining.
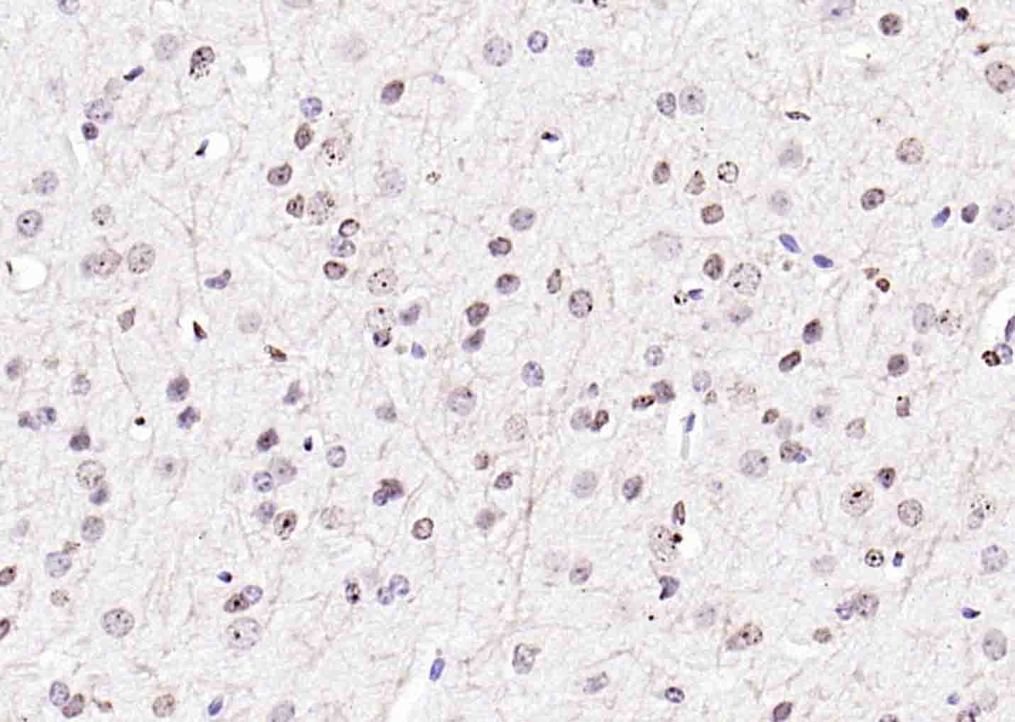
Paraformaldehyde-fixed, paraffin embedded (mouse brain); Antigen retrieval by boiling in sodium citrate buffer (pH6.0) for 15min; Block endogenous peroxidase by 3% hydrogen peroxide for 20 minutes; Blocking buffer (normal goat serum) at 37°C for 30min; Antibody incubation with (Histone H3.1) Polyclonal Antibody, Unconjugated (bs-17422R) at 1:200 overnight at 4°C, followed by operating according to SP Kit(Rabbit) (sp-0023) instructionsand DAB staining.
Paraformaldehyde-fixed, paraffin embedded (mouse liver); Antigen retrieval by boiling in sodium citrate buffer (pH6.0) for 15min; Block endogenous peroxidase by 3% hydrogen peroxide for 20 minutes; Blocking buffer (normal goat serum) at 37°C for 30min; Antibody incubation with (Histone H3.1) Polyclonal Antibody, Unconjugated (bs-17422R) at 1:200 overnight at 4°C, followed by operating according to SP Kit(Rabbit) (sp-0023) instructionsand DAB staining.
Paraformaldehyde-fixed, paraffin embedded (human laryngeal carcinoma); Antigen retrieval by boiling in sodium citrate buffer (pH6.0) for 15min; Block endogenous peroxidase by 3% hydrogen peroxide for 20 minutes; Blocking buffer (normal goat serum) at 37°C for 30min; Antibody incubation with (Histone H3.1) Polyclonal Antibody, Unconjugated (bs-17422R) at 1:200 overnight at 4°C, followed by operating according to SP Kit(Rabbit) (sp-0023) instructionsand DAB staining.
Paraformaldehyde-fixed, paraffin embedded (rat brain); Antigen retrieval by boiling in sodium citrate buffer (pH6.0) for 15min; Block endogenous peroxidase by 3% hydrogen peroxide for 20 minutes; Blocking buffer (normal goat serum) at 37°C for 30min; Antibody incubation with (Histone H3.1) Polyclonal Antibody, Unconjugated (bs-17422R) at 1:200 overnight at 4°C, followed by operating according to SP Kit(Rabbit) (sp-0023) instructionsand DAB staining.
Paraformaldehyde-fixed, paraffin embedded (rat colon); Antigen retrieval by boiling in sodium citrate buffer (pH6.0) for 15min; Block endogenous peroxidase by 3% hydrogen peroxide for 20 minutes; Blocking buffer (normal goat serum) at 37°C for 30min; Antibody incubation with (Histone H3.1) Polyclonal Antibody, Unconjugated (bs-17422R) at 1:200 overnight at 4°C, followed by operating according to SP Kit(Rabbit) (sp-0023) instructionsand DAB staining.
Paraformaldehyde-fixed, paraffin embedded (rat testis); Antigen retrieval by boiling in sodium citrate buffer (pH6.0) for 15min; Block endogenous peroxidase by 3% hydrogen peroxide for 20 minutes; Blocking buffer (normal goat serum) at 37°C for 30min; Antibody incubation with (Histone H3.1) Polyclonal Antibody, Unconjugated (bs-17422R) at 1:200 overnight at 4°C, followed by operating according to SP Kit(Rabbit) (sp-0023) instructionsand DAB staining.
Paraformaldehyde-fixed, paraffin embedded (human colon carcinoma); Antigen retrieval by boiling in sodium citrate buffer (pH6.0) for 15min; Block endogenous peroxidase by 3% hydrogen peroxide for 20 minutes; Blocking buffer (normal goat serum) at 37°C for 30min; Antibody incubation with (Histone H3.1) Polyclonal Antibody, Unconjugated (bs-17422R) at 1:200 overnight at 4°C, followed by operating according to SP Kit(Rabbit) (sp-0023) instructionsand DAB staining.
Paraformaldehyde-fixed, paraffin embedded (rat kidney); Antigen retrieval by boiling in sodium citrate buffer (pH6.0) for 15min; Block endogenous peroxidase by 3% hydrogen peroxide for 20 minutes; Blocking buffer (normal goat serum) at 37°C for 30min; Antibody incubation with (Histone H3.1) Polyclonal Antibody, Unconjugated (bs-17422R) at 1:200 overnight at 4°C, followed by operating according to SP Kit(Rabbit) (sp-0023) instructionsand DAB staining.
版权所有 2004-2026 www.bioss.com.cn 北京博奥森生物技术有限公司
通过国际质量管理体系ISO 9001:2015 GB/T 19001-2016    证书编号: 00124Q34771R2M/1100
通过国际医疗器械-质量管理体系ISO 13485:2016 GB/T 42061-2022     证书编号: CQC24QY20047R0M/1100
京ICP备05066980号-1         京公网安备110107000727号