扫码关注公众号           扫码咨询技术支持           扫码咨询技术服务
  
客服热线:400-901-9800  客服QQ:4009019800  技术答疑  技术支持  质量反馈  关于我们  联系我们
产品中心-北京博奥森生物技术有限公司
首页 > 产品中心 > 一抗 > 产品信息
SIPA1L1 Rabbit pAb (bs-17497R)  
订购热线:400-901-9800
订购邮箱:sales@bioss.com.cn
订购QQ:  400-901-9800
技术支持:techsupport@bioss.com.cn
50ul/1180.00元
100ul/1980.00元
200ul/2800.00元
大包装/询价

产品编号 bs-17497R
英文名称 SIPA1L1 Rabbit pAb
中文名称 信号诱导增殖相关蛋白1样蛋白1抗体
别    名 DKFZp686G1344; E6 targeted protein 1; E6TP1; H_DJ1140G11.1; High risk human papilloma viruses E6 oncoproteins targeted protein 1; KIAA0440; Signal induced proliferation associated 1 like 1; Signal induced proliferation associated 1 like protein 1; SIPA1 like protein 1; WUGSC:H_DJ1140G11.1.  
研究领域 肿瘤  细胞生物  发育生物学  信号转导  干细胞  细菌及病毒  G蛋白信号  
抗体来源 Rabbit
克隆类型 Polyclonal
克 隆 号
交叉反应 Mouse,Rat (predicted: Human,Pig,Sheep,Cow,Chicken,Dog,Horse)
产品应用 IHC-P=1:100-500,IHC-F=1:100-500,IF=1:100-500
not yet tested in other applications.
optimal dilutions/concentrations should be determined by the end user.
理论分子量 200 kDa
检测分子量
细胞定位 细胞膜 
性    状 Liquid
浓    度 1mg/ml
免 疫 原 KLH conjugated synthetic peptide derived from human SIPA1L1: 1451-1550/1804 
亚    型 IgG
纯化方法 affinity purified by Protein A
缓 冲 液 0.01M TBS (pH7.4) with 1% BSA, 0.02% Proclin300 and 50% Glycerol.
保存条件 Shipped at 4℃. Store at -20℃ for one year. Avoid repeated freeze/thaw cycles.
注意事项 This product as supplied is intended for research use only, not for use in human, therapeutic or diagnostic applications.
PubMed PubMed
产品介绍 SIPA1L1 (Signal-induced proliferation associated-like protein 1) is a member of the SIPA1 family of RapGAPs. SIPA1L1 was initially identified as a binding partner and degradation target of the E6 oncoprotein of high-risk papillomaviruses. Recently, it was discovered that Casein kinase I epsilon (CKIe), a Wnt-regulated kinase that regulates Wnt/b-catenin signaling, also can bind to the carboxy-terminus of SIPA1L1. CKIe phosphorylates SIPA1L1, thereby reducing its stability and alleviating its inhibition of Rap1, a protein required for Wnt8/CKIe-mediated gastrulation during embryogenesis, suggesting SIPA1L1 plays important roles in embryo development as well as control of cell proliferation.

Subcellular Location:
Intracellular

SWISS:
O43166

Gene ID:
26037

Database links:

Entrez Gene: 26037 Human

Entrez Gene: 217692 Mouse

Entrez Gene: 246212 Rat

SwissProt: O43166 Human

SwissProt: Q8C0T5 Mouse

SwissProt: O35412 Rat

Unigene: 654657 Human

Unigene: 261333 Mouse

Unigene: 10835 Rat



产品图片
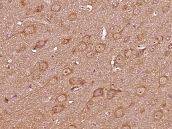
Paraformaldehyde-fixed, paraffin embedded (mouse brain tissue); Antigen retrieval by boiling in sodium citrate buffer (pH6.0) for 15min; Block endogenous peroxidase by 3% hydrogen peroxide for 20 minutes; Blocking buffer (normal goat serum) at 37°C for 30min; Antibody incubation with (SIPA1L1) Polyclonal Antibody, Unconjugated (bs-17497R) at 1:400 overnight at 4°C, followed by operating according to SP Kit(Rabbit) (sp-0023) instructionsand DAB staining.
Paraformaldehyde-fixed, paraffin embedded (rat brain tissue); Antigen retrieval by boiling in sodium citrate buffer (pH6.0) for 15min; Block endogenous peroxidase by 3% hydrogen peroxide for 20 minutes; Blocking buffer (normal goat serum) at 37°C for 30min; Antibody incubation with (SIPA1L1) Polyclonal Antibody, Unconjugated (bs-17497R) at 1:400 overnight at 4°C, followed by operating according to SP Kit(Rabbit) (sp-0023) instructionsand DAB staining.
版权所有 2004-2026 www.bioss.com.cn 北京博奥森生物技术有限公司
通过国际质量管理体系ISO 9001:2015 GB/T 19001-2016    证书编号: 00124Q34771R2M/1100
通过国际医疗器械-质量管理体系ISO 13485:2016 GB/T 42061-2022     证书编号: CQC24QY20047R0M/1100
京ICP备05066980号-1         京公网安备110107000727号