扫码关注公众号           扫码咨询技术支持           扫码咨询技术服务
  
客服热线:400-901-9800  客服QQ:4009019800  技术答疑  技术支持  质量反馈  关于我们  联系我们
产品中心-北京博奥森生物技术有限公司
首页 > 产品中心 > 一抗 > 产品信息
Collagen II Rabbit pAb (bs-10589R)  
订购热线:400-901-9800
订购邮箱:sales@bioss.com.cn
订购QQ:  400-901-9800
技术支持:techsupport@bioss.com.cn
50ul/1180.00元
100ul/1980.00元
200ul/2800.00元
大包装/询价

产品编号 bs-10589R
英文名称 Collagen II Rabbit pAb
中文名称 Ⅱ型胶原蛋白抗体
别    名 Collagen II alpha 1; COL2A1; COL2A1 protein; collagen, type II, alpha 1; collagen alpha-1(II); type II collagen; alpha-1 type II collagen; alpha1 type II collagen; Col2a1; AOM; Cartilage collagen; Chondrocalcin; COL11A3; Collagen alpha 1(II) chain precursor; Collagen II alpha 1 polypeptide; Collagen type II alpha 1(primary osteoarthritis spondyloepiphyseal dysplasia congenital); MGC131516; SEDC; CO2A1_HUMAN.  
Specific References  (29)     |     bs-10589R has been referenced in 29 publications.
[IF=10.383] Shengbo Sang. et al. 3D Bioprinting Using Synovium-Derived MSC-Laden Photo-Cross-Linked ECM Bioink for Cartilage Regeneration. ACS APPL MATER INTER. 2023;XXXX(XXX):XXX-XXX  IF ;  Rat.  
[IF=9.933] Qi Feng. et al. Dynamic nanocomposite microgel assembly with microporosity, injectability, tissue-adhesion and sustained drug release promotes articular cartilage repair and regeneration. 2021 Dec 07  IHC ;  Mouse.  
[IF=8.724] Yang Ling. et al. Three-dimensional (3D) hydrogel serves as a platform to identify potential markers of chondrocyte dedifferentiation by combining RNA sequencing. Bioact Mater. 2021 Sep;6:2914  IF ;  Pig.  
[IF=7.94] Maolin Zhang. et al. Rapid and efficient generation of cartilage pellets from mouse induced pluripotent stem cells by transcriptional activation of BMP-4 with shaking culture:. J TISSUE ENG. 2022;():  IHC ;  Rat.  
[IF=7.243] Mengtian Fan. et al. IRE1α regulates the PTHrP-IHH feedback loop to orchestrate chondrocyte hypertrophy and cartilage mineralization. GENES DIS. 2022 Dec;:  IHC ;  Mouse.  
[IF=6.543] Jin Xin. et al. Dietary Fatty Acid Regulation of the NLRP3 Inflammasome via the TLR4/NF-κB Signaling Pathway Affects Chondrocyte Pyroptosis. OXID MED CELL LONGEV. 2022;2022:3711371  WB ;  Mouse.  
[IF=6.064] Donglei Liu. et al. Effect of viscoelastic properties of cellulose nanocrystal/collagen hydrogels on chondrocyte behaviors. FRONT BIOENG BIOTECH. 2022; 10: 959409  IHC ;  Rat.  
[IF=5.195] Qun Lin. et al. Galangin ameliorates osteoarthritis progression by attenuating extracellular matrix degradation in chondrocytes via the activation of PRELP expression. EUR J PHARMACOL. 2022 Dec;936:175347  WB, IF, IHC ;  Rat, Human.  
[IF=5.191] Wenhui Hu. et al. Farnesoid X receptor agonist attenuates subchondral bone osteoclast fusion and osteochondral pathologies of osteoarthritis via suppressing JNK1/2/NFATc1 pathway. Faseb J. 2022 Apr;36(4):e22243  IHC ;  Mouse.  
[IF=5.116] Haoqing Yanget al. DLX5 and HOXC8 enhance the chondrogenic differentiation potential of stem cells from apical papilla via LINC01013. Stem Cell Res Ther . 2020 Jul 6;11(1):271.  IHC ;  rabbit.  
[IF=5.039] Luo P et al. IL‐37b alleviates inflammation in the temporomandibular joint cartilage via IL‐1R8 pathway. Cell Prolif. 2019 Sep 27:e12692.  IHC-P ;  Rat.  
[IF=5.026] Ting-ting Yu. et al. Deletion at an 1q24 locus reveals a critical role of long noncoding RNA DNM3OS in skeletal development. Cell Biosci. 2021 Dec;11(1):1-15  IF ;  Mouse.  
[IF=4.717] Liu C et al. Kartogenin enhances the therapeutic effect of bone marrow mesenchymal stem cells derived exosomes in cartilage repair. Nanomedicine (Lond). 2019 Dec 2.  IHC-P ;  Rat.  
[IF=4.657] Shen, Yue. et al. Hederagenin Suppresses Inflammation and Cartilage Degradation to Ameliorate the Progression of Osteoarthritis: An In vivo and In vitro Study. INFLAMMATION. 2022 Nov;:1-24  WB ;  Human.  
[IF=4.545] Kai Zhao. et al. Rhizoma drynariae total flavonoids inhibit the inflammatory response and matrix degeneration via MAPK pathway in a rat degenerative cervical intervertebral disc model. Biomed Pharmacother. 2021 Jun;138:111466  IF ;  Rat.  
[IF=4.263] Wu X et al.The role of Ca 2+ in acid-sensing ion channel 1a-mediated chondrocyte pyroptosis in rat adjuvant arthritis.(2018) Lab Invest.  WB ;  Rat.  
[IF=3.76] Shi, Yang, et al. "Hypoxia combined with spheroid culture improves cartilage specific function in chondrocytes." Integrative Biology 7.3 (2015): 289-297.  Rat.  
[IF=3.383] Guangduo Zhu et al. Exosomal miR-532–5p from bone marrow mesenchymal stem cells reduce intervertebral disc degeneration by targeting RASSF5. Exp Cell Res. 2020 Aug 15;393(2):112109.  WB ;  Rat.  
[IF=2.985] He D et al. Propionibacterium acnes induces intervertebral disc degeneration by promoting nucleus pulposus cell pyroptosis via NLRP3-dependent pathway. Biochem Biophys Res Commun . 2020 Jun 4;526(3):772-779.  IHC ;  rabbit.  
[IF=2.784] Ma C et al.Isolation and biological characteristic evaluation of a novel type of cartilage stem/progenitor cell derived from Small‑tailed Han sheep embryos.Int J Mol Med. 2018 Jul;42(1):525-533.  ICF ;  Sheep.  
[IF=2.677] Zhu Yingchun. et al. MiR-760 targets HBEGF to control cartilage extracellular matrix degradation in osteoarthritis. J ORTHOP SURG RES. 2023 Dec;18(1):1-14  IHC ;  Mouse.  
[IF=2.348] Ren et al. Treatment of rabbit intervertebral disc degeneration with co-transfection by adeno-associated virus-mediated SOX9 and osteogenic protein-1 double genes in vivo. (2013) Int.J.Mol.Me. 32:1063-8  WB ;  Rabbit.  
[IF=2.279] Bo Yao. et al. The Effect of Gut Microbiota on the Progression of Intervertebral Disc Degeneration. ORTHOP SURG. 2023 Jan;:  IHC ;  Rat.  
[IF=1.98] Luo Wenbin. et al. Printability Optimization of Gelatin-Alginate Bioinks by Cellulose Nanofiber Modification for Potential Meniscus Bioprinting. J Nanomater. 2020;2020:3863428  IHC ;  Bovine.  
[IF=1.879] Guangdi Li. et al. The relationship between abnormal Core binding factor-β expression in human cartilage and osteoarthritis. Bmc Musculoskel Dis. 2021 Dec;22(1):1-13  IHC ;  Human.  
[IF=1.785] Chao Ye. et al. Naringin and bone marrow mesenchymal stem cells repair articular cartilage defects in rabbit knees through the transforming growth factor‑β superfamily signaling pathway. Exp Ther Med. 2020 Nov;20(5):1-1  IHC ;  Rabbit.  
[IF=0.971] Yang et al. Isolation and biological characterization of tendon-derived stem cells from fetal bovine. (2016) In.Vitro.Cell.Dev.Biol.Ani. 52:846-56  IF(ICC) ;  Rat.  
[IF=0] Ren Y et al. A collagen mimetic peptide-modified hyaluronic acid hydrogel system with enzymatically mediated degradation for mesenchymal stem cell differentiation. Materials Science and Engineering: C,2019, 110276.  ICC ;  Rabbit.  
[IF=0] Xu et al. Treatment with SiMiaoFang, an anti-arthritis chinese herbal formula, inhibits cartilage matrix degradation in osteoarthritis rat model. (2013) Rejuvenation.Re. 16:364-76  IHC-P ;  Rat.  
研究领域 肿瘤  细胞生物  免疫学  
抗体来源 Rabbit
克隆类型 Polyclonal
克 隆 号
交叉反应 Human,Mouse (predicted: Rabbit,Pig,Cow,Chicken,Dog,Horse)
产品应用 WB=1:500-2000,IHC-P=1:100-500,IHC-F=1:100-500,IF=1:100-500
not yet tested in other applications.
optimal dilutions/concentrations should be determined by the end user.
理论分子量 117 kDa
检测分子量
细胞定位 细胞外基质 分泌型蛋白 
性    状 Liquid
浓    度 1mg/ml
免 疫 原 KLH conjugated synthetic peptide derived from human Collagen II: 231-330/1487 
亚    型 IgG
纯化方法 affinity purified by Protein A
缓 冲 液 0.01M TBS (pH7.4) with 1% BSA, 0.02% Proclin300 and 50% Glycerol.
保存条件 Shipped at 4℃. Store at -20℃ for one year. Avoid repeated freeze/thaw cycles.
注意事项 This product as supplied is intended for research use only, not for use in human, therapeutic or diagnostic applications.
PubMed PubMed
产品介绍 Collagens are highly conserved throughout evolution and are characterized by an uninterrupted "Glycine-X-Y" triplet repeat that is a necessary part of the triple helical structure. For these reasons it is often extremely difficult to generate antibodies with specificities to collagens. The development of type specific antibodies is dependent on NON DENATURED three dimensional epitopes. This may result in diminished reactivity of some antibodies with denatured collagen or formalin fixed, paraffin embedded tissues. Type II collagen is a fibrillar collagen found in cartilage and the vitreous humor of the eye. Collagen type II is essential for the normal embryonic development of the skeleton, for linear growth and for the ability of cartilage to resist compressive forces. Mutations in this gene are associated with achondrogenesis, chondrodysplasia, early onset familial osteoarthritis, SED congenita, Langer Saldino achondrogenesis, Kniest dysplasia, Stickler syndrome type I, and spondyloepimetaphyseal dysplasia Strudwick type. In addition, defects in processing chondrocalcin, a calcium binding protein that is the C propeptide of this collagen molecule, are also associated with chondrodysplasia. There are two transcripts identified for this gene.

Function:
Type II collagen is specific for cartilaginous tissues. It is essential for the normal embryonic development of the skeleton, for linear growth and for the ability of cartilage to resist compressive forces.

Subunit:
Homotrimers of alpha 1(II) chains.

Subcellular Location:
Secreted, extracellular space, extracellular matrix.

Tissue Specificity:
Isoform 2 is highly expressed in juvenile chondrocyte and low in fetal chondrocyte.

Post-translational modifications:
Probably 3-hydroxylated on prolines by LEPREL1 (By similarity). Proline residues at the third position of the tripeptide repeating unit (G-X-P) are hydroxylated in some or all of the chains. Proline residues at the second position of the tripeptide repeating unit (G-P-X) are hydroxylated in some of the chains.
The N-telopeptide is covalently linked to the helical COL2 region of alpha 1(IX), alpha 2(IX) and alpha 3(IX) chain. The C-telopeptide is covalently linked to an another site in the helical region of alpha 3(IX) COL2.

DISEASE:
Defects in COL2A1 are the cause of spondyloepiphyseal dysplasia congenital type (SEDC) [MIM:183900]. This disorder is characterized by disproportionate short stature and pleiotropic involvement of the skeletal and ocular systems.
Defects in COL2A1 are the cause of spondyloepimetaphyseal dysplasia Strudwick type (SEMD-STR) [MIM:184250]. A bone disease characterized by disproportionate short stature from birth, with a very short trunk and shortened limbs, and skeletal abnormalities including lordosis, scoliosis, flattened vertebrae, pectus carinatum, coxa vara, clubfoot, and abnormal epiphyses or metaphyses. A distinctive radiographic feature is irregular sclerotic changes, described as dappled in the metaphyses of the long bones.
Defects in COL2A1 are the cause of achondrogenesis type 2 (ACG2) [MIM:200610]; also known as achondrogenesis-hypochondrogenesis type II. ACG2 is a disease characterized by the absence of ossification in the vertebral column, sacrum and pubic bones.
Defects in COL2A1 are the cause of Legg-Calve-Perthes disease (LCPD) [MIM:150600]; also known as Legg-Perthes disease or Perthes disease. LCPD is characterized by loss of circulation to the femoral head, resulting in avascular necrosis in a growing child. Clinical pictures of the disease vary, depending on the phase of disease progression through ischemia, revascularization, fracture and collapse, and repair and remodeling of the bone.
Defects in COL2A1 are the cause of Kniest dysplasia (KD) [MIM:156550]; also known as Kniest syndrome or metatropic dwarfism type II. KD is a moderately severe chondrodysplasia phenotype that results from mutations in the COL2A1 gene. Characteristics of the disorder include a short trunk and extremities, mid-face hypoplasia, cleft palate, myopia, retinal detachment, and hearing loss.
Defects in COL2A1 are a cause of primary avascular necrosis of femoral head (ANFH) [MIM:608805]; also known as ischemic necrosis of the femoral head or osteonecrosis of the femoral head. ANFH causes disability that often requires surgical intervention. Most cases are sporadic, but families in which there is an autosomal dominant inheritance of the disease have been identified. It has been estimated that 300,000 to 600,000 people in the United States have ANFH. Approximately 15,000 new cases of this common and disabling disorder are reported annually. The age at the onset is earlier than that for osteoarthritis. The diagnosis is typically made when patients are between the ages of 30 and 60 years. The clinical manifestations, such as pain on exertion, a limping gait, and a discrepancy in leg length, cause considerable disability. Moreover, nearly 10 percent of the 500,000 total-hip arthroplasties performed each year in the United States involve patients with ANFH. As a result, this disease creates a substantial socioeconomic cost as well as a burden for patients and their families.
Defects in COL2A1 are the cause of osteoarthritis with mild chondrodysplasia (OACD) [MIM:604864]. Osteoarthritis is a common disease that produces joint pain and stiffness together with radiologic evidence of progressive degeneration of joint cartilage. Some forms of osteoarthritis are secondary to events such as trauma, infections, metabolic disorders, or congenital or heritable conditions that deform the epiphyses or related structures. In most patients, however, there is no readily identifiable cause of osteoarthritis. Inheritance in a Mendelian dominant manner has been demonstrated in some families with primary generalized osteoarthritis. Reports demonstrate coinheritance of primary generalized osteoarthritis with specific alleles of the gene COL2A1, the precursor of the major protein of cartilage.
Defects in COL2A1 are the cause of platyspondylic lethal skeletal dysplasia Torrance type (PLSD-T) [MIM:151210]. Platyspondylic lethal skeletal dysplasias (PLSDs) are a heterogeneous group of chondrodysplasias characterized by severe platyspondyly and limb shortening. PLSD-T is characterized by varying platyspondyly, short ribs with anterior cupping, hypoplasia of the lower ilia with broad ischial and pubic bones, and shortening of the tubular bones with splayed and cupped metaphyses. Histology of the growth plate typically shows focal hypercellularity with slightly enlarged chondrocytes in the resting cartilage and relatively well-preserved columnar formation and ossification at the chondro-osseous junction. PLSD-T is generally a perinatally lethal disease, but a few long-term survivors have been reported.
Defects in COL2A1 are the cause of multiple epiphyseal dysplasia with myopia and conductive deafness (EDMMD) [MIM:132450]. Multiple epiphyseal dysplasia is a generalized skeletal dysplasia associated with significant morbidity. Joint pain, joint deformity, waddling gait, and short stature are the main clinical signs and symptoms. EDMMD is an autosomal dominant disorder characterized by epiphyseal dysplasia associated with progressive myopia, retinal thinning, crenated cataracts, conductive deafness.
Defects in COL2A1 are the cause of spondyloperipheral dysplasia (SPD) [MIM:271700]. SPD patients manifest short stature, midface hypoplasia, sensorineural hearing loss, spondyloepiphyseal dysplasia, platyspondyly and brachydactyly.

Similarity:
Belongs to the fibrillar collagen family.
Contains 1 fibrillar collagen NC1 domain.
Contains 1 VWFC domain.

SWISS:
P02458

Gene ID:
1280

Database links:

Entrez Gene: 1280 Human

Entrez Gene: 12824 Mouse

Entrez Gene: 25412 Rat

Omim: 120140 Human

SwissProt: P02458 Human

SwissProt: P28481 Mouse

SwissProt: P05539 Rat

Unigene: 408182 Human

Unigene: 2423 Mouse

Unigene: 10124 Rat



产品图片
Sample: bone(Mouse) Lysate at 40 ug Primary: Anti-Collagen II(bs-10589R) at 1/300 dilution Secondary: IRDye800CW Goat Anti-Rabbit IgG at 1/20000 dilution Predicted band size: 117 kD Observed band size: 134 kD
Sample: 293T(Human) Cell Lysate at 30 ug A549 (Human) Cell Lysate at 30 ug LOVO (Human) Cell Lysate at 40 ug MCF-7 (Human) Cell Lysate at 30 ug HepG2 (Human) Cell Lysate at 30 ug Primary: Anti-Collagen II (bs-10589R) at 1/300 dilution Secondary: IRDye800CW Goat Anti-Rabbit IgG at 1/20000 dilution Predicted band size: 117 kD Observed band size: 117 kD
Sample: MG63 (Human) Cell Lysate at 30 ug Primary: Anti-Collagen II (bs-10589R) at 1/300 dilution Secondary: IRDye800CW Goat Anti-Rabbit IgG at 1/20000 dilution Predicted band size: 117 kD Observed band size: 117 kD
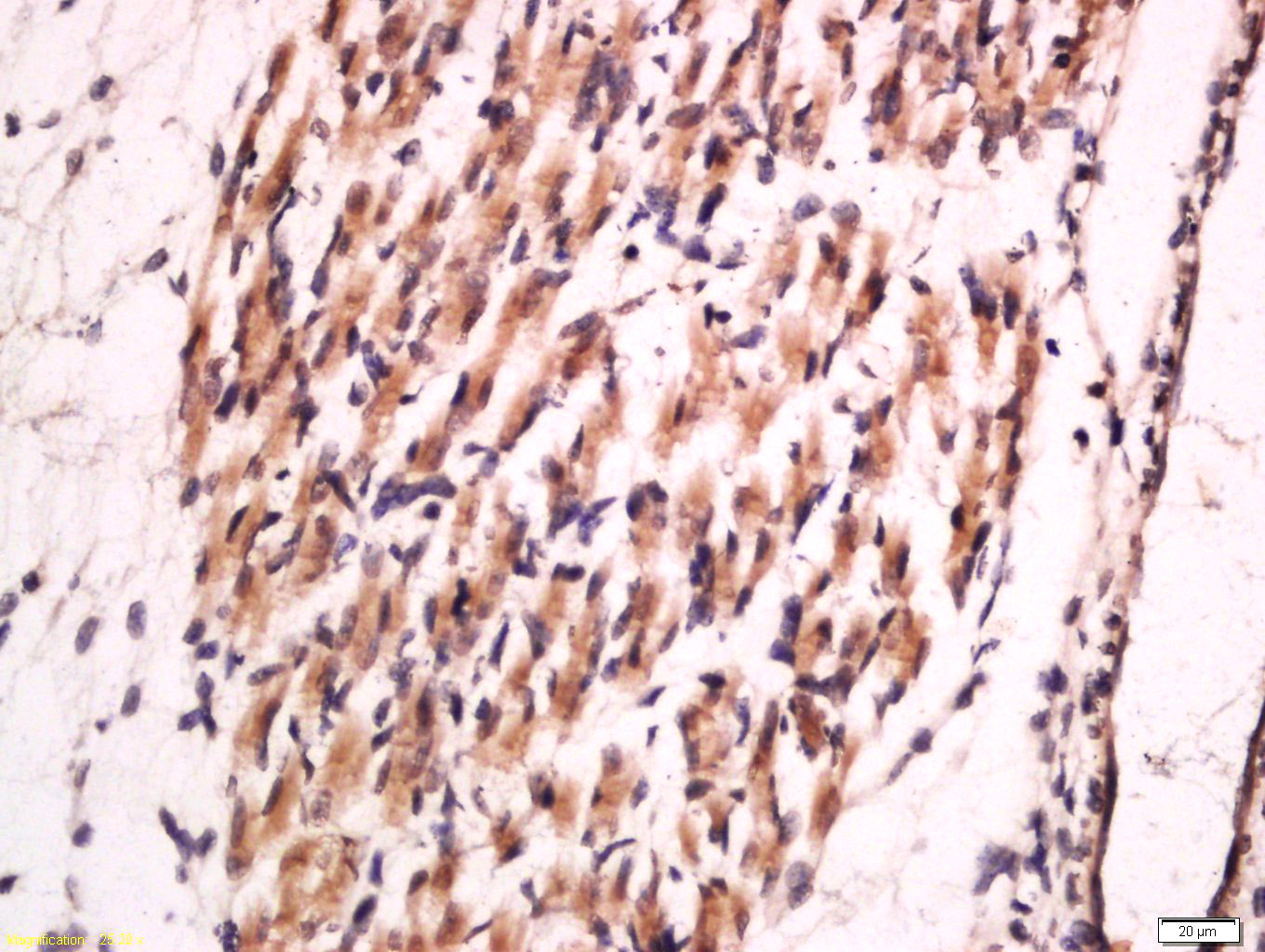
Tissue/cell: Mouse embryo tissue; 4% Paraformaldehyde-fixed and paraffin-embedded; Antigen retrieval: citrate buffer ( 0.01M, pH 6.0 ), Boiling bathing for 15min; Block endogenous peroxidase by 3% Hydrogen peroxide for 30min; Blocking buffer (normal goat serum,C-0005) at 37∩ for 20 min; Incubation: Anti-Collagen II Polyclonal Antibody, Unconjugated(bs-10589R) 1:100, overnight at 4∑C, followed by conjugation to the secondary antibody(SP-0023) and DAB(C-0010) staining
Paraformaldehyde-fixed, paraffin embedded (mouse ear); Antigen retrieval by boiling in sodium citrate buffer (pH6.0) for 15min; Block endogenous peroxidase by 3% hydrogen peroxide for 20 minutes; Blocking buffer (normal goat serum) at 37°C for 30min; Antibody incubation with (Collagen II) Polyclonal Antibody, Unconjugated (bs-10589R) at 1:400 overnight at 4°C, followed by a conjugated secondary (sp-0023) for 20 minutes and DAB staining.
版权所有 2004-2026 www.bioss.com.cn 北京博奥森生物技术有限公司
通过国际质量管理体系ISO 9001:2015 GB/T 19001-2016    证书编号: 00124Q34771R2M/1100
通过国际医疗器械-质量管理体系ISO 13485:2016 GB/T 42061-2022     证书编号: CQC24QY20047R0M/1100
京ICP备05066980号-1         京公网安备110107000727号