扫码关注公众号           扫码咨询技术支持           扫码咨询技术服务
  
客服热线:400-901-9800  客服QQ:4009019800  技术答疑  技术支持  质量反馈  关于我们  联系我们
产品中心-北京博奥森生物技术有限公司
首页 > 产品中心 > 一抗 > 产品信息
OSBPL11 Rabbit pAb (bs-17516R)  
订购热线:400-901-9800
订购邮箱:sales@bioss.com.cn
订购QQ:  400-901-9800
技术支持:techsupport@bioss.com.cn
50ul/1180.00元
100ul/1980.00元
200ul/2800.00元
大包装/询价

产品编号 bs-17516R
英文名称 OSBPL11 Rabbit pAb
中文名称 氧固醇结合蛋白样11抗体
别    名 FLJ13012; FLJ13164; ORP 11; ORP-11; ORP11; OSB11_HUMAN; OSBP related protein 11; OSBP-related protein 11; OSBP12; OSBPL11; OTTHUMP00000215865; Oxysterol binding protein like 11; Oxysterol binding protein related protein 11; Oxysterol-binding protein-related protein 11; TCCCIA00292.  
研究领域 肿瘤  细胞生物  发育生物学  新陈代谢  
抗体来源 Rabbit
克隆类型 Polyclonal
克 隆 号
交叉反应 Mouse,Rat (predicted: Human,Rabbit,Pig,Sheep,Cow,Zebrafish,Dog,Horse)
产品应用 IHC-P=1:100-500,IHC-F=1:100-500,IF=1:100-500
not yet tested in other applications.
optimal dilutions/concentrations should be determined by the end user.
理论分子量 84 kDa
检测分子量
细胞定位 细胞浆 
性    状 Liquid
浓    度 1mg/ml
免 疫 原 KLH conjugated synthetic peptide derived from human OSBPL11: 41-140/747 
亚    型 IgG
纯化方法 affinity purified by Protein A
缓 冲 液 0.01M TBS (pH7.4) with 1% BSA, 0.02% Proclin300 and 50% Glycerol.
保存条件 Shipped at 4℃. Store at -20℃ for one year. Avoid repeated freeze/thaw cycles.
注意事项 This product as supplied is intended for research use only, not for use in human, therapeutic or diagnostic applications.
PubMed PubMed
产品介绍 This gene encodes a member of the oxysterol-binding protein (OSBP) family, a group of intracellular lipid receptors. Like most members, the encoded protein contains an N-terminal pleckstrin homology domain and a highly conserved C-terminal OSBP-like sterol-binding domain. [provided by RefSeq, Jul 2008]

Tissue Specificity:
Widely expressed.

Similarity:
Belongs to the OSBP family.
Contains 1 PH domain.

SWISS:
Q9BXB4

Gene ID:
114885

Database links:

Entrez Gene: 478596 Dog

Entrez Gene: 114885 Human

Entrez Gene: 303888 Rat

Omim: 606739 Human

SwissProt: Q9BXB4 Human

Unigene: 477440 Human

Unigene: 8413 Rat



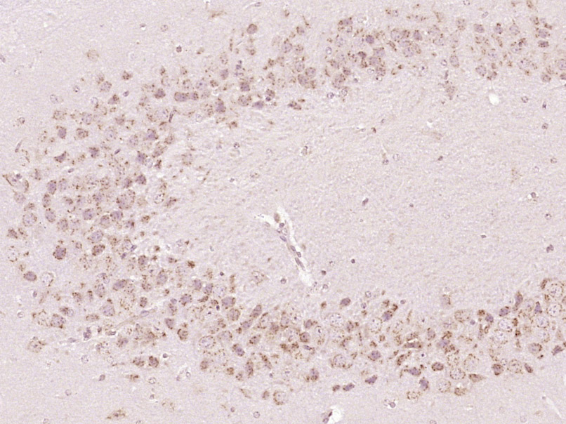
产品图片
Paraformaldehyde-fixed, paraffin embedded (Rat brain); Antigen retrieval by boiling in sodium citrate buffer (pH6.0) for 15min; Block endogenous peroxidase by 3% hydrogen peroxide for 20 minutes; Blocking buffer (normal goat serum) at 37°C for 30min; Antibody incubation with (OSBPL11) Polyclonal Antibody, Unconjugated (bs-17516R) at 1:400 overnight at 4°C, followed by operating according to SP Kit(Rabbit) (sp-0023) instructionsand DAB staining.
Paraformaldehyde-fixed, paraffin embedded (Mouse brain); Antigen retrieval by boiling in sodium citrate buffer (pH6.0) for 15min; Block endogenous peroxidase by 3% hydrogen peroxide for 20 minutes; Blocking buffer (normal goat serum) at 37°C for 30min; Antibody incubation with (OSBPL11) Polyclonal Antibody, Unconjugated (bs-17516R) at 1:400 overnight at 4°C, followed by operating according to SP Kit(Rabbit) (sp-0023) instructionsand DAB staining.
版权所有 2004-2026 www.bioss.com.cn 北京博奥森生物技术有限公司
通过国际质量管理体系ISO 9001:2015 GB/T 19001-2016    证书编号: 00124Q34771R2M/1100
通过国际医疗器械-质量管理体系ISO 13485:2016 GB/T 42061-2022     证书编号: CQC24QY20047R0M/1100
京ICP备05066980号-1         京公网安备110107000727号