扫码关注公众号           扫码咨询技术支持           扫码咨询技术服务
  
客服热线:400-901-9800  客服QQ:4009019800  技术答疑  技术支持  质量反馈  关于我们  联系我们
产品中心-北京博奥森生物技术有限公司
首页 > 产品中心 > 一抗 > 产品信息
phospho-JNK1 (Thr183) Rabbit pAb (bs-17591R)  
订购热线:400-901-9800
订购邮箱:sales@bioss.com.cn
订购QQ:  400-901-9800
技术支持:techsupport@bioss.com.cn
50ul/1180.00元
100ul/1980.00元
200ul/2800.00元
大包装/询价

产品编号 bs-17591R
英文名称 phospho-JNK1 (Thr183) Rabbit pAb
中文名称 磷酸化氨基末端激酶1抗体
别    名 JNK1(phospho T183); p-JNK1(phospho T183); AI849689; c Jun N terminal kinase 1; C-JUN kinase 1; c-Jun N-terminal kinase 1; EC 2.7.11.24; JNK 1; JNK; JNK-46; JNK1A2; JNK21B1/2; MAP kinase 8; MAPK 8; mapk8; Mitogen activated protein kinase 8; Mitogen-activated protein kinase 8; MK08_HUMAN; p54 gamma; Prkm8; Protein kinase JNK1; Protein kinase, mitogen-activated, 8; SAPK 1; SAPK gamma; SAPK1; Stress-activated protein kinase 1; Stress-activated protein kinase JNK1.  
Specific References  (16)     |     bs-17591R has been referenced in 16 publications.
[IF=9.473] Shuting Wei. et al. Particle matters induce airway epithelial barrier dysfunction in vivo and in vitro: from a more realistic inhalation scenario. ENVIRON SCI-NANO. 2022 Jun;:  WB ;  Human.  
[IF=7.963] Meiqiong Wu. et al. Suppression of NADPH oxidase 4 inhibits PM2.5-induced cardiac fibrosis through ROS-P38 MAPK pathway. SCI TOTAL ENVIRON. 2022 Apr;:155558  WB ;  Mouse,Rat.  
[IF=5.293] Liu Jiawei. et al. Lactobacillus rhamnosus GR-1 Alleviates Escherichia coli-Induced Inflammation via NF-κB and MAPKs Signaling in Bovine Endometrial Epithelial Cells. Front Cell Infect Mi. 2022 Mar;0:199  WB ;  Cattle.  
[IF=4.996] Cong Changsheng. et al. Renin-angiotensin system inhibitors mitigate radiation pneumonitis by activating ACE2-angiotensin-(1–7) axis via NF-κB/MAPK pathway. SCI REP-UK. 2023 May;13(1):1-11  WB ;  Mouse.  
[IF=4.478] Dan-Ping Xie. et al. Peroxiredoxin 5 protects HepG2 cells from ethyl β-carboline-3-carboxylate-induced cell death via ROS-dependent MAPK signalling pathways. J CANCER. 2022 Sep 6;13(11):3258-3267  WB ;  Human.  
[IF=4.064] Ming Ni. et al. Sox11 Modified Tendon-Derived Stem Cells Promote the Repair of Osteonecrosis of Femoral Head:. Cell Transplant. 2021;():  WB ;  Rabbit.  
[IF=4.014] M. Zhang. et al. Osteocalcin reduces fat accumulation and inflammatory reaction by inhibiting ROS-JNK signal pathway in chicken embryonic hepatocytes. POULTRY SCIENCE. 2022 Jun;:102026  WB ;  
[IF=3.829] Gao, Pei. et al. S1PR1 regulates NDV-induced IL-1β expression via NLRP3/caspase-1 inflammasome. VET RES. 2022 Dec;53(1):1-13  WB ;  Chicken.  
[IF=3.352] Yusong Miao. et al. Methylsulfonylmethane ameliorates inflammation via NF-κB and ERK/JNK-MAPK signaling pathway in chicken trachea and HD11 cells during Mycoplasma gallisepticum infection. Poultry Sci. 2022 Jan;:101706  WB ;  Chicken.  
[IF=3.166] Chang L et al. Melamine causes testicular toxicity by destroying blood-testis barrier in piglets.Toxicol Lett. 2018 Oct 15;296:114-124.  WB ;  Piglet.  
[IF=2.741] Zhang, Di. et al. Salvia miltiorrhiza polysaccharides ameliorates Staphylococcus aureus-induced mastitis in rats by inhibiting activation of the NF-κB and MAPK signaling pathways. BMC VET RES. 2022 Dec;18(1):1-11  WB ;  Rat.  
[IF=2.094] Jing Li. et al. Melatonin ameliorates cypermethrin-induced impairments by regulating oxidative stress, DNA damage and apoptosis in porcine Sertoli cells. Theriogenology. 2021 Mar;:  WB ;  Pig.  
[IF=2.027] Li QH et al. Effect of heat stress on mitogen-activated protein kinases in the hypothalamic− pituitary− gonadal axis of developing Wenchang chicks. Poultry Science.2019.  IHC-P&WB ;  chick.  
[IF=1.723] Wang X et al. Wilms' tumour 1 (WT1) negatively regulates the expression of connexin 43 via a non-canonical Wnt signalling pathway in cultured bovine Sertoli cells. Reprod Fertil Dev. 2020 Feb 6.  WB ;  Bovine.  
[IF=1.713] Jian Wang. et al. Lactobacillus salivarius ameliorated Mycoplasma gallisepticum-induced inflammatory injury and secondary Escherichia coli infection in chickens: Involvement of intestinal microbiota. Vet Immunol Immunop. 2021 Mar;233:110192  WB ;  Chicken.  
[IF=1.713] Jian Wang. et al. A respiratory commensal bacterium acts as a risk factor for Mycoplasma gallisepticum infection in chickens. Vet Immunol Immunop. 2020 Dec;230:110127  WB ;  Chicken.  
产品类型 磷酸化抗体 
研究领域 肿瘤  细胞生物  信号转导  激酶和磷酸酶  
抗体来源 Rabbit
克隆类型 Polyclonal
克 隆 号
交叉反应 Human,Rat (predicted: Mouse,Pig,Cow,Dog)
产品应用 WB=1:500-2000,IHC-P=1:100-500,IHC-F=1:100-500,IF=1:100-500
not yet tested in other applications.
optimal dilutions/concentrations should be determined by the end user.
理论分子量 50 kDa
检测分子量
细胞定位 细胞核 细胞浆 
性    状 Liquid
浓    度 1mg/ml
免 疫 原 KLH conjugated synthesised phosphopeptide derived from human JNK1 around the phosphorylation site of Thr183: MM(p-T)PY 
亚    型 IgG
纯化方法 affinity purified by Protein A
缓 冲 液 0.01M TBS (pH7.4) with 1% BSA, 0.02% Proclin300 and 50% Glycerol.
保存条件 Shipped at 4℃. Store at -20℃ for one year. Avoid repeated freeze/thaw cycles.
注意事项 This product as supplied is intended for research use only, not for use in human, therapeutic or diagnostic applications.
PubMed PubMed
产品介绍 The protein encoded by this gene is a member of the MAP kinase family. MAP kinases act as an integration point for multiple biochemical signals, and are involved in a wide variety of cellular processes such as proliferation, differentiation, transcription regulation and development. This kinase is activated by various cell stimuli, and targets specific transcription factors, and thus mediates immediate-early gene expression in response to cell stimuli. The activation of this kinase by tumor-necrosis factor alpha (TNF-alpha) is found to be required for TNF-alpha induced apoptosis. This kinase is also involved in UV radiation induced apoptosis, which is thought to be related to cytochrom c-mediated cell death pathway. Studies of the mouse counterpart of this gene suggested that this kinase play a key role in T cell proliferation, apoptosis and differentiation. Five alternatively spliced transcript variants encoding distinct isoforms have been reported. [provided by RefSeq, Jun 2013]

Function:
Responds to activation by environmental stress and pro-inflammatory cytokines by phosphorylating a number of transcription factors, primarily components of AP-1 such as JUN, JDP2 and ATF2 and thus regulates AP-1 transcriptional activity. In T-cells, JNK1 and JNK2 are required for polarized differentiation of T-helper cells into Th1 cells (By similarity). Phosphorylates heat shock factor protein 4 (HSF4). JNK1 isoforms display different binding patterns: beta-1 preferentially binds to c-Jun, whereas alpha-1, alpha-2, and beta-2 have a similar low level of binding to both c-Jun or ATF2. However, there is no correlation between binding and phosphorylation, which is achieved at about the same efficiency by all isoforms.

Post-translational modifications:
Dually phosphorylated on Thr-183 and Tyr-185, which activates the enzyme.

Similarity:
Belongs to the protein kinase superfamily.
CMGC Ser/Thr protein kinase family.
MAP kinase subfamily.
Contains 1 protein kinase domain.

SWISS:
P45983

Gene ID:
5599

Database links:

Entrez Gene: 5599 Human

Entrez Gene: 26419 Mouse

Entrez Gene: 116554 Rat

Omim: 601158 Human

SwissProt: P45983 Human

SwissProt: Q91Y86 Mouse

SwissProt: P49185 Rat

Unigene: 138211 Human

Unigene: 21495 Mouse

Unigene: 4090 Rat



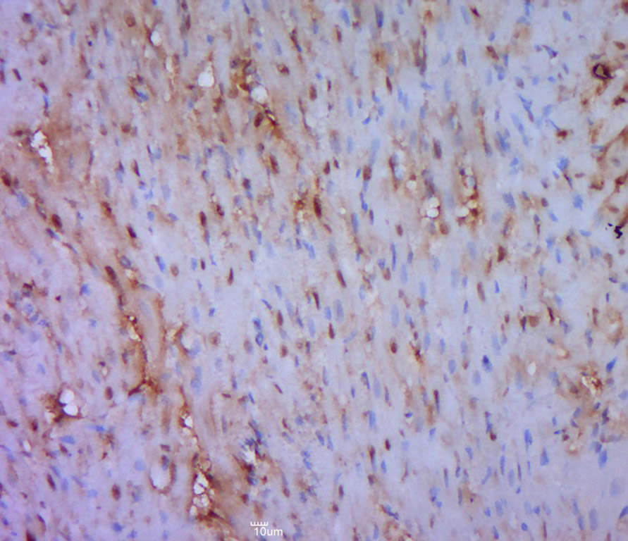
产品图片
Sample: Hela-UV(Human) Cell Lysate at 30 ug 293T-UV(Human) Cell Lysate at 30 ug Jurkat-UV(Human) Cell Lysate at 30 ug Primary: Anti-phospho-JNK1 (Thr183) (bs-17591R) at 1/1000 dilution Secondary: IRDye800CW Goat Anti-Rabbit IgG at 1/20000 dilution Predicted band size: 50 kD Observed band size: 50 kD
Sample: U251(Human) Cell Lysate at 30 ug Primary: Anti-phospho-JNK1 (Thr183) (bs-17591R) at 1/1000 dilution Secondary: IRDye800CW Goat Anti-Rabbit IgG at 1/20000 dilution Predicted band size: 50 kD Observed band size: 50 kD
Paraformaldehyde-fixed, paraffin embedded (rat heart tissue); Antigen retrieval by boiling in sodium citrate buffer (pH6.0) for 15min; Block endogenous peroxidase by 3% hydrogen peroxide for 20 minutes; Blocking buffer (normal goat serum) at 37°C for 30min; Antibody incubation with (p-JNK1 (Thr183)) Polyclonal Antibody, Unconjugated (bs-17591R) at 1:400 overnight at 4°C, followed by a conjugated secondary (sp-0023) for 20 minutes and DAB staining.
版权所有 2004-2026 www.bioss.com.cn 北京博奥森生物技术有限公司
通过国际质量管理体系ISO 9001:2015 GB/T 19001-2016    证书编号: 00124Q34771R2M/1100
通过国际医疗器械-质量管理体系ISO 13485:2016 GB/T 42061-2022     证书编号: CQC24QY20047R0M/1100
京ICP备05066980号-1         京公网安备110107000727号