 
| 产品编号 | bs-10777R | 
| 英文名称 | IL12B Rabbit pAb | 
| 中文名称 | 白细胞介素12 β亚基蛋白抗体 | 
| 别 名 | CLMF; CLMF p40; CLMF2; Cytotoxic lymphocyte maturation factor 40 kDa subunit; IL 12 subunit p40; IL 12B; IL-12 subunit p40; IL-12B; IL12 subunit p40; IL12 p40; IL12B_HUMAN; interleukin 12 beta chain; Interleukin 12 p40; Interleukin 12 subunit beta; Interleukin 12B; Interleukin-12 subunit beta; natural killer cell stimulatory factor 40 kD subunit; NK cell stimulatory factor chain 2; NKSF; NKSF2; p40. | 
| 研究领域 | 免疫学 细胞因子 | 
| 抗体来源 | Rabbit | 
| 克隆类型 | Polyclonal | 
| 克 隆 号 | |
| 交叉反应 | Human (predicted: Mouse,Rat,Pig,Sheep,Cow,Horse) | 
| 产品应用 | IHC-P=1:100-500,IHC-F=1:100-500,IF=1:100-500 not yet tested in other applications. optimal dilutions/concentrations should be determined by the end user. | 
| 理论分子量 | 35 kDa | 
| 检测分子量 | |
| 细胞定位 | 细胞浆 细胞膜 分泌型蛋白 | 
| 性 状 | Liquid | 
| 浓 度 | 1mg/ml | 
| 免 疫 原 | KLH conjugated synthetic peptide derived from human IL12B: 225-328/328 | 
| 亚 型 | IgG | 
| 纯化方法 | affinity purified by Protein A | 
| 缓 冲 液 | 0.01M TBS (pH7.4) with 1% BSA, 0.02% Proclin300 and 50% Glycerol. | 
| 保存条件 | Shipped at 4℃. Store at -20℃ for one year. Avoid repeated freeze/thaw cycles. | 
| 注意事项 | This product as supplied is intended for research use only, not for use in human, therapeutic or diagnostic applications. | 
| PubMed | PubMed | 
| 产品介绍 | This gene encodes a subunit of interleukin 12, a cytokine that acts on T and natural killer cells, and has a broad array of biological activities. Interleukin 12 is a disulfide-linked heterodimer composed of the 40 kD cytokine receptor like subunit encoded by this gene, and a 35 kD subunit encoded by IL12A. This cytokine is expressed by activated macrophages that serve as an essential inducer of Th1 cells development. This cytokine has been found to be important for sustaining a sufficient number of memory/effector Th1 cells to mediate long-term protection to an intracellular pathogen. Overexpression of this gene was observed in the central nervous system of patients with multiple sclerosis (MS), suggesting a role of this cytokine in the pathogenesis of the disease. The promoter polymorphism of this gene has been reported to be associated with the severity of atopic and non-atopic asthma in children. [provided by RefSeq, Jul 2008] Function: Cytokine that can act as a growth factor for activated T and NK cells, enhance the lytic activity of NK/lymphokine-activated killer cells, and stimulate the production of IFN-gamma by resting PBMC. Associates with IL23A to form the IL-23 interleukin, an heterodimeric cytokine which functions in innate and adaptive immunity. IL-23 may constitute with IL-17 an acute response to infection in peripheral tissues. IL-23 binds to an heterodimeric receptor complex composed of IL12RB1 and IL23R, activates the Jak-Stat signaling cascade, stimulates memory rather than naive T-cells and promotes production of proinflammatory cytokines. IL-23 induces autoimmune inflammation and thus may be responsible for autoimmune inflammatory diseases and may be important for tumorigenesis. Subunit: Heterodimer with IL12A; disulfide-linked. The heterodimer is known as interleukin IL-12. Heterodimer with IL23A; disulfide-linked. The heterodimer is known as interleukin IL-23. Also secreted as a monomer. Subcellular Location: Secreted. Post-translational modifications: Known to be C-mannosylated in the recombinant protein; it is not yet known for sure if the wild-type protein is also modified. DISEASE: Mendelian susceptibility to mycobacterial disease (MSMD) [MIM:209950]: This rare condition confers predisposition to illness caused by moderately virulent mycobacterial species, such as Bacillus Calmette-Guerin (BCG) vaccine and environmental non-tuberculous mycobacteria, and by the more virulent Mycobacterium tuberculosis. Other microorganisms rarely cause severe clinical disease in individuals with susceptibility to mycobacterial infections, with the exception of Salmonella which infects less than 50% of these individuals. The pathogenic mechanism underlying MSMD is the impairment of interferon-gamma mediated immunity, whose severity determines the clinical outcome. Some patients die of overwhelming mycobacterial disease with lepromatous-like lesions in early childhood, whereas others develop, later in life, disseminated but curable infections with tuberculoid granulomas. MSMD is a genetically heterogeneous disease with autosomal recessive, autosomal dominant or X-linked inheritance. Note=The disease is caused by mutations affecting the gene represented in this entry. Psoriasis 11 (PSORS11) [MIM:612599]: A common, chronic inflammatory disease of the skin with multifactorial etiology. It is characterized by red, scaly plaques usually found on the scalp, elbows and knees. These lesions are caused by abnormal keratinocyte proliferation and infiltration of inflammatory cells into the dermis and epidermis. Note=Disease susceptibility is associated with variations affecting the gene represented in this entry. Similarity: Belongs to the type I cytokine receptor family. Type 3 subfamily. Contains 1 fibronectin type-III domain. Contains 1 Ig-like C2-type (immunoglobulin-like) domain. Database links: Entrez Gene: 3593 Human Entrez Gene: 16160 Mouse Omim: 161561 Human SwissProt: P29460 Human SwissProt: P43432 Mouse Unigene: 674 Human Unigene: 239707 Mouse Unigene: 48686 Rat | 
| 产品图片 | 
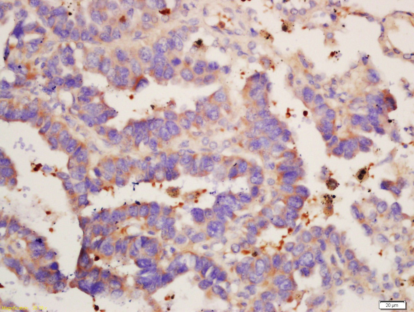
Tissue/cell: Human lung cancer tissue; 4% Paraformaldehyde-fixed and paraffin-embedded; 
Antigen retrieval: citrate buffer ( 0.01M, pH 6.0 ), Boiling bathing for 15min; Block endogenous peroxidase by 3% Hydrogen peroxide for 30min; Blocking buffer (normal goat serum,C-0005) at 37℃ for 20 min; 
Incubation: Anti-IL-12 beta Polyclonal Antibody, Unconjugated(bs-10777R) 1:200, overnight at 4°C, followed by conjugation to the secondary antibody(SP-0023) and DAB(C-0010) staining
 
Tissue/cell: human lung carcinoma; 4% Paraformaldehyde-fixed and paraffin-embedded; 
Antigen retrieval: citrate buffer ( 0.01M, pH 6.0 ), Boiling bathing for 15min; Block endogenous peroxidase by 3% Hydrogen peroxide for 30min; Blocking buffer (normal goat serum,C-0005) at 37℃ for 20 min; 
Incubation: Anti-IL-12 beta Polyclonal Antibody, Unconjugated(bs-10777R) 1:200, overnight at 4°C, followed by conjugation to the secondary antibody(SP-0023) and DAB(C-0010) staining
 
Tissue/cell: human lung carcinoma; 4% Paraformaldehyde-fixed and paraffin-embedded; 
Antigen retrieval: citrate buffer ( 0.01M, pH 6.0 ), Boiling bathing for 15min; Block endogenous peroxidase by 3% Hydrogen peroxide for 30min; Blocking buffer (normal goat serum,C-0005) at 37℃ for 20 min; 
Incubation: Anti-IL-12 beta Polyclonal Antibody, Unconjugated(bs-10777R) 1:200, overnight at 4°C, followed by conjugation to the secondary antibody(SP-0023) and DAB(C-0010) staining
 
Tissue/cell: Human lung cancer tissue; 4% Paraformaldehyde-fixed and paraffin-embedded; 
Antigen retrieval: citrate buffer ( 0.01M, pH 6.0 ), Boiling bathing for 15min; Block endogenous peroxidase by 3% Hydrogen peroxide for 30min; Blocking buffer (normal goat serum,C-0005) at 37℃ for 20 min; 
Incubation: Anti-IL-12 beta Polyclonal Antibody, Unconjugated(bs-10777R) 1:200, overnight at 4°C, followed by conjugation to the secondary antibody(SP-0023) and DAB(C-0010) staining
 | 
| 1、抗体溶解方法 | |
| 2、抗体修复方式 | |
| 3、常用试剂的配制 | |
| 4、免疫组化操作步骤 | |
| 5、免疫组化问题解答 | |
| 6、Western Blotting 操作步骤 | |
| 7、Western Blotting 问题解答 | |
| 8、关于肽链的设计 | |
| 9、多肽的溶解与保存 | |
| 10、酶标抗体效价测定程序 | |