扫码关注公众号           扫码咨询技术支持           扫码咨询技术服务
  
客服热线:400-901-9800  客服QQ:4009019800  技术答疑  技术支持  质量反馈  人才招聘  关于我们  联系我们
产品中心-北京博奥森生物技术有限公司
首页 > 产品中心 > 一抗 > 产品信息
MOB4A Rabbit pAb (bs-17698R)  
订购热线:400-901-9800
订购邮箱:sales@bioss.com.cn
订购QQ:  400-901-9800
技术支持:techsupport@bioss.com.cn
50ul/1180.00元
100ul/1980.00元
200ul/2800.00元
大包装/询价

产品编号 bs-17698R
英文名称 MOB4A Rabbit pAb
中文名称 MOB4A蛋白抗体
别    名 MATS2; MOB4A; MOBKL1A; 1110003E08Rik; B230364F10; MOB1B_HUMAN; MOB1B; Mob1 homolog 1A (Mob1A); Mps one binder kinase activator-like 1A; MOB1B_MOUSE; Mob1 homolog 1A;   
研究领域 细胞生物  信号转导  激酶和磷酸酶  
抗体来源 Rabbit
克隆类型 Polyclonal
克 隆 号
交叉反应 Mouse (predicted: Human)
产品应用 IHC-P=1:100-500,IHC-F=1:100-500,IF=1:100-500
not yet tested in other applications.
optimal dilutions/concentrations should be determined by the end user.
理论分子量 25 kDa
细胞定位 细胞核 细胞浆 
性    状 Liquid
浓    度 1mg/ml
免 疫 原 KLH conjugated synthetic peptide derived from human MOB4A: 1-100/216 
亚    型 IgG
纯化方法 affinity purified by Protein A
缓 冲 液 0.01M TBS (pH7.4) with 1% BSA, 0.02% Proclin300 and 50% Glycerol.
保存条件 Shipped at 4℃. Store at -20℃ for one year. Avoid repeated freeze/thaw cycles.
注意事项 This product as supplied is intended for research use only, not for use in human, therapeutic or diagnostic applications.
PubMed PubMed
产品介绍 The protein encoded by this gene is similar to the yeast Mob1 protein. Yeast Mob1 binds Mps1p, a protein kinase essential for spindle pole body duplication and mitotic checkpoint regulation. Three transcript variants encoding different isoforms have been found for this gene. [provided by RefSeq, Sep 2011]

Function:
Activator of LATS1/2 in the Hippo signaling pathway which plays a pivotal role in organ size control and tumor suppression by restricting proliferation and promoting apoptosis. The core of this pathway is composed of a kinase cascade wherein MST1/MST2, in complex with its regulatory protein SAV1, phosphorylates and activates LATS1/2 in complex with its regulatory protein MOB1, which in turn phosphorylates and inactivates YAP1 oncoprotein and WWTR1/TAZ. Phosphorylation of YAP1 by LATS1/2 inhibits its translocation into the nucleus to regulate cellular genes important for cell proliferation, cell death, and cell migration. Stimulates the kinase activity of STK38L.

Subcellular Location:
Cytoplasm. Nucleus.

Tissue Specificity:
Adrenal gland, bone marrow, brain, lung, placenta, prostate, salivary gland, skeletal muscle, testis, thymus, thyroid gland, uterus, colon with mucosa, fetal brain and fetal liver.

Similarity:
Belongs to the MOB1/phocein family.

SWISS:
Q7L9L4

Gene ID:
92597

Database links:

Entrez Gene: 92597 Human

Entrez Gene: 68473 Mouse

Omim: 609282 Human

SwissProt: Q7L9L4 Human

SwissProt: Q8BPB0 Mouse

Unigene: 691454 Human

Unigene: 700445 Human

Unigene: 730274 Human

Unigene: 35764 Mouse

Unigene: 392493 Mouse



产品图片
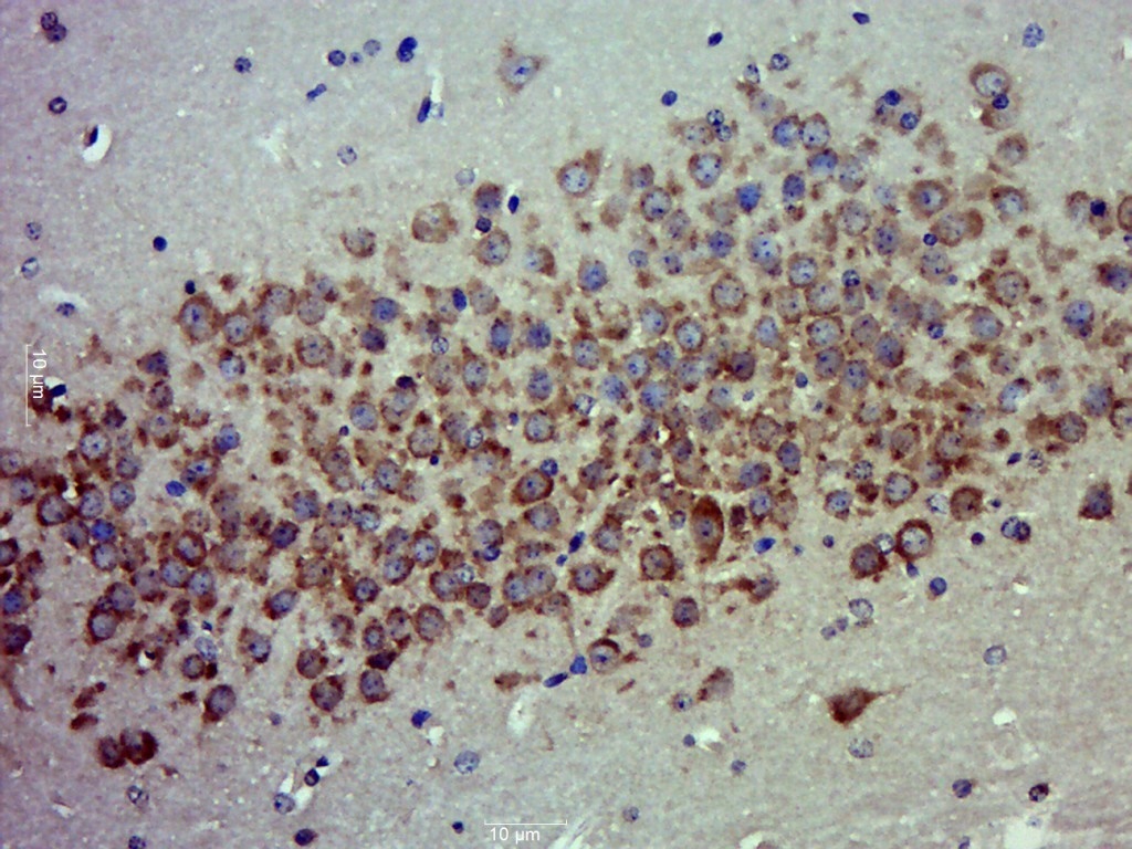
Paraformaldehyde-fixed, paraffin embedded (Mouse brain); Antigen retrieval by boiling in sodium citrate buffer (pH6.0) for 15min; Block endogenous peroxidase by 3% hydrogen peroxide for 20 minutes; Blocking buffer (normal goat serum) at 37°C for 30min; Antibody incubation with (MOB4A) Polyclonal Antibody, Unconjugated (bs-17698R) at 1:500 overnight at 4°C, followed by a conjugated secondary (sp-0023) for 20 minutes and DAB staining.
版权所有 2004-2026 www.bioss.com.cn 北京博奥森生物技术有限公司
通过国际质量管理体系ISO 9001:2015 GB/T 19001-2016    证书编号: 00124Q34771R2M/1100
通过国际医疗器械-质量管理体系ISO 13485:2016 GB/T 42061-2022     证书编号: CQC24QY20047R0M/1100
京ICP备05066980号-1         京公网安备110107000727号