扫码关注公众号           扫码咨询技术支持           扫码咨询技术服务
  
客服热线:400-901-9800  客服QQ:4009019800  技术答疑  技术支持  质量反馈  人才招聘  关于我们  联系我们
产品中心-北京博奥森生物技术有限公司
首页 > 产品中心 > 一抗 > 产品信息
MORG1 Rabbit pAb (bs-17719R)  
订购热线:400-901-9800
订购邮箱:sales@bioss.com.cn
订购QQ:  400-901-9800
技术支持:techsupport@bioss.com.cn
50ul/1180.00元
100ul/1980.00元
200ul/2800.00元
大包装/询价

产品编号 bs-17719R
英文名称 MORG1 Rabbit pAb
中文名称 MORG1蛋白抗体
别    名 MORG1; 1500041N16Rik; RGD1306947; WDR83_HUMAN; WDR83; Mitogen-activated protein kinase organizer 1 (MAPK organizer 1); WDR83_MOUSE; WDR83_RAT;   
研究领域 细胞生物  信号转导  激酶和磷酸酶  表观遗传学  
抗体来源 Rabbit
克隆类型 Polyclonal
克 隆 号
交叉反应 Mouse (predicted: Human,Rat,Rabbit,Pig,Sheep,Cow,Dog,Horse)
产品应用 IHC-P=1:100-500,IHC-F=1:100-500,IF=1:100-500
not yet tested in other applications.
optimal dilutions/concentrations should be determined by the end user.
理论分子量 34 kDa
细胞定位 细胞核 细胞浆 
性    状 Liquid
浓    度 1mg/ml
免 疫 原 KLH conjugated synthetic peptide derived from human MORG1: 201-300/315 
亚    型 IgG
纯化方法 affinity purified by Protein A
缓 冲 液 0.01M TBS (pH7.4) with 1% BSA, 0.02% Proclin300 and 50% Glycerol.
保存条件 Shipped at 4℃. Store at -20℃ for one year. Avoid repeated freeze/thaw cycles.
注意事项 This product as supplied is intended for research use only, not for use in human, therapeutic or diagnostic applications.
PubMed PubMed
产品介绍 This gene encodes a member of the WD-40 protein family. The protein is proposed to function as a molecular scaffold for various multimeric protein complexes. The protein associates with several components of the extracellular signal-regulated kinase (ERK) pathway, and promotes ERK activity in response to serum or other signals. The protein also interacts with egl nine homolog 3 (EGLN3, also known as PHD3) and regulates expression of hypoxia-inducible factor 1, and has been purified as part of the spliceosome. Alternative splicing results in multiple transcript variants. [provided by RefSeq, Oct 2009]

Function:
Molecular scaffold protein for various multimeric protein complexes. Acts as a module in the assembly of a multicomponent scaffold for the ERK pathway, linking ERK responses to specific agonists. At low concentrations it enhances ERK activation, whereas high concentrations lead to the inhibition of ERK activation. Also involved in response to hypoxia by acting as a negative regulator of HIF1A/HIF-1-alpha via its interaction with EGLN3/PHD3. May promote degradation of HIF1A. May act by recruiting signaling complexes to a specific upstream activator (By similarity). May also be involved in pre-mRNA splicing.

Subunit:
Interacts with EGLN3/PHD3. Interacts with ERK signaling proteins MAP2K1/MEK1, MAP2K2/MEK2, LAMTOR3, ARAF/Raf-1, MAPK1/ERK2 and MAPK3/ERK1 (By similarity). Identified in the spliceosome C complex.

Subcellular Location:
Cytoplasm. Nucleus. Predominantly cytoplasmic (By similarity). Partially nuclear.

Similarity:
Belongs to the WD repeat MORG1 family.
Contains 7 WD repeats.

SWISS:
Q9BRX9

Gene ID:
84292

Database links:

Entrez Gene: 84292 Human

Entrez Gene: 67836 Mouse

Entrez Gene: 288924 Rat

SwissProt: Q9BRX9 Human

SwissProt: Q9DAJ4 Mouse

SwissProt: Q5BLX8 Rat

Unigene: 657204 Human

Unigene: 334680 Mouse

Unigene: 3570 Rat



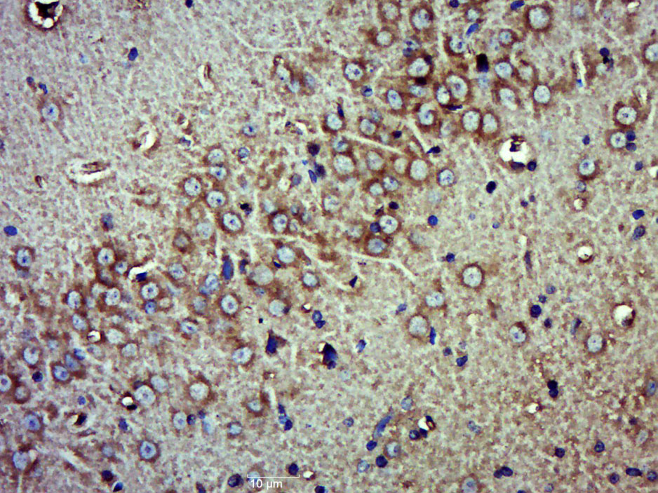
产品图片
Paraformaldehyde-fixed, paraffin embedded (Mouse brain); Antigen retrieval by boiling in sodium citrate buffer (pH6.0) for 15min; Block endogenous peroxidase by 3% hydrogen peroxide for 20 minutes; Blocking buffer (normal goat serum) at 37°C for 30min; Antibody incubation with (MORG1) Polyclonal Antibody, Unconjugated (bs-17719R) at 1:500 overnight at 4°C, followed by a conjugated secondary (sp-0023) for 20 minutes and DAB staining.
版权所有 2004-2026 www.bioss.com.cn 北京博奥森生物技术有限公司
通过国际质量管理体系ISO 9001:2015 GB/T 19001-2016    证书编号: 00124Q34771R2M/1100
通过国际医疗器械-质量管理体系ISO 13485:2016 GB/T 42061-2022     证书编号: CQC24QY20047R0M/1100
京ICP备05066980号-1         京公网安备110107000727号