扫码关注公众号           扫码咨询技术支持           扫码咨询技术服务
  
客服热线:400-901-9800  客服QQ:4009019800  技术答疑  技术支持  质量反馈  人才招聘  关于我们  联系我们
产品中心-北京博奥森生物技术有限公司
首页 > 产品中心 > 一抗 > 产品信息
MTMR12 Rabbit pAb (bs-17884R)  
订购热线:400-901-9800
订购邮箱:sales@bioss.com.cn
订购QQ:  400-901-9800
技术支持:techsupport@bioss.com.cn
50ul/1180.00元
100ul/1980.00元
200ul/2800.00元
大包装/询价

产品编号 bs-17884R
英文名称 MTMR12 Rabbit pAb
中文名称 肌微管素相关蛋白12抗体
别    名 3-PAP; PIP3AP; 3Pap; 4932703C11; C730015A02Rik; mKIAA1682; im:7160376; MTMRC_HUMAN; MTMR12; Inactive phosphatidylinositol 3-phosphatase 12; Phosphatidylinositol 3 phosphate 3-phosphatase adapter subunit (3-PAP | 3-phosphatase adapter protein); KIAA1682; M  
研究领域 细胞生物  信号转导  激酶和磷酸酶  
抗体来源 Rabbit
克隆类型 Polyclonal
克 隆 号
交叉反应 Mouse (predicted: Human,Rat,Rabbit,Sheep,Cat,Horse)
产品应用 IHC-P=1:100-500,IHC-F=1:100-500,IF=1:100-500
not yet tested in other applications.
optimal dilutions/concentrations should be determined by the end user.
理论分子量 86 kDa
细胞定位 细胞浆 
性    状 Liquid
浓    度 1mg/ml
免 疫 原 KLH conjugated synthetic peptide derived from human MTMR12: 451-550/747 
亚    型 IgG
纯化方法 affinity purified by Protein A
缓 冲 液 0.01M TBS (pH7.4) with 1% BSA, 0.02% Proclin300 and 50% Glycerol.
保存条件 Shipped at 4℃. Store at -20℃ for one year. Avoid repeated freeze/thaw cycles.
注意事项 This product as supplied is intended for research use only, not for use in human, therapeutic or diagnostic applications.
PubMed PubMed
产品介绍 Phosphatidylinositide 3-kinase-derived membrane-anchored phosphatidylinositides, such as phosphatidylinositol 3-phosphate (PtdIns(3)P), regulate diverse cellular processes. The protein encoded by this gene functions as an adaptor subunit in a complex with an active PtdIns(3)P 3-phosphatase. Alternatively spliced transcript variants have been identified, but their biological validity has not been determined. [provided by RefSeq, Jul 2008]

Function:
Catalytically inactive phosphatase that plays a role as an adapter for the phosphatase myotubularin to regulate myotubularin intracellular location.

Subcellular Location:
Cytoplasm. Localizes to punctate vesicles when associated with MTM1.

Tissue Specificity:
Ubiquitous with prominent expression in brain, heart, kidney, placenta, and lung.

Similarity:
Belongs to the protein-tyrosine phosphatase family.
Non-receptor class myotubularin subfamily. Contains 1 myotubularin
phosphatase domain.

SWISS:
Q9C0I1

Gene ID:
54545

Database links:

Entrez Gene: 54545 Human

Entrez Gene: 268783 Mouse

Entrez Gene: 310155 Rat

Entrez Gene: 569130 Zebrafish

Omim: 606501 Human

SwissProt: Q9C0I1 Human

SwissProt: Q80TA6 Mouse

SwissProt: Q5FVM6 Rat

SwissProt: A2BGG1 Zebrafish

Unigene: 481836 Human

Unigene: 54460 Mouse

Unigene: 214625 Rat

Unigene: 87790 Zebrafish



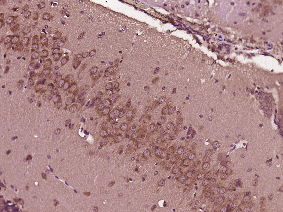
产品图片
Paraformaldehyde-fixed, paraffin embedded (Mouse brain); Antigen retrieval by boiling in sodium citrate buffer (pH6.0) for 15min; Block endogenous peroxidase by 3% hydrogen peroxide for 20 minutes; Blocking buffer (normal goat serum) at 37°C for 30min; Antibody incubation with (MTMR12) Polyclonal Antibody, Unconjugated (bs-17884R) at 1:500 overnight at 4°C, followed by a conjugated secondary (sp-0023) for 20 minutes and DAB staining.
版权所有 2004-2026 www.bioss.com.cn 北京博奥森生物技术有限公司
通过国际质量管理体系ISO 9001:2015 GB/T 19001-2016    证书编号: 00124Q34771R2M/1100
通过国际医疗器械-质量管理体系ISO 13485:2016 GB/T 42061-2022     证书编号: CQC24QY20047R0M/1100
京ICP备05066980号-1         京公网安备110107000727号