扫码关注公众号           扫码咨询技术支持           扫码咨询技术服务
  
客服热线:400-901-9800  客服QQ:4009019800  技术答疑  技术支持  质量反馈  关于我们  联系我们
产品中心-北京博奥森生物技术有限公司
首页 > 产品中心 > 一抗 > 产品信息
HMGN2/HMG17 Rabbit pAb (bs-18054R)  
订购热线:400-901-9800
订购邮箱:sales@bioss.com.cn
订购QQ:  400-901-9800
技术支持:techsupport@bioss.com.cn
50ul/1180.00元
100ul/1980.00元
200ul/2800.00元
大包装/询价

产品编号 bs-18054R
英文名称 HMGN2/HMG17 Rabbit pAb
中文名称 高迁移率族蛋白N2抗体
别    名 High mobility group(nonhistone chromosomal) protein 17; high mobility group nucleosomal binding domain 2; High mobility group nucleosome-binding domain-containing protein 2; High mobility group protein N2; HMG17; HMGN2; HMGN2_HUMAN; MGC5629; Non histone chromosomal protein HMG 17; Non-histone chromosomal protein HMG-17; Nonhistone chromosomal protein HMG 17; nonhistone chromosomal protein hmg-17.  
研究领域 细胞生物  信号转导  表观遗传学  
抗体来源 Rabbit
克隆类型 Polyclonal
克 隆 号
交叉反应 Mouse,Rat (predicted: Human,Pig,Sheep,Cow,Dog)
产品应用 IHC-P=1:100-500,IHC-F=1:100-500,IF=1:100-500
not yet tested in other applications.
optimal dilutions/concentrations should be determined by the end user.
理论分子量 9.2 kDa
检测分子量
细胞定位 细胞核 细胞浆 
性    状 Liquid
浓    度 1mg/ml
免 疫 原 KLH conjugated synthetic peptide derived from human HMGN2/HMG17: 2-60/90 
亚    型 IgG
纯化方法 affinity purified by Protein A
缓 冲 液 0.01M TBS (pH7.4) with 1% BSA, 0.02% Proclin300 and 50% Glycerol.
保存条件 Shipped at 4℃. Store at -20℃ for one year. Avoid repeated freeze/thaw cycles.
注意事项 This product as supplied is intended for research use only, not for use in human, therapeutic or diagnostic applications.
PubMed PubMed
产品介绍 The high-mobility group (HMG) proteins 14 and 17 are abundant chromosomal proteins that bind to nucleosomes and enhance transcription (1–5). HMG-14 and HMG-17 also function as architectural elements, which alter the structure of the chromatin fiber and enhance transcription from chromatin templates (1–3,5). HMG-14/17 proteins modify the nucleosomal organization of the 30 nm chromatin fiber and mediate the unfolding of the higher order chromatin structure thereby facilitating access to the underlying DNA sequence (1–3). Clustering of architectural elements, such as HMG proteins and linker histone subtypes into distinct domains, may lead to structural and functional heterogeneity along the chromatin fiber (1–3). In addition, HMG-14 and HMG-17 have been identified as constitutive components of mouse oocyte and embryonic chromatin that establish a link between the structure of embryonic chromatin and the normal progression of embryonic development (2).

Function:
Binds to the inner side of the nucleosomal DNA thus altering the interaction between the DNA and the histone octamer. May be involved in the process which maintains transcribable genes in an unique chromatin conformation.

Subcellular Location:
Nucleus. Cytoplasm. Cytoplasmic enrichment upon phosphorylation.

Post-translational modifications:
Phosphorylation favors cytoplasmic localization.

Similarity:
Belongs to the HMGN family.

SWISS:
P05204

Gene ID:
3151

Database links:

Entrez Gene: 3151 Human

Clone ID: BC014644 Human

Entrez Gene: 100042405 Mouse

Entrez Gene: 100503799 Mouse

Entrez Gene: 15331 Mouse

Entrez Gene: 114637 Rat

IMAGE Id: 3355317 Human

Omim: 163910 Human

SwissProt: P05204 Human

SwissProt: P09602 Mouse

SwissProt: P18437 Rat

Unigene: 181163 Human

Unigene: 319660 Mouse

Unigene: 911 Mouse

Unigene: 3517 Rat



产品图片
Paraformaldehyde-fixed, paraffin embedded (rat colon); Antigen retrieval by boiling in sodium citrate buffer (pH6.0) for 15min; Block endogenous peroxidase by 3% hydrogen peroxide for 20 minutes; Blocking buffer (normal goat serum) at 37°C for 30min; Antibody incubation with (HMGN2HMG17) Polyclonal Antibody, Unconjugated (bs-18054R) at 1:200 overnight at 4°C, followed by operating according to SP Kit(Rabbit) (sp-0023) instructionsand DAB staining.
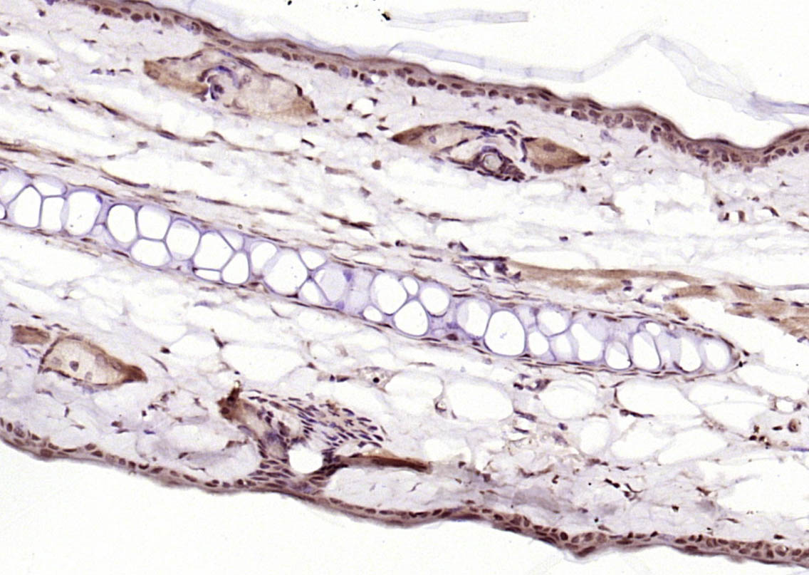
Paraformaldehyde-fixed, paraffin embedded (mouse skin); Antigen retrieval by boiling in sodium citrate buffer (pH6.0) for 15min; Block endogenous peroxidase by 3% hydrogen peroxide for 20 minutes; Blocking buffer (normal goat serum) at 37°C for 30min; Antibody incubation with (HMGN2HMG17) Polyclonal Antibody, Unconjugated (bs-18054R) at 1:200 overnight at 4°C, followed by operating according to SP Kit(Rabbit) (sp-0023) instructionsand DAB staining.
Paraformaldehyde-fixed, paraffin embedded (mouse colon); Antigen retrieval by boiling in sodium citrate buffer (pH6.0) for 15min; Block endogenous peroxidase by 3% hydrogen peroxide for 20 minutes; Blocking buffer (normal goat serum) at 37°C for 30min; Antibody incubation with (HMGN2HMG17) Polyclonal Antibody, Unconjugated (bs-18054R) at 1:200 overnight at 4°C, followed by operating according to SP Kit(Rabbit) (sp-0023) instructionsand DAB staining.
Paraformaldehyde-fixed, paraffin embedded (rat skin); Antigen retrieval by boiling in sodium citrate buffer (pH6.0) for 15min; Block endogenous peroxidase by 3% hydrogen peroxide for 20 minutes; Blocking buffer (normal goat serum) at 37°C for 30min; Antibody incubation with (HMGN2HMG17) Polyclonal Antibody, Unconjugated (bs-18054R) at 1:200 overnight at 4°C, followed by operating according to SP Kit(Rabbit) (sp-0023) instructionsand DAB staining.
版权所有 2004-2026 www.bioss.com.cn 北京博奥森生物技术有限公司
通过国际质量管理体系ISO 9001:2015 GB/T 19001-2016    证书编号: 00124Q34771R2M/1100
通过国际医疗器械-质量管理体系ISO 13485:2016 GB/T 42061-2022     证书编号: CQC24QY20047R0M/1100
京ICP备05066980号-1         京公网安备110107000727号