扫码关注公众号           扫码咨询技术支持           扫码咨询技术服务
  
客服热线:400-901-9800  客服QQ:4009019800  技术答疑  技术支持  质量反馈  人才招聘  关于我们  联系我们
产品中心-北京博奥森生物技术有限公司
首页 > 产品中心 > 一抗 > 产品信息
SRGAP1 Rabbit pAb (bs-10671R)  
订购热线:400-901-9800
订购邮箱:sales@bioss.com.cn
订购QQ:  400-901-9800
技术支持:techsupport@bioss.com.cn
50ul/1180.00元
100ul/1980.00元
200ul/2800.00元
大包装/询价

产品编号 bs-10671R
英文名称 SRGAP1 Rabbit pAb
中文名称 Rho GTP酶激活蛋白13抗体
别    名 ARHGAP13; NMTC2; 4930572H05Rik; RGD1566260; SRGP1_HUMAN; SRGAP1; Rho GTPase-activating protein 13; KIAA1304; SRGP1_MOUSE; SLIT-ROBO Rho GTPase activating protein 1  
研究领域 细胞生物  神经生物学  信号转导  G蛋白信号  
抗体来源 Rabbit
克隆类型 Polyclonal
交叉反应 Rat (predicted: Human,Mouse,Rabbit,Sheep,Cow,Chicken,Horse)
产品应用 IHC-P=1:100-500,IHC-F=1:100-500,IF=1:100-500
not yet tested in other applications.
optimal dilutions/concentrations should be determined by the end user.
理论分子量 124kDa
细胞定位 细胞浆 
性    状 Liquid
浓    度 1mg/ml
免 疫 原 KLH conjugated synthetic peptide derived from human SRGAP1: 51-150/1085 
亚    型 IgG
纯化方法 affinity purified by Protein A
缓 冲 液 0.01M TBS (pH7.4) with 1% BSA, 0.02% Proclin300 and 50% Glycerol.
保存条件 Shipped at 4℃. Store at -20℃ for one year. Avoid repeated freeze/thaw cycles.
注意事项 This product as supplied is intended for research use only, not for use in human, therapeutic or diagnostic applications.
PubMed PubMed
产品介绍 SRGAPs contain a highly conserved overall primary structure and play an important role in the cell facilitating Slit-robo signaling in cell migration and axon guidance. SRGAP1 (Slit-robo Rho GTPase activating protein 1), also known as ARHGAP13 (Rho GTPase activating protein 13), functions as a GTPase-activating protein for Cdc42 and Rho A. Expressed in kidney, testis, lung and brain, SRGAP1 contains an FCH (Fes/CIP4 homology) domain, a Rho-GAP domain and an SH3 domain. In the presence of Slit, SRGAP1 (via its SH3 domain) binds to the CC3 motif in robo (a protein responsible for mediating the repulsive effect of Slit) with higher affinity and inhibits Cdc42 activity in a robo/SRGAP-dependent manner. More specifically, SRGAP1 increases the intrinsic GTPase activity of Cdc42, thereby converting it to its inactive, GDP-bound form. Inactivation of Cdc42 ultimately leads to a decrease in actin polymerization.

Function:
GTPase-activating protein for RhoA and Cdc42 small GTPases. Together with CDC42 seems to be involved in the pathway mediating the repulsive signaling of Robo and Slit proteins in neuronal migration. SLIT2, probably through interaction with ROBO1, increases the interaction of SRGAP1 with ROBO1 and inactivates CDC42.

Subunit:
Homodimer (Probable). Forms heterooligomer with SRGAP2 and SRGAP3 through its F-BAR domain. Interacts with ROBO1, CDC42 and RHOA. Interacts with FASLG.

Tissue Specificity:
Expressed in brain, lung, kidney, and testis.

Similarity:
Contains 1 FCH domain.
Contains 1 Rho-GAP domain.
Contains 1 SH3 domain.

SWISS:
Q7Z6B7

Gene ID:
57522

Database links:

Entrez Gene: 57522 Human

Entrez Gene: 117600 Mouse

Entrez Gene: 314903 Rat

Omim: 606523 Human

SwissProt: Q7Z6B7 Human

SwissProt: Q91Z69 Mouse

Unigene: 210751 Human

Unigene: 593803 Human

Unigene: 288698 Mouse

Unigene: 208903 Rat



产品图片
Tissue/cell: rat testis tissue; 4% Paraformaldehyde-fixed and paraffin-embedded; Antigen retrieval: citrate buffer ( 0.01M, pH 6.0 ), Boiling bathing for 15min; Block endogenous peroxidase by 3% Hydrogen peroxide for 30min; Blocking buffer (normal goat serum,C-0005) at 37℃ for 20 min; Incubation: Anti-SRGAP1 Polyclonal Antibody, Unconjugated(bs-10671R) 1:200, overnight at 4°C, followed by conjugation to the secondary antibody(SP-0023) and DAB(C-0010) staining
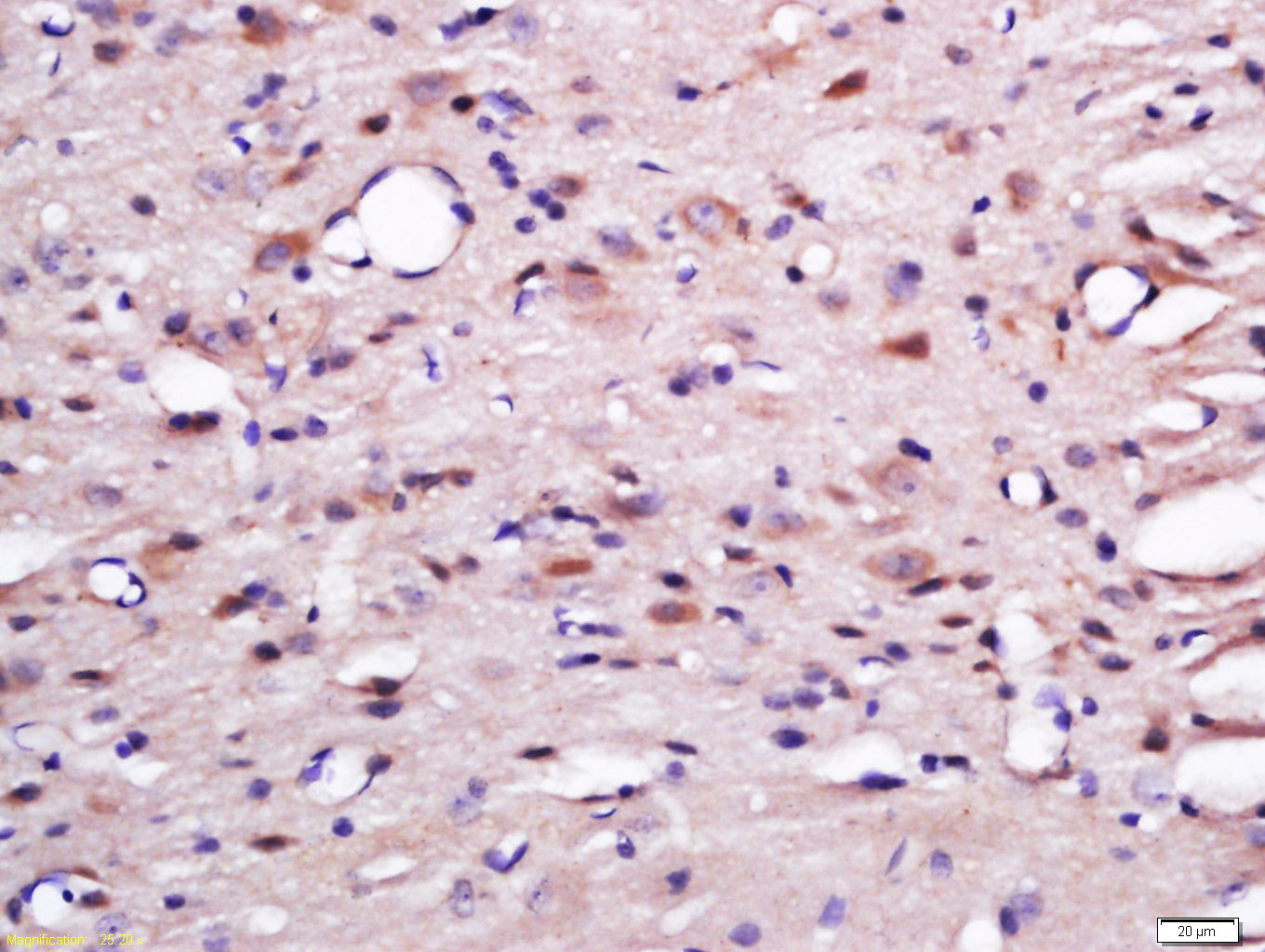
Tissue/cell: rat brain tissue; 4% Paraformaldehyde-fixed and paraffin-embedded; Antigen retrieval: citrate buffer ( 0.01M, pH 6.0 ), Boiling bathing for 15min; Block endogenous peroxidase by 3% Hydrogen peroxide for 30min; Blocking buffer (normal goat serum,C-0005) at 37℃ for 20 min; Incubation: Anti-SRGAP1 Polyclonal Antibody, Unconjugated(bs-10671R) 1:200, overnight at 4°C, followed by conjugation to the secondary antibody(SP-0023) and DAB(C-0010) staining
版权所有 2004-2026 www.bioss.com.cn 北京博奥森生物技术有限公司
通过国际质量管理体系ISO 9001:2015 GB/T 19001-2016    证书编号: 00124Q34771R2M/1100
通过国际医疗器械-质量管理体系ISO 13485:2016 GB/T 42061-2022     证书编号: CQC24QY20047R0M/1100
京ICP备05066980号-1         京公网安备110107000727号