扫码关注公众号           扫码咨询技术支持           扫码咨询技术服务
  
客服热线:400-901-9800  客服QQ:4009019800  技术答疑  技术支持  质量反馈  人才招聘  关于我们  联系我们
产品中心-北京博奥森生物技术有限公司
首页 > 产品中心 > 一抗 > 产品信息
LIM kinase 2 Rabbit pAb (bs-18255R)  
订购热线:400-901-9800
订购邮箱:sales@bioss.com.cn
订购QQ:  400-901-9800
技术支持:techsupport@bioss.com.cn
50ul/1180.00元
100ul/1980.00元
200ul/2800.00元
大包装/询价

产品编号 bs-18255R
英文名称 LIM kinase 2 Rabbit pAb
中文名称 LIM结构域激酶2抗体
别    名 LIMK2_HUMAN; LIMK2; LIMK-2; 2.7.11.1;   
研究领域 细胞生物  信号转导  激酶和磷酸酶  
抗体来源 Rabbit
克隆类型 Polyclonal
克 隆 号
交叉反应 Mouse (predicted: Human,Rat,Sheep,Cow,Horse)
产品应用 IHC-P=1:100-500,IHC-F=1:100-500,IF=1:100-500
not yet tested in other applications.
optimal dilutions/concentrations should be determined by the end user.
理论分子量 72 kDa
细胞定位 细胞核 细胞浆 
性    状 Liquid
浓    度 1mg/ml
免 疫 原 KLH conjugated synthetic peptide derived from human LIM kinase 2: 431-530/638 
亚    型 IgG
纯化方法 affinity purified by Protein A
缓 冲 液 0.01M TBS (pH7.4) with 1% BSA, 0.02% Proclin300 and 50% Glycerol.
保存条件 Shipped at 4℃. Store at -20℃ for one year. Avoid repeated freeze/thaw cycles.
注意事项 This product as supplied is intended for research use only, not for use in human, therapeutic or diagnostic applications.
PubMed PubMed
产品介绍 There are approximately 40 known eukaryotic LIM proteins, so named for the LIM domains they contain. LIM domains are highly conserved cysteine-rich structures containing 2 zinc fingers. Although zinc fingers usually function by binding to DNA or RNA, the LIM motif probably mediates protein-protein interactions. LIM kinase-1 and LIM kinase-2 belong to a small subfamily with a unique combination of 2 N-terminal LIM motifs and a C-terminal protein kinase domain. The protein encoded by this gene is phosphorylated and activated by ROCK, a downstream effector of Rho, and the encoded protein, in turn, phosphorylates cofilin, inhibiting its actin-depolymerizing activity. It is thought that this pathway contributes to Rho-induced reorganization of the actin cytoskeleton. At least three transcript variants encoding different isoforms have been found for this gene. [provided by RefSeq, Jul 2008]

Function:
Displays serine/threonine-specific phosphorylation of myelin basic protein and histone (MBP) in vitro.

Subcellular Location:
Cytoplasm. Nucleus. Isoform LIMK2a is distributed in the cytoplasm and the nucleus and Cytoplasm. Nucleus. Isoform LIMK2b occurs mainly in the cytoplasm and is scarcely translocated to the nucleus.

Tissue Specificity:
Highest expression in the placenta; moderate level in liver, lung, kidney, and pancreas. LIMK2a is found to be more abundant then LIMK2b in liver, colon, stomach, and spleen, while in brain, kidney, and placenta LIMK2b is the dominant form. In adult lung, both LIMK2a and LIMK2b is nearly equally observed.

Post-translational modifications:
Phosphorylated on serine and/or threonine residues by ROCK1.

Similarity:
Belongs to the protein kinase superfamily.
TKL Ser/Thr protein kinase family.
Contains 2 LIM zinc-binding domains.
Contains 1 PDZ (DHR) domain.
Contains 1 protein kinase domain.

SWISS:
P53671

Gene ID:
3985

Database links:

Entrez Gene: 3985 Human

Entrez Gene: 16886 Mouse

Entrez Gene: 29524 Rat

Omim: 601988 Human

SwissProt: P53671 Human

SwissProt: O54785 Mouse

SwissProt: P53670 Rat

Unigene: 474596 Human

Unigene: 124176 Mouse

Unigene: 390323 Mouse

Unigene: 442189 Mouse

Unigene: 11013 Rat



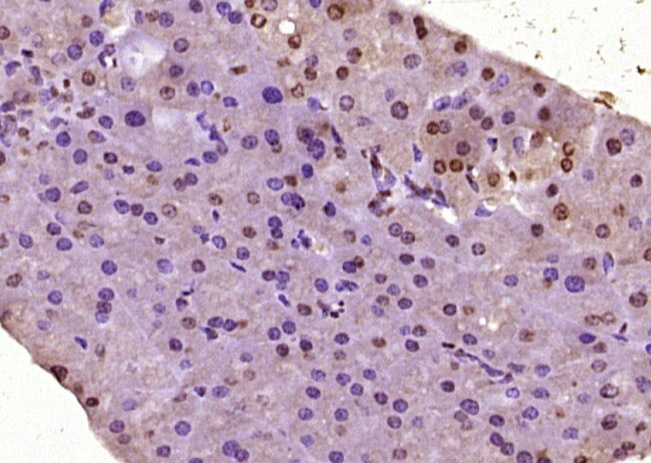
产品图片
Paraformaldehyde-fixed, paraffin embedded (mouse pancreas tissue); Antigen retrieval by boiling in sodium citrate buffer (pH6.0) for 15min; Block endogenous peroxidase by 3% hydrogen peroxide for 20 minutes; Blocking buffer (normal goat serum) at 37°C for 30min; Antibody incubation with (LIM kinase 2) Polyclonal Antibody, Unconjugated (bs-18255R) at 1:400 overnight at 4°C, followed by operating according to SP Kit(Rabbit) (sp-0023) instructionsand DAB staining.
版权所有 2004-2026 www.bioss.com.cn 北京博奥森生物技术有限公司
通过国际质量管理体系ISO 9001:2015 GB/T 19001-2016    证书编号: 00124Q34771R2M/1100
通过国际医疗器械-质量管理体系ISO 13485:2016 GB/T 42061-2022     证书编号: CQC24QY20047R0M/1100
京ICP备05066980号-1         京公网安备110107000727号