扫码关注公众号           扫码咨询技术支持           扫码咨询技术服务
  
客服热线:400-901-9800  客服QQ:4009019800  技术答疑  技术支持  质量反馈  关于我们  联系我们
产品中心-北京博奥森生物技术有限公司
首页 > 产品中心 > 一抗 > 产品信息
Liprin alpha 2 Rabbit pAb (bs-18299R)  
订购热线:400-901-9800
订购邮箱:sales@bioss.com.cn
订购QQ:  400-901-9800
技术支持:techsupport@bioss.com.cn
50ul/1180.00元
100ul/1980.00元
200ul/2800.00元
大包装/询价

产品编号 bs-18299R
英文名称 Liprin alpha 2 Rabbit pAb
中文名称 酪氨酸磷酸酶受体相互作用蛋白Liprin α2抗体
别    名 LIPA2_HUMAN; Liprin-alpha-2; PPFIA2; Protein tyrosine phosphatase receptor type f polypeptide interacting protein alpha 2; Protein tyrosine phosphatase receptor type f polypeptide-interacting protein alpha-2; Protein tyrosine phosphatase, receptor type, f polypeptide(PTPRF), interacting protein(liprin), alpha 2; PTPRF interacting protein alpha 2; PTPRF-interacting protein alpha-2.  
研究领域 细胞生物  免疫学  神经生物学  信号转导  激酶和磷酸酶  
抗体来源 Rabbit
克隆类型 Polyclonal
克 隆 号
交叉反应 Mouse,Rat (predicted: Human,Rabbit,Pig,Chicken,Horse)
产品应用 WB=1:500-2000,IHC-P=1:100-500,IHC-F=1:100-500,IF=1:100-500
not yet tested in other applications.
optimal dilutions/concentrations should be determined by the end user.
理论分子量 143 kDa
检测分子量
细胞定位 细胞膜 
性    状 Liquid
浓    度 1mg/ml
免 疫 原 KLH conjugated synthetic peptide derived from human Liprin alpha 2: 531-630/1257 
亚    型 IgG
纯化方法 affinity purified by Protein A
缓 冲 液 0.01M TBS (pH7.4) with 1% BSA, 0.02% Proclin300 and 50% Glycerol.
保存条件 Shipped at 4℃. Store at -20℃ for one year. Avoid repeated freeze/thaw cycles.
注意事项 This product as supplied is intended for research use only, not for use in human, therapeutic or diagnostic applications.
PubMed PubMed
产品介绍 The protein encoded by this gene is a member of the LAR protein-tyrosine phosphatase-interacting protein (liprin) family. Liprins interact with members of LAR family of transmembrane protein tyrosine phosphatases, which are known to be important for axon guidance and mammary gland development. It has been proposed that liprins are multivalent proteins that form complex structures and act as scaffolds for the recruitment and anchoring of LAR family of tyrosine phosphatases. This protein has been shown to bind the calcium/calmodulin-dependent serine protein kinase (MAGUK family) protein (also known as CASK) and proposed to regulate higher-order brain functions in mammals. Alternative splicing results in multiple transcript variants. [provided by RefSeq, Sep 2013]

Function:
Alters PTPRF cellular localization and induces PTPRF clustering. May regulate the disassembly of focal adhesions. May localize receptor-like tyrosine phosphatases type 2A at specific sites on the plasma membrane, possibly regulating their interaction with the extracellular environment and their association with substrates.

Subcellular Location:
Cytoplasm. Cell surface. Colocalizes with PTPRF at the cell surface.

Tissue Specificity:
Expressed only in brain.

Similarity:
Belongs to the liprin family. Liprin-alpha subfamily.
Contains 3 SAM (sterile alpha motif) domains.

SWISS:
Q2M3G8

Gene ID:
8499

Database links:

Entrez Gene: 8499 Human

Omim: 603143 Human

SwissProt: O75334 Human

SwissProt: Q2M3G8 Human

Unigene: 506216 Human



产品图片
Sample: Cerebrum (Mouse) Lysate at 40 ug Primary: Anti-Liprin alpha 2 (bs-18299R) at 1/300 dilution Secondary: IRDye800CW Goat Anti-Rabbit IgG at 1/20000 dilution Predicted band size: 143 kD Observed band size: 143 kD
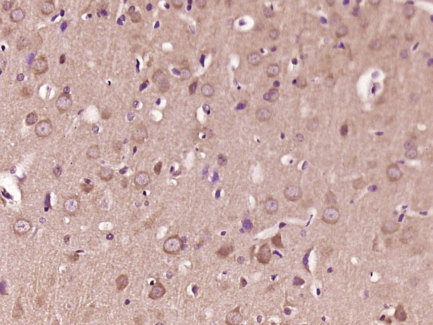
Paraformaldehyde-fixed, paraffin embedded (Mouse brain); Antigen retrieval by boiling in sodium citrate buffer (pH6.0) for 15min; Block endogenous peroxidase by 3% hydrogen peroxide for 20 minutes; Blocking buffer (normal goat serum) at 37°C for 30min; Antibody incubation with (LIPA2) Polyclonal Antibody, Unconjugated (bs-18299R) at 1:500 overnight at 4°C, followed by a conjugated secondary (sp-0023) for 20 minutes and DAB staining.
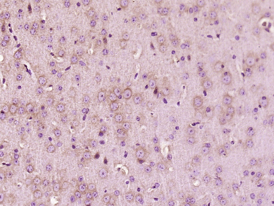
Paraformaldehyde-fixed, paraffin embedded (Rat brain); Antigen retrieval by boiling in sodium citrate buffer (pH6.0) for 15min; Block endogenous peroxidase by 3% hydrogen peroxide for 20 minutes; Blocking buffer (normal goat serum) at 37°C for 30min; Antibody incubation with (LIPA2) Polyclonal Antibody, Unconjugated (bs-18299R) at 1:500 overnight at 4°C, followed by a conjugated secondary (sp-0023) for 20 minutes and DAB staining.
版权所有 2004-2026 www.bioss.com.cn 北京博奥森生物技术有限公司
通过国际质量管理体系ISO 9001:2015 GB/T 19001-2016    证书编号: 00124Q34771R2M/1100
通过国际医疗器械-质量管理体系ISO 13485:2016 GB/T 42061-2022     证书编号: CQC24QY20047R0M/1100
京ICP备05066980号-1         京公网安备110107000727号