扫码关注公众号           扫码咨询技术支持           扫码咨询技术服务
  
客服热线:400-901-9800  客服QQ:4009019800  技术答疑  技术支持  质量反馈  人才招聘  关于我们  联系我们
产品中心-北京博奥森生物技术有限公司
首页 > 产品中心 > 一抗 > 产品信息
LMO1 Rabbit pAb (bs-18313R)  
订购热线:400-901-9800
订购邮箱:sales@bioss.com.cn
订购QQ:  400-901-9800
技术支持:techsupport@bioss.com.cn
50ul/1180.00元
100ul/1980.00元
200ul/2800.00元
大包装/询价

产品编号 bs-18313R
英文名称 LMO1 Rabbit pAb
中文名称 T淋巴细胞转运蛋白1抗体
别    名 CPLANE4; INT; OFD17; PDZD6; PDZK6; SRTD20; RBTN1; RHOM1; TTG1; Rbtn-1; Dat1; cb524; etID41074.7; lmo1b; wu:fb76g02; zgc:109794; RBTN1_BOVIN; LMO1; LIM domain only protein 1 (LMO-1); RBTN1_HUMAN; Cysteine-rich protein TTG-1; T-cell translocation protein 1;  
研究领域 细胞生物  转运蛋白  淋巴细胞  t-淋巴细胞  表观遗传学  
抗体来源 Rabbit
克隆类型 Polyclonal
克 隆 号
交叉反应 Mouse,Rat (predicted: Human,Rabbit,Pig,Cow,Zebrafish,Chicken,Cat,GuineaPig,Monkey,Spider Monkey)
产品应用 IHC-P=1:100-500,IHC-F=1:100-500,IF=1:100-500
not yet tested in other applications.
optimal dilutions/concentrations should be determined by the end user.
理论分子量 18 kDa
细胞定位 细胞核 
性    状 Liquid
浓    度 1mg/ml
免 疫 原 KLH conjugated synthetic peptide derived from human LMO1: 1-80/156 
亚    型 IgG
纯化方法 affinity purified by Protein A
缓 冲 液 0.01M TBS (pH7.4) with 1% BSA, 0.02% Proclin300 and 50% Glycerol.
保存条件 Shipped at 4℃. Store at -20℃ for one year. Avoid repeated freeze/thaw cycles.
注意事项 This product as supplied is intended for research use only, not for use in human, therapeutic or diagnostic applications.
PubMed PubMed
产品介绍 This locus encodes a transcriptional regulator that contains two cysteine-rich LIM domains but lacks a DNA-binding domain. LIM domains may play a role in protein interactions; thus the encoded protein may regulate transcription by competitively binding to specific DNA-binding transcription factors. Alterations at this locus have been associated with acute lymphoblastic T-cell leukemia. Chromosomal rearrangements have been observed between this locus and at least two loci, the delta subunit of the T-cell antigen receptor gene and the LIM domain binding 1 gene. Alternatively spliced transcript variants have been described. [provided by RefSeq, Jul 2012]

Function:
May be involved in gene regulation within neural lineage cells potentially by direct DNA binding or by binding to other transcription factors.

Subcellular Location:
Nuclear

Tissue Specificity:
Expressed mainly in the central nervous. Low level of expression in other tissues including thymus.

DISEASE:
A chromosomal aberration involving LMO1 may be a cause of a form of T-cell acute lymphoblastic leukemia (T-ALL). Translocation t(11,14)(p15;q11) with TCRD.

Similarity:
Contains 2 LIM zinc-binding domains.

SWISS:
P25800

Gene ID:
4004

Database links:

Entrez Gene: 27152 Cow

Entrez Gene: 4004 Human

Entrez Gene: 109594 Mouse

Entrez Gene: 245979 Rat

Entrez Gene: 280646 Zebrafish

Omim: 186921 Human

SwissProt: Q0P5B3 Cow

SwissProt: P25800 Human

SwissProt: Q924W9 Mouse

SwissProt: Q8JFQ2 Zebrafish

Unigene: 654426 Human



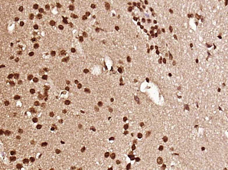
产品图片
Paraformaldehyde-fixed, paraffin embedded (Mouse brain); Antigen retrieval by boiling in sodium citrate buffer (pH6.0) for 15min; Block endogenous peroxidase by 3% hydrogen peroxide for 20 minutes; Blocking buffer (normal goat serum) at 37°C for 30min; Antibody incubation with (LMO1) Polyclonal Antibody, Unconjugated (bs-18313R) at 1:400 overnight at 4°C, followed by operating according to SP Kit(Rabbit) (sp-0023) instructionsand DAB staining.
Paraformaldehyde-fixed, paraffin embedded (Rat brain); Antigen retrieval by boiling in sodium citrate buffer (pH6.0) for 15min; Block endogenous peroxidase by 3% hydrogen peroxide for 20 minutes; Blocking buffer (normal goat serum) at 37°C for 30min; Antibody incubation with (LMO1) Polyclonal Antibody, Unconjugated (bs-18313R) at 1:400 overnight at 4°C, followed by operating according to SP Kit(Rabbit) (sp-0023) instructionsand DAB staining.
版权所有 2004-2026 www.bioss.com.cn 北京博奥森生物技术有限公司
通过国际质量管理体系ISO 9001:2015 GB/T 19001-2016    证书编号: 00124Q34771R2M/1100
通过国际医疗器械-质量管理体系ISO 13485:2016 GB/T 42061-2022     证书编号: CQC24QY20047R0M/1100
京ICP备05066980号-1         京公网安备110107000727号