扫码关注公众号           扫码咨询技术支持           扫码咨询技术服务
  
客服热线:400-901-9800  客服QQ:4009019800  技术答疑  技术支持  质量反馈  关于我们  联系我们
产品中心-北京博奥森生物技术有限公司
首页 > 产品中心 > 一抗 > 产品信息
Actin Rabbit pAb (bs-10966R)  
订购热线:400-901-9800
订购邮箱:sales@bioss.com.cn
订购QQ:  400-901-9800
技术支持:techsupport@bioss.com.cn
50ul/1180.00元
100ul/1980.00元
200ul/2800.00元
大包装/询价

产品编号 bs-10966R
英文名称 Actin Rabbit pAb
中文名称 肌动蛋白α1抗体
别    名 muscle Actin; ACTS_HUMAN; Actin, alpha skeletal muscle; alpha-actin-1; ACTA1; ACTA; ASMA; CFTD; CFTD1; CFTDM; MPFD; NEM1; NEM2; NEM3; Actin alpha skeletal muscle; actin, alpha 1, skeletal muscle 1; actin, alpha 1, skeletal muscle; actina; aktin; alpha Actin 1; alpha skeletal muscle Actin; alpha skeletal muscle; alpha-actin; beta cytoskeletal actin; nemaline myopathy type 3.  α-skeletal muscle actin; α Skeletal Muscle Actin.
Specific References  (36)     |     bs-10966R has been referenced in 36 publications.
[IF=19.16] Wang Huan. et al. CTC1 OB-B interaction with TPP1 terminates telomerase and prevents telomere overextension. NUCLEIC ACIDS RES. 2023 Apr;:  WB ;  Human.  
[IF=18.187] Gong, Hui. et al. miR-146a impedes the anti-aging effect of AMPK via NAMPT suppression and NAD+/SIRT inactivation. Signal Transduct Tar. 2022 Mar;7(1):1-13  WB ;  Mouse.  
[IF=14.903] Chang Xiao. et al. Engineering cannabidiol synergistic carbon monoxide nanocomplexes to enhance cancer therapy via excessive autophagy. ACTA PHARM SIN B. 2023 May;:  WB ;  Mouse.  
[IF=10.435] Shi, Yesi. et al. Biomimetic nanoparticles blocking autophagy for enhanced chemotherapy and metastasis inhibition via reversing focal adhesion disassembly. J Nanobiotechnol. 2021 Dec;19(1):1-17  WB ;  Human.  
[IF=6.953] Meng Zhang. et al. Moutan Cortex polysaccharide ameliorates diabetic kidney disease via modulating gut microbiota dynamically in rats. Int J Biol Macromol. 2022 May;206:849  WB ;  Rat.  
[IF=6.953] Jinshan Wu. et al. Protection by Hosta ventricosa polysaccharides against oxidative damage induced by t-BHP in HepG2 cells via the JNK/Nrf2 pathway. Int J Biol Macromol. 2022 May;208:453  WB ;  Human.  
[IF=6.543] Huang Jian. et al. Icariside II Attenuates Methamphetamine-Induced Neurotoxicity and Behavioral Impairments via Activating the Keap1-Nrf2 Pathway. Oxid Med Cell Longev. 2022;2022:8400876  WB ;  Mouse.  
[IF=5.895] Ying-Cai Zhao. et al. N-3 PUFA Deficiency from Early Life to Adulthood Exacerbated Susceptibility to Reactive Oxygen Species-Induced Testicular Dysfunction in Adult Mice. J AGR FOOD CHEM. 2023;XXXX(XXX):XXX-XXX  WB ;  Mouse.  
[IF=5.858] Weitong Xu. et al. Pan-mTOR inhibitors sensitize the senolytic activity of navitoclax via mTORC2 inhibition-mediated apoptotic signaling. BIOCHEM PHARMACOL. 2022 Jun;200:115045  WB ;  Human.  
[IF=5.834] Xue-sheng Pan. et al. Kupffer cell pyroptosis mediated by METTL3 contributes to the progression of alcoholic steatohepatitis. FASEB J. 2023 May;37(6):e22965  WB ;  Mouse.  
[IF=5.717] Yanxiong Huo. et al. Bifidobacterium animalis subsp. lactis A6 Enhances Fatty Acid β-Oxidation of Adipose Tissue to Ameliorate the Development of Obesity in Mice. Nutrients. 2022 Jan;14(3):598  WB ;  Mouse.  
[IF=5.717] Antonia Giacco. et al. Mild Endurance Exercise during Fasting Increases Gastrocnemius Muscle and Prefrontal Cortex Thyroid Hormone Levels through Differential BHB and BCAA-Mediated BDNF-mTOR Signaling in Rats. Nutrients. 2022 Jan;14(6):1166  WB ;  Rat.  
[IF=5.572] Shaohua Hou. et al. Design, synthesis and biological evaluation of 1H-indazole derivatives as novel ASK1 inhibitors. Eur J Med Chem. 2021 Aug;220:113482  WB ;  Human.  
[IF=5.293] Shi C. et al. Proteomic Analysis of Plasma-Derived Extracellular Vesicles From Mice With Echinococcus granulosus at Different Infection Stages and Their Immunomodulatory Functions.. Front Cell Infect Mi. 2022 Mar;12:805010-805010  WB ;  Mouse.  
[IF=5.293] Liu Jiawei. et al. Lactobacillus rhamnosus GR-1 Alleviates Escherichia coli-Induced Inflammation via NF-κB and MAPKs Signaling in Bovine Endometrial Epithelial Cells. Front Cell Infect Mi. 2022 Mar;0:199  WB ;  Cattle.  
[IF=4.966] Ramendu Parial. et al. Role of epigenetic m6A RNA methylation in vascular development: mettl3 regulates vascular development through PHLPP2/mTOR‐AKT signaling. Faseb J. 2021 May;35(5):e21465  WB ;  Zebrafish.  
[IF=4.872] Liqin Anet al. Benzo[a]pyrene injures BMP2-induced osteogenic differentiation of mesenchymal stem cells through AhR reducing BMPRII. Ecotoxicol Environ Saf . 2020 Oct 15;203:110930.  WB ;  Human.  
[IF=4.667] Guo-Dong Wu. et al. Cordyceps Improves Obesity and its Related Inflammation via Modulation of Enterococcus cecorum Abundance and Bile Acid Metabolism. 2022 Mar 10  WB ;  Mouse.  
[IF=4.546] Ya-Nan Gao. et al. Multi-Omics Reveal Additive Cytotoxicity Effects of Aflatoxin B1 and Aflatoxin M1 toward Intestinal NCM460 Cells. TOXINS. 2022 Jun;14(6):368  WB ;  Human.  
[IF=4.418] Ming Hu. et al. Human Cytomegalovirus Infection Activates Glioma Activating Transcription Factor 5 via microRNA in a Stress-Induced Manner. Acs Chem Neurosci. 2021;12(20):3947–3956  WB ;  Human.  
[IF=4.379] Hu, Su-Qin. et al. Wuzi-Yanzong prescription alleviates spermatogenesis disorder induced by heat stress dependent on Akt, NF-κB signaling pathway. Sci Rep-Uk. 2021 Sep;11(1):1-15  WB ;  rat.  
[IF=4.35] Songsong Jiang. et al. A Comparison Study on the Therapeutic Effect of High Protein Diets Based on Pork Protein versus Soybean Protein on Obese Mice. FOODS. 2022 Jan;11(9):1227  WB ;  Mouse.  
[IF=4.221] Haina Gao. et al. 3,5,6-trichloro-2-pyridinol intensifies the effect of chlorpyrifos on the paracrine function of Sertoli cells by preventing binding of testosterone and the androgen receptor. Toxicology. 2021 Aug;460:152883  WB ;  Rat.  
[IF=4.088] Yanhui Jia. et al. The deacetylation of Akt by SIRT1 inhibits inflammation in macrophages and protects against sepsis. EXP BIOL MED. ;():  WB ;  Human,Mouse.  
[IF=3.775] Xue Y et al. Chlorogenic acid attenuates cadmium-induced intestinal injury in Sprague–Dawley rats. Food Chem Toxicol. 2019 Aug 4;133:110751.  WB ;  Rat.  
[IF=3.743] Sheng Y et al. 3-Bromopyruvate inhibits the malignant phenotype of malignantly transformed macrophages and dendritic cells induced by glioma stem cells in the glioma microenvironment via miR-449a/MCT1. Biomed Pharmacother. 2020 Jan;121:109610.  WB ;  Human.  
[IF=3.469] Ruixi Luo. et al. Mesenchymal stem cells alleviate palmitic acid-induced endothelial-to-mesenchymal transition by suppressing endoplasmic reticulum stress. Am J Physiol-Endoc M. 2020 Nov;319(6):E961-E980  WB ;  Rat.  
[IF=3.405] Jianwei Lei. et al. The protective mechanism of protein kinase R to inhibit neuronal ferroptosis in cerebral injury from subarachnoid hemorrhage. BRAIN BEHAV. 2022 Jul;:e2722  WB ;  Rat.  
[IF=3.375] Zhang M et al. Identification of differentially expressed microRNAs and their target genes in the hippocampal tissues of Fmr1 knockout mice. Am J Transl Res . 2020 Mar 15;12(3):813-824.  WB ;  mouse.  
[IF=3.234] Chen X et al. Oleic acid protects saturated fatty acid mediated lipotoxicity in hepatocytes and rat of non-alcoholic steatohepatitis.Life Sci. 2018 Jun 15;203:291-304.  WB ;  Rat&Human.  
抗体来源 Rabbit
克隆类型 Polyclonal
克 隆 号
交叉反应 Mouse,Rat (predicted: Human,Rabbit,Cow,Dog)
产品应用 WB=1:500-2000,IHC-P=1:100-500,IHC-F=1:100-500,IF=1:100-500
not yet tested in other applications.
optimal dilutions/concentrations should be determined by the end user.
理论分子量 42 kDa
检测分子量
细胞定位 细胞浆 
性    状 Liquid
浓    度 1mg/ml
免 疫 原 KLH conjugated synthetic peptide derived from human ACTA1: 3-100/377 
亚    型 IgG
纯化方法 affinity purified by Protein A
缓 冲 液 0.01M TBS (pH7.4) with 1% BSA, 0.02% Proclin300 and 50% Glycerol.
保存条件 Shipped at 4℃. Store at -20℃ for one year. Avoid repeated freeze/thaw cycles.
注意事项 This product as supplied is intended for research use only, not for use in human, therapeutic or diagnostic applications.
PubMed PubMed
产品介绍 The product encoded by this gene belongs to the actin family of proteins, which are highly conserved proteins that play a role in cell motility, structure and integrity. Alpha, beta and gamma actin isoforms have been identified, with alpha actins being a major constituent of the contractile apparatus, while beta and gamma actins are involved in the regulation of cell motility. This actin is an alpha actin that is found in skeletal muscle. Mutations in this gene cause nemaline myopathy type 3, congenital myopathy with excess of thin myofilaments, congenital myopathy with cores, and congenital myopathy with fiber-type disproportion, diseases that lead to muscle fiber defects. [provided by RefSeq, Jul 2008]

Function:
Actins are highly conserved proteins that are involved in various types of cell motility and are ubiquitously expressed in all eukaryotic cells.

Subunit:
Polymerization of globular actin (G-actin) leads to a structural filament (F-actin) in the form of a two-stranded helix. Each actin can bind to 4 others. Identified in a complex composed of ACTA1, COBL, GSN AND TMSB4X. Interacts with TTID. Interacts (via its C-terminus) with USP25; the interaction occurs for all USP25 isoforms but is strongest for isoform USP25min muscle differentiating cells.

Subcellular Location:
Cytoplasm, cytoskeleton.

Post-translational modifications:
Oxidation of Met-46 and Met-49 by MICALs (MICAL1, MICAL2 or MICAL3) to form methionine sulfoxide promotes actin filament depolymerization. MICAL1 and MICAL2 produce the (R)-S-oxide form. The (R)-S-oxide form is reverted by MSRB1 and MSRB2, which promote actin repolymerization.
Monomethylation at Lys-86 (K84me1) regulates actin-myosin interaction and actomyosin-dependent processes. Demethylation by ALKBH4 is required for maintaining actomyosin dynamics supporting normal cleavage furrow ingression during cytokinesis and cell migration.

DISEASE:
Nemaline myopathy 3 (NEM3) [MIM:161800]: A form of nemaline myopathy. Nemaline myopathies are muscular disorders characterized by muscle weakness of varying severity and onset, and abnormal thread-like or rod-shaped structures in muscle fibers on histologic examination. Note=The disease is caused by mutations affecting the gene represented in this entry.
Myopathy, actin, congenital, with excess of thin myofilaments (MPCETM) [MIM:161800]: A congenital muscular disorder characterized at histological level by areas of sarcoplasm devoid of normal myofibrils and mitochondria, and replaced with dense masses of thin filaments. Central cores, rods, ragged red fibers and necrosis are absent. Note=The disease is caused by mutations affecting the gene represented in this entry.
Myopathy, congenital, with fiber-type disproportion (CFTD) [MIM:255310]: A genetically heterogeneous disorder in which there is relative hypotrophy of type 1 muscle fibers compared to type 2 fibers on skeletal muscle biopsy. However, these findings are not specific and can be found in many different myopathic and neuropathic conditions. Note=The disease is caused by mutations affecting the gene represented in this entry.

Similarity:
Belongs to the actin family.

SWISS:
P68133

Gene ID:
58

Database links:

Entrez Gene: 421534 Chicken

Entrez Gene: 281592 Cow

Entrez Gene: 58 Human

Entrez Gene: 11459 Mouse

Entrez Gene: 100154254 Pig

Entrez Gene: 29437 Rat

Omim: 102610 Human

SwissProt: P68139 Chicken

SwissProt: P68138 Cow

SwissProt: P68133 Human

SwissProt: P68134 Mouse

SwissProt: P68137 Pig

SwissProt: P68135 Rabbit

SwissProt: P68136 Rat

Unigene: 1288 Human

Unigene: 214950 Mouse

Unigene: 82732 Rat



产品图片
Sample: Bone (Mouse) Lysate at 40 ug Primary: Anti-Actin (bs-10966R) at 1/300 dilution Secondary: IRDye800CW Goat Anti-Rabbit IgG at 1/20000 dilution Predicted band size: 42 kD Observed band size: 42 kD
Sample: Muscle (Mouse) Lysate at 40 ug Primary: Anti-Actin (bs-10966R) at 1/300 dilution Secondary: IRDye800CW Goat Anti-Rabbit IgG at 1/20000 dilution Predicted band size: 42 kD Observed band size: 42 kD
Sample: Heart (Mouse) Lysate at 40 ug Primary: Anti-Actin (bs-10966R) at 1/300 dilution Secondary: IRDye800CW Goat Anti-Rabbit IgG at 1/20000 dilution Predicted band size: 42 kD Observed band size: 42 kD
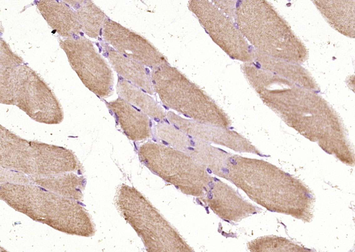
Paraformaldehyde-fixed, paraffin embedded (mouse skeletal muscle); Antigen retrieval by boiling in sodium citrate buffer (pH6.0) for 15min; Block endogenous peroxidase by 3% hydrogen peroxide for 20 minutes; Blocking buffer (normal goat serum) at 37°C for 30min; Antibody incubation with (Actin) Polyclonal Antibody, Unconjugated (bs-10966R) at 1:200 overnight at 4°C, followed by operating according to SP Kit(Rabbit) (sp-0023) instructionsand DAB staining.
Paraformaldehyde-fixed, paraffin embedded (rat skeletal muscle); Antigen retrieval by boiling in sodium citrate buffer (pH6.0) for 15min; Block endogenous peroxidase by 3% hydrogen peroxide for 20 minutes; Blocking buffer (normal goat serum) at 37°C for 30min; Antibody incubation with (Actin) Polyclonal Antibody, Unconjugated (bs-10966R) at 1:200 overnight at 4°C, followed by operating according to SP Kit(Rabbit) (sp-0023) instructionsand DAB staining.
Paraformaldehyde-fixed, paraffin embedded (mouse skeletal muscle); Antigen retrieval by boiling in sodium citrate buffer (pH6.0) for 15min; Block endogenous peroxidase by 3% hydrogen peroxide for 20 minutes; Blocking buffer (normal goat serum) at 37°C for 30min; Antibody incubation with (Actin) Polyclonal Antibody, Unconjugated (bs-10966R) at 1:200 overnight at 4°C, followed by operating according to SP Kit(Rabbit) (sp-0023) instructionsand DAB staining.
版权所有 2004-2026 www.bioss.com.cn 北京博奥森生物技术有限公司
通过国际质量管理体系ISO 9001:2015 GB/T 19001-2016    证书编号: 00124Q34771R2M/1100
通过国际医疗器械-质量管理体系ISO 13485:2016 GB/T 42061-2022     证书编号: CQC24QY20047R0M/1100
京ICP备05066980号-1         京公网安备110107000727号