扫码关注公众号           扫码咨询技术支持           扫码咨询技术服务
  
客服热线:400-901-9800  客服QQ:4009019800  技术答疑  技术支持  质量反馈  人才招聘  关于我们  联系我们
产品中心-北京博奥森生物技术有限公司
首页 > 产品中心 > 一抗 > 产品信息
MAP3K6/ASK2 Rabbit pAb (bs-18665R)  
订购热线:400-901-9800
订购邮箱:sales@bioss.com.cn
订购QQ:  400-901-9800
技术支持:techsupport@bioss.com.cn
50ul/1180.00元
100ul/1980.00元
200ul/2800.00元
大包装/询价

产品编号 bs-18665R
英文名称 MAP3K6/ASK2 Rabbit pAb
中文名称 细胞凋亡信号调节激酶2抗体
别    名 ASK2; MAPKKK6; MEKK6; M3K6_HUMAN; MAP3K6; Apoptosis signal-regulating kinase 2; 2.7.11.25; M3K6_MOUSE; D3ZFL3_RAT;   
研究领域 细胞生物  信号转导  激酶和磷酸酶  
抗体来源 Rabbit
克隆类型 Polyclonal
克 隆 号
交叉反应 Mouse (predicted: Human,Rat,Dog,Horse)
产品应用 IHC-P=1:100-500,IHC-F=1:100-500,IF=1:100-500
not yet tested in other applications.
optimal dilutions/concentrations should be determined by the end user.
理论分子量 143 kDa
细胞定位 细胞浆 细胞膜 
性    状 Liquid
浓    度 1mg/ml
免 疫 原 KLH conjugated synthetic peptide derived from human MAP3K6/ASK2: 101-200/1288 
亚    型 IgG
纯化方法 affinity purified by Protein A
缓 冲 液 0.01M TBS (pH7.4) with 1% BSA, 0.02% Proclin300 and 50% Glycerol.
保存条件 Shipped at 4℃. Store at -20℃ for one year. Avoid repeated freeze/thaw cycles.
注意事项 This product as supplied is intended for research use only, not for use in human, therapeutic or diagnostic applications.
PubMed PubMed
产品介绍 This gene encodes a serine/threonine protein kinase that forms a component of protein kinase-mediated signal transduction cascades. The encoded kinase participates in the regulation of vascular endothelial growth factor (VEGF) expression. Alternative splicing results in multiple transcript variants. [provided by RefSeq, Jul 2014]

Function:
Component of a protein kinase signal transduction cascade. Activates the JNK, but not ERK or p38 kinase pathways.

Similarity:
Belongs to the protein kinase superfamily.
STE Ser/Thr protein kinase family.
MAP kinase kinase kinase subfamily.
Contains 1 protein kinase domain.

SWISS:
O95382

Gene ID:
9064

Database links:

Entrez Gene: 9064 Human

Entrez Gene: 53608 Mouse

Entrez Gene: 53608 Rat

Omim: 604468 Human

SwissProt: O95382 Human

SwissProt: Q9WTR2 Mouse

SwissProt: D3ZFL3 Rat

Unigene: 194694 Human

Unigene: 36640 Mouse



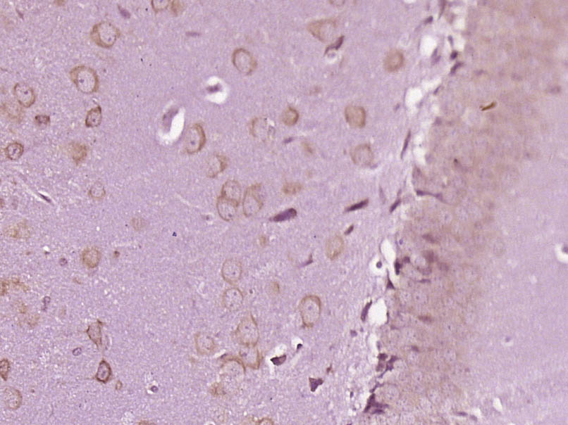
产品图片
Paraformaldehyde-fixed, paraffin embedded (Mouse brain); Antigen retrieval by boiling in sodium citrate buffer (pH6.0) for 15min; Block endogenous peroxidase by 3% hydrogen peroxide for 20 minutes; Blocking buffer (normal goat serum) at 37°C for 30min; Antibody incubation with (MAP3K6) Polyclonal Antibody, Unconjugated (bs-18665R) at 1:400 overnight at 4°C, followed by operating according to SP Kit(Rabbit) (sp-0023) instructionsand DAB staining.
版权所有 2004-2026 www.bioss.com.cn 北京博奥森生物技术有限公司
通过国际质量管理体系ISO 9001:2015 GB/T 19001-2016    证书编号: 00124Q34771R2M/1100
通过国际医疗器械-质量管理体系ISO 13485:2016 GB/T 42061-2022     证书编号: CQC24QY20047R0M/1100
京ICP备05066980号-1         京公网安备110107000727号