扫码关注公众号           扫码咨询技术支持           扫码咨询技术服务
  
客服热线:400-901-9800  客服QQ:4009019800  技术答疑  技术支持  质量反馈  关于我们  联系我们
产品中心-北京博奥森生物技术有限公司
首页 > 产品中心 > 一抗 > 产品信息
MAPRE1 Rabbit pAb (bs-18675R)  
订购热线:400-901-9800
订购邮箱:sales@bioss.com.cn
订购QQ:  400-901-9800
技术支持:techsupport@bioss.com.cn
50ul/1180.00元
100ul/1980.00元
200ul/2800.00元
大包装/询价

产品编号 bs-18675R
英文名称 MAPRE1 Rabbit pAb
中文名称 微管关联蛋白RP/EB家族成员1抗体
别    名 5530600P05Rik; Adenomatous polyposis coli binding protein EB 1; Adenomatous polyposis coli binding protein EB1; AI462499; AI504412; APC binding protein EB 1; APC binding protein EB1; APC-binding protein EB1; AW260097; BIM1p; D2Ertd459e; EB 1; EB1; End binding protein 1; End-binding protein 1; fa01e12; fc23e11; fi33c06; MAPRE 1; MAPRE1; Mapre3; MARE1_HUMAN; MGC117374; MGC129946; MGC52508; Microtubule associated protein RP/EB family member 1; Microtubule-associated protein RP/EB family member 1; wu:fa01e12; wu:fc23e11; wu:fi33c06; zgc:55428; zgc:77807; zgc:85755.  
研究领域 细胞生物  信号转导  激酶和磷酸酶  细胞类型标志物  
抗体来源 Rabbit
克隆类型 Polyclonal
克 隆 号
交叉反应 Rat (predicted: Human,Mouse,Cow,Chicken,Dog)
产品应用 IHC-P=1:100-500,IHC-F=1:100-500,IF=1:100-500
not yet tested in other applications.
optimal dilutions/concentrations should be determined by the end user.
理论分子量 36 kDa
检测分子量
细胞定位 细胞浆 
性    状 Liquid
浓    度 1mg/ml
免 疫 原 KLH conjugated synthetic peptide derived from human MAPRE1: 2-100/268 
亚    型 IgG
纯化方法 affinity purified by Protein A
缓 冲 液 0.01M TBS (pH7.4) with 1% BSA, 0.02% Proclin300 and 50% Glycerol.
保存条件 Shipped at 4℃. Store at -20℃ for one year. Avoid repeated freeze/thaw cycles.
注意事项 This product as supplied is intended for research use only, not for use in human, therapeutic or diagnostic applications.
PubMed PubMed
产品介绍 The protein encoded by this gene was first identified by its binding to the APC protein which is often mutated in familial and sporadic forms of colorectal cancer. This protein localizes to microtubules, especially the growing ends, in interphase cells. During mitosis, the protein is associated with the centrosomes and spindle microtubules. The protein also associates with components of the dynactin complex and the intermediate chain of cytoplasmic dynein. Because of these associations, it is thought that this protein is involved in the regulation of microtubule structures and chromosome stability. This gene is a member of the RP/EB family. [provided by RefSeq, Jul 2008]

Function:
May be involved in microtubule polymerization, and spindle function by stabilizing microtubules and anchoring them at centrosomes. May play a role in cell migration.

Subcellular Location:
Cytoplasm > cytoskeleton. Cytoplasm > cytoskeleton > centrosome. Associated with the microtubule network at the growing distal tip of microtubules. Also enriched at the centrosome.

Tissue Specificity:
Ubiquitously expressed.

Similarity:
Belongs to the MAPRE family.
Contains 1 CH (calponin-homology) domain.
Contains 1 EB1 C-terminal domain.

SWISS:
Q15691

Gene ID:
22919

Database links:

Entrez Gene: 22919 Human

Entrez Gene: 419288 Chicken

Entrez Gene: 13589 Mouse

Entrez Gene: 100173206 Orangutan

Entrez Gene: 114764 Rat

Omim: 603108 Human

SwissProt: Q5ZLC7 Chicken

SwissProt: Q15691 Human

SwissProt: Q61166 Mouse

SwissProt: Q5R7Z5 Orangutan

SwissProt: Q6V291 Quail

SwissProt: Q66HR2 Rat

Unigene: 472437 Human

Unigene: 143877 Mouse

Unigene: 7652 Rat



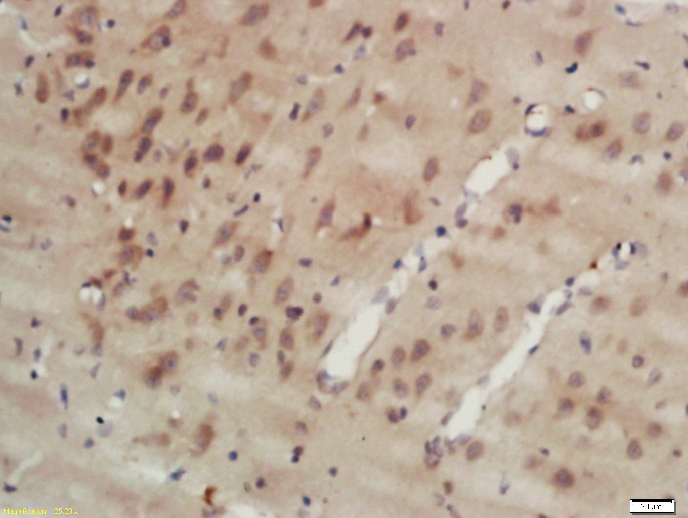
产品图片
Tissue/cell: rat brain tissue; 4% Paraformaldehyde-fixed and paraffin-embedded; Antigen retrieval: citrate buffer ( 0.01M, pH 6.0 ), Boiling bathing for 15min; Block endogenous peroxidase by 3% Hydrogen peroxide for 30min; Blocking buffer (normal goat serum,C-0005) at 37℃ for 20 min; Incubation: Anti-MAPRE1 Polyclonal Antibody, Unconjugated(bs-18675R) 1:200, overnight at 4°C, followed by conjugation to the secondary antibody(SP-0023) and DAB(C-0010) staining
版权所有 2004-2026 www.bioss.com.cn 北京博奥森生物技术有限公司
通过国际质量管理体系ISO 9001:2015 GB/T 19001-2016    证书编号: 00124Q34771R2M/1100
通过国际医疗器械-质量管理体系ISO 13485:2016 GB/T 42061-2022     证书编号: CQC24QY20047R0M/1100
京ICP备05066980号-1         京公网安备110107000727号