扫码关注公众号           扫码咨询技术支持           扫码咨询技术服务
  
客服热线:400-901-9800  客服QQ:4009019800  技术答疑  技术支持  质量反馈  人才招聘  关于我们  联系我们
产品中心-北京博奥森生物技术有限公司
首页 > 产品中心 > 一抗 > 产品信息
RPS6KC1 Rabbit pAb (bs-18831R)  
订购热线:400-901-9800
订购邮箱:sales@bioss.com.cn
订购QQ:  400-901-9800
技术支持:techsupport@bioss.com.cn
50ul/1180.00元
100ul/1980.00元
200ul/2800.00元
大包装/询价

产品编号 bs-18831R
英文名称 RPS6KC1 Rabbit pAb
中文名称 p52核糖体蛋白S6激酶抗体
别    名 RPK118; RSKL1; S6K-delta-1; S6PKh1; humS6PKh1; B130003F20Rik; KS6C1_HUMAN; RPS6KC1; 52 kDa ribosomal protein S6 kinase; Ribosomal S6 kinase-like protein with two PSK domains 118 kDa protein; SPHK1-binding protein; 2.7.11.1; KS6C1_MOUSE;   
研究领域 细胞生物  免疫学  信号转导  激酶和磷酸酶  
抗体来源 Rabbit
克隆类型 Polyclonal
克 隆 号
交叉反应 Mouse (predicted: Human,Rat,Pig,Sheep,Cow,Horse)
产品应用 IHC-P=1:100-500,IHC-F=1:100-500,IF=1:100-500
not yet tested in other applications.
optimal dilutions/concentrations should be determined by the end user.
理论分子量 119 kDa
细胞定位 细胞浆 细胞膜 
性    状 Liquid
浓    度 1mg/ml
免 疫 原 KLH conjugated synthetic peptide derived from human RPS6KC1: 201-300/1066 
亚    型 IgG
纯化方法 affinity purified by Protein A
缓 冲 液 0.01M TBS (pH7.4) with 1% BSA, 0.02% Proclin300 and 50% Glycerol.
保存条件 Shipped at 4℃. Store at -20℃ for one year. Avoid repeated freeze/thaw cycles.
注意事项 This product as supplied is intended for research use only, not for use in human, therapeutic or diagnostic applications.
PubMed PubMed
产品介绍 p52 S6 kinase, also known as RPS6KC1 (ribosomal protein S6 kinase, 52kDa, polypeptide 1) or RPK118, is a 1,066 amino acid member of the Ser/Thr kinase family that localizes to both the cytoplasm and the nucleus and contains one MIT domain, one PX domain and two protein kinase domains. Expressed at high levels in brain, placenta, heart, testis, kidney, liver and skeletal muscle, p52 S6 kinase catalyzes the ATP-dependent phosphorylation of target proteins and is thought to be involved in transmitting sphingosine-1 phosphate (SPP)-mediated signaling into the cell.

Function:
May be involved in transmitting sphingosine-1 phosphate (SPP)-mediated signaling into the cell.

Subcellular Location:
Cytoplasm. Membrane. Also found in some small dot-like or ring-shaped early endosome structures.

Tissue Specificity:
Highly expressed in testis, skeletal muscle, brain, heart, placenta, kidney and liver and weakly expressed in thymus, small intestine, lung and colon.

Similarity:
Belongs to the protein kinase superfamily.
Ser/Thr protein kinase family.
S6 kinase subfamily.
Contains 1 MIT domain.
Contains 2 protein kinase domains.
Contains 1 PX (phox homology) domain.

SWISS:
Q96S38

Gene ID:
26750

Database links:

Entrez Gene: 26750 Human

Entrez Gene: 320119 Mouse

GenBank: NP_001129610.1 Human

GenBank: NP_036556.2 Human

SwissProt: Q96S38 Human

SwissProt: Q8BLK9 Mouse

Unigene: 591416 Human

Unigene: 220912 Mouse



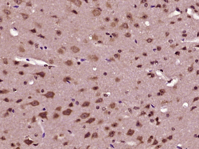
产品图片
Paraformaldehyde-fixed, paraffin embedded (mouse brain tissue); Antigen retrieval by boiling in sodium citrate buffer (pH6.0) for 15min; Block endogenous peroxidase by 3% hydrogen peroxide for 20 minutes; Blocking buffer (normal goat serum) at 37°C for 30min; Antibody incubation with (RPS6KC1) Polyclonal Antibody, Unconjugated (bs-18831R) at 1:400 overnight at 4°C, followed by operating according to SP Kit(Rabbit) (sp-0023) instructionsand DAB staining.
版权所有 2004-2026 www.bioss.com.cn 北京博奥森生物技术有限公司
通过国际质量管理体系ISO 9001:2015 GB/T 19001-2016    证书编号: 00124Q34771R2M/1100
通过国际医疗器械-质量管理体系ISO 13485:2016 GB/T 42061-2022     证书编号: CQC24QY20047R0M/1100
京ICP备05066980号-1         京公网安备110107000727号