扫码关注公众号           扫码咨询技术支持           扫码咨询技术服务
  
客服热线:400-901-9800  客服QQ:4009019800  技术答疑  技术支持  质量反馈  关于我们  联系我们
产品中心-北京博奥森生物技术有限公司
首页 > 产品中心 > 一抗 > 产品信息
DHRS2 Rabbit pAb (bs-10771R)  
订购热线:400-901-9800
订购邮箱:sales@bioss.com.cn
订购QQ:  400-901-9800
技术支持:techsupport@bioss.com.cn
50ul/1180.00元
100ul/1980.00元
200ul/2800.00元
大包装/询价

产品编号 bs-10771R
英文名称 DHRS2 Rabbit pAb
中文名称 脱氢酶/还原酶家族成员2抗体
别    名 Dehydrogenase/reductase(SDR family) member 2; Dehydrogenase/reductase member 2; Dehydrogenase/reductase SDR family member 2; Dicarbonyl reductase HEP27; DHRSⅡ; Hep27; HEP27 protein; Protein D; SDR family member; SDR25C1; Short chain alcohol dehydrogenase family member; Short chain dehydrogenase/reductase family 25C member 1; DHRS2_HUMAN.  
研究领域 肿瘤  神经生物学  信号转导  激酶和磷酸酶  
抗体来源 Rabbit
克隆类型 Polyclonal
克 隆 号
交叉反应 Human,Mouse,Rat
产品应用 WB=1:500-2000,IHC-P=1:100-500,IHC-F=1:100-500,IF=1:100-500
not yet tested in other applications.
optimal dilutions/concentrations should be determined by the end user.
理论分子量 27 kDa
检测分子量
细胞定位 细胞核 
性    状 Liquid
浓    度 1mg/ml
免 疫 原 KLH conjugated synthetic peptide derived from human DHRS2: 61-160/258 
亚    型 IgG
纯化方法 affinity purified by Protein A
缓 冲 液 0.01M TBS (pH7.4) with 1% BSA, 0.02% Proclin300 and 50% Glycerol.
保存条件 Shipped at 4℃. Store at -20℃ for one year. Avoid repeated freeze/thaw cycles.
注意事项 This product as supplied is intended for research use only, not for use in human, therapeutic or diagnostic applications.
PubMed PubMed
产品介绍
产品图片
Protein: Hela(human) lysates at 40ug; Primary: rabbit Anti-DARC (bs-10771R) at 1:300; Secondary: HRP conjugated Goat-Anti-rabbit IgG(bs-0295G-HRP) at 1: 5000; Predicted band size:27 kD Observed band size: 30 kD
Protein: lung(mouse) lysates at 40ug; Primary: Anti-DHRS2 (bs-10771R) at 1:300; Secondary: HRP conjugated Goat-Anti-Rabbit IgG(bse-0295G-HRP) at 1: 5000; ECL excitated the fluorescence; Predicted band size :27 kD Observed band size :27 kD
Protein: liver(mouse) lysates at 30 ug; Primary: Anti-DHRS2 (bs-10771R) at 1:300; Secondary: HRP conjugated Goat-Anti-Rabbit IgG(bse-0295G) at 1: 3000; ECL excitated the fluorescence; Predicted band size : 27 kD Observed band size : 27/75 kD
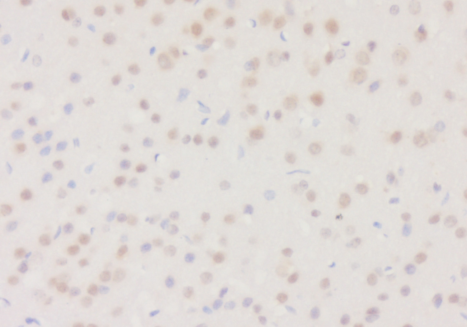
Tissue/cell: rat kidney tissue; 4% Paraformaldehyde-fixed and paraffin-Tissue/cell: rat brain tissue; 4% Paraformaldehyde-fixed and paraffin-embedded; Antigen retrieval: citrate buffer ( 0.01M, pH 6.0 ), Boiling bathing for 15min; Block endogenous peroxidase by 3% Hydrogen peroxide for 30min; Blocking buffer (normal goat serum,C-0005) at 37℃ for 20 min; Incubation: Anti-DHRS Polyclonal Antibody, Unconjugated(bs-10771R) 1:200, overnight at 4°C, followed by conjugation to the secondary antibody(SP-0023) and DAB(C-0010) staining
Tissue/cell: rat kidney tissue; 4% Paraformaldehyde-fixed and paraffin-embedded; Antigen retrieval: citrate buffer ( 0.01M, pH 6.0 ), Boiling bathing for 15min; Block endogenous peroxidase by 3% Hydrogen peroxide for 30min; Blocking buffer (normal goat serum,C-0005) at 37℃ for 20 min; Incubation: Anti-DHRS Polyclonal Antibody, Unconjugated(bs-10771R) 1:200, overnight at 4°C, followed by conjugation to the secondary antibody(SP-0023) and DAB(C-0010) staining
版权所有 2004-2026 www.bioss.com.cn 北京博奥森生物技术有限公司
通过国际质量管理体系ISO 9001:2015 GB/T 19001-2016    证书编号: 00124Q34771R2M/1100
通过国际医疗器械-质量管理体系ISO 13485:2016 GB/T 42061-2022     证书编号: CQC24QY20047R0M/1100
京ICP备05066980号-1         京公网安备110107000727号