扫码关注公众号           扫码咨询技术支持           扫码咨询技术服务
  
客服热线:400-901-9800  客服QQ:4009019800  技术答疑  技术支持  质量反馈  人才招聘  关于我们  联系我们
产品中心-北京博奥森生物技术有限公司
首页 > 产品中心 > 一抗 > 产品信息
IL17E Rabbit pAb (bs-10943R)  
订购热线:400-901-9800
订购邮箱:sales@bioss.com.cn
订购QQ:  400-901-9800
技术支持:techsupport@bioss.com.cn
50ul/1180.00元
100ul/1980.00元
200ul/2800.00元
大包装/询价

产品编号 bs-10943R
英文名称 IL17E Rabbit pAb
中文名称 白介素-17E抗体
别    名 IL17E; IL-17e; IL-25; IL25_HUMAN; IL25; Interleukin-17E (IL-17E);   
Specific References  (2)     |     bs-10943R has been referenced in 2 publications.
[IF=3.926] Zewei Zhao. et al. IL-25 ameliorates acute cholestatic liver injury via promoting hepatic bile acid secretion. CYTOKINE. 2022 Oct;158:155979  IF ;  Mouse.  
[IF=2.493] Min-jie Gong. et al. Melatonin reduces IL-33 and TSLP expression in human nasal epithelial cells by scavenging ROS directly. IMMUN INFLAMM DIS. 2023 Feb;11(2):e788  WB ;  Human.  
研究领域 免疫学  
抗体来源 Rabbit
克隆类型 Polyclonal
克 隆 号
交叉反应 Human,Mouse (predicted: Rat,Rabbit,Sheep,Cow,Horse)
产品应用 WB=1:500-2000,IHC-P=1:100-500,IHC-F=1:100-500,IF=1:100-500
not yet tested in other applications.
optimal dilutions/concentrations should be determined by the end user.
理论分子量 17 kDa
检测分子量 17
细胞定位 分泌型蛋白 
性    状 Liquid
浓    度 1mg/ml
免 疫 原 KLH conjugated synthetic peptide derived from human IL17E: 431-434/644 
亚    型 IgG
纯化方法 affinity purified by Protein A
缓 冲 液 0.01M TBS (pH7.4) with 1% BSA, 0.02% Proclin300 and 50% Glycerol.
保存条件 Shipped at 4℃. Store at -20℃ for one year. Avoid repeated freeze/thaw cycles.
注意事项 This product as supplied is intended for research use only, not for use in human, therapeutic or diagnostic applications.
PubMed PubMed
产品介绍 The protein encoded by this gene is a cytokine that shares sequence similarity with interleukin 17. This cytokine can induce NF-kappaB activation, and stimulate the production of interleukin8. Both this cytokine and interleukin 17B are ligands for the cytokine receptor IL17BR. Studies of a similar gene in mice suggest that this cytokine may be a pro-inflammatory cytokine favoring the Th2-type immune response. Alternative splicing results in multiple transcript variants. [provided by RefSeq].

Function:
Induces activation of NF-kappa-B and stimulates production of the proinflammatory chemokine IL-8. Proinflammatory cytokine favoring Th2-type immune responses.

Subcellular Location:
Secreted.

Tissue Specificity:
Expressed at low levels in several tissues, including brain, kidney, lung, prostate, testis, spinal cord, adrenal gland, and trachea.

Similarity:
Belongs to the IL-17 family.

SWISS:
Q9H293

Gene ID:
64806

Database links:

Entrez Gene: 64806 Human

Entrez Gene: 140806 Mouse

Omim: 605658 Human

SwissProt: Q9H293 Human

Unigene: 302036 Human

Unigene: 90154 Mouse



产品图片
Protein: spleen(mouse) lysate at 30ug; Primary: rabbit Anti-IL17E (bs-10943R) at 1:300; Secondary: HRP conjugated Goat-Anti-rabbit IgG(bs-0295G-HRP) at 1: 5000; Predicted band size: 17 kD Observed band size: 17 kD
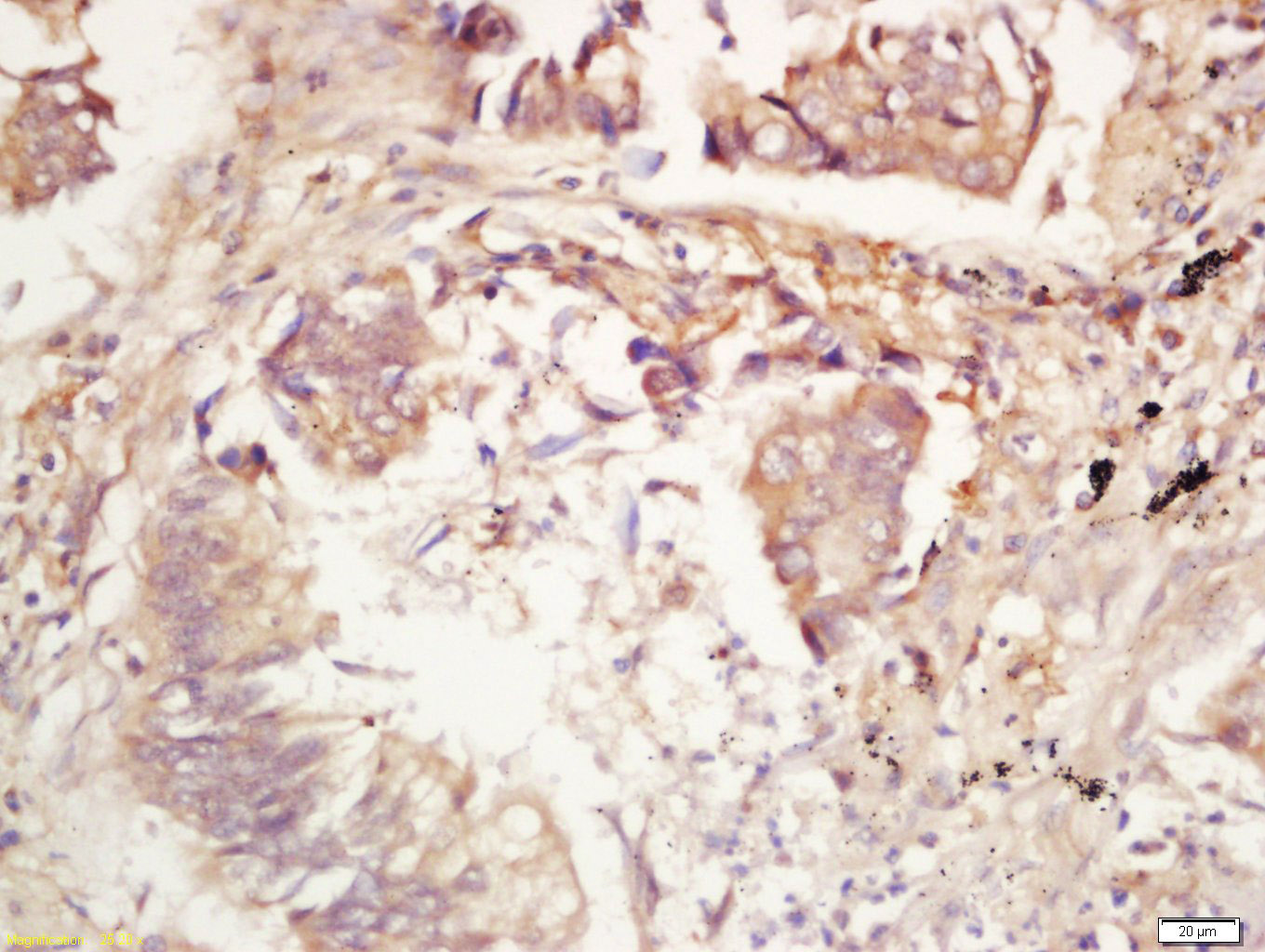
Tissue/cell: human lung carcinoma; 4% Paraformaldehyde-fixed and paraffin-embedded; Antigen retrieval: citrate buffer ( 0.01M, pH 6.0 ), Boiling bathing for 15min; Block endogenous peroxidase by 3% Hydrogen peroxide for 30min; Blocking buffer (normal goat serum,C-0005) at 37℃ for 20 min; Incubation: Anti-IL17E Polyclonal Antibody, Unconjugated(bs-10943R) 1:200, overnight at 4°C, followed by conjugation to the secondary antibody(SP-0023) and DAB(C-0010) staining
版权所有 2004-2026 www.bioss.com.cn 北京博奥森生物技术有限公司
通过国际质量管理体系ISO 9001:2015 GB/T 19001-2016    证书编号: 00124Q34771R2M/1100
通过国际医疗器械-质量管理体系ISO 13485:2016 GB/T 42061-2022     证书编号: CQC24QY20047R0M/1100
京ICP备05066980号-1         京公网安备110107000727号