扫码关注公众号           扫码咨询技术支持           扫码咨询技术服务
  
客服热线:400-901-9800  客服QQ:4009019800  技术答疑  技术支持  质量反馈  人才招聘  关于我们  联系我们
产品中心-北京博奥森生物技术有限公司
首页 > 产品中心 > 一抗 > 产品信息
PDE4A Rabbit pAb (bs-10140R)  
订购热线:400-901-9800
订购邮箱:sales@bioss.com.cn
订购QQ:  400-901-9800
技术支持:techsupport@bioss.com.cn
50ul/1180.00元
100ul/1980.00元
200ul/2800.00元
大包装/询价

产品编号 bs-10140R
英文名称 PDE4A Rabbit pAb
中文名称 磷酸二酯酶4A抗体
别    名 DPDE2; PDE4; PDE46; D9Ertd60e; PHOSA; PDE4A_HUMAN; PDE4A; cAMP-specific phosphodiesterase 4A; 3.1.4.53; PDE4A_MOUSE; PDE4A_RAT;   
研究领域 免疫学  信号转导  激酶和磷酸酶  
抗体来源 Rabbit
克隆类型 Polyclonal
克 隆 号
交叉反应 Rat (predicted: Human,Mouse,Pig,Cow,Horse)
产品应用 IHC-P=1:100-500,IHC-F=1:100-500,IF=1:100-500
not yet tested in other applications.
optimal dilutions/concentrations should be determined by the end user.
理论分子量 98 kDa
细胞定位 细胞浆 细胞膜 
性    状 Liquid
浓    度 1mg/ml
免 疫 原 KLH conjugated synthetic peptide derived from human PDE4A: 601-700/886 
亚    型 IgG
纯化方法 affinity purified by Protein A
缓 冲 液 0.01M TBS (pH7.4) with 1% BSA, 0.02% Proclin300 and 50% Glycerol.
保存条件 Shipped at 4℃. Store at -20℃ for one year. Avoid repeated freeze/thaw cycles.
注意事项 This product as supplied is intended for research use only, not for use in human, therapeutic or diagnostic applications.
PubMed PubMed
产品介绍 Enzymes of the cAMP-dependent phosphodiesterase type 4 (PDE4) family are important in hydrolyzing cAMP produced by G-protein coupled receptor (GPCR) stimulated adenylyl cyclases. In brain, more than 90% of cAMP formed by the stimulation of GPCRs is hydrolyzed by PDE4 enzymes. PDE4 enzymes are also important molecular targets for a variety of therapeutic agents like antidepressants, anti-asthmatics, and anti-inflammatory drugs. PDE4 family comprises 4 genes (PDE4A, B, C and D); each exhibiting multiple isozymes due to alternate splicing that leads to a larger number of distinct PDE4 variants. Members of the PDE4 family are regulated/activated by phosphorylation/dephosphorylation by cAMP-dependent protein kinase A and phosphatases. Protein-protein interactions and cellular trafficking of PDE4A enzymes play an important role in cAMP compartmentalization and cAMP-dependent signaling. In brain members of the PDE4A, B and D family are associated with GPCRs (adrenergic and dopaminergic) signaling. There are 5 isoforms.

Function:
Hydrolyzes the second messenger cAMP, which is a key regulator of many important physiological processes.

Subunit:
Isoform 1 interacts with LYN. Isoform 2 and isoform 6 interact weakly with LYN. Isoform 1, isoform 2 and isoform 6 interact with ARRB2.

Subcellular Location:
Isoform 1: Cytoplasm, perinuclear region.
Isoform 2: Cytoplasm, perinuclear region. Cell projection, ruffle membrane.
Isoform 4: Membrane; Peripheral membrane protein. Note=Isoform 4 has propensity for association with membranes.
Isoform 6: Cytoplasm, perinuclear region.
Isoform 7: Cytoplasm. Membrane. Note=Predominantly cytoplasmic.

Tissue Specificity:
Isoform 1 is widely expressed. Isoform 2 is abundant in liver, stomach, testis, thyroid and adrenal glands. It is also found in placenta, kidney, pancreas, ovary, uterus, skin, monocytes, mast cells, macrophages, as well as in bronchial smooth muscle. Isoform 6 is expressed at high levels in the heart and small intestine. It is also found in the brain, kidney, spleen, colon, salivary gland, ovary and peripheral blood lymphocytes. Isoform 7 is expressed predominantly in skeletal muscle and brain and at lower levels in the testis. Isoform 7 is expressed in the brain. Found in specific neuronal subpopulations in cortex, spinal cord and cerebellum (at protein level).

Post-translational modifications:
Phosphorylation by MAPKAPK2 its activation through PKA phosphorylation. Phosphorylated at Ser-686 and Ser-688 when expressed in S.frugiperda cells. Isoform 2 and isoform 7 are activated by phosphorylation at Ser-119 and Ser-123 respectively by PKA.
Proteolytically cleaved by caspase-3.

DISEASE:
Isoform 1 is widely expressed. Isoform 2 is abundant in liver, stomach, testis, thyroid and adrenal glands. It is also found in placenta, kidney, pancreas, ovary, uterus, skin, monocytes, mast cells, macrophages, as well as in bronchial smooth muscle. Isoform 6 is expressed at high levels in the heart and small intestine. It is also found in the brain, kidney, spleen, colon, salivary gland, ovary and peripheral blood lymphocytes. Isoform 7 is expressed predominantly in skeletal muscle and brain and at lower levels in the testis. Isoform 7 is expressed in the brain. Found in specific neuronal subpopulations in cortex, spinal cord and cerebellum (at protein level).

Similarity:
Belongs to the cyclic nucleotide phosphodiesterase family. PDE4 subfamily.

SWISS:
P27815

Gene ID:
5141

Database links:

Entrez Gene: 5141 Human

Entrez Gene: 18577 Mouse

Entrez Gene: 25638 Rat

Omim: 600126 Human

SwissProt: P27815 Human

SwissProt: O89084 Mouse

SwissProt: P54748 Rat

Unigene: 89901 Human

Unigene: 191749 Mouse

Unigene: 91357 Rat



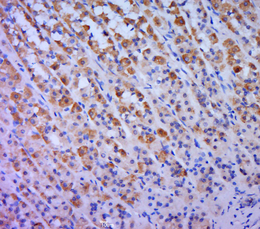
产品图片
Paraformaldehyde-fixed, paraffin embedded (rat stomach tissue); Antigen retrieval by boiling in sodium citrate buffer (pH6.0) for 15min; Block endogenous peroxidase by 3% hydrogen peroxide for 20 minutes; Blocking buffer (normal goat serum) at 37°C for 30min; Antibody incubation with (PDE4A) Polyclonal Antibody, Unconjugated (bs-10140R) at 1:400 overnight at 4°C, followed by a conjugated secondary (sp-0023) for 20 minutes and DAB staining.
版权所有 2004-2026 www.bioss.com.cn 北京博奥森生物技术有限公司
通过国际质量管理体系ISO 9001:2015 GB/T 19001-2016    证书编号: 00124Q34771R2M/1100
通过国际医疗器械-质量管理体系ISO 13485:2016 GB/T 42061-2022     证书编号: CQC24QY20047R0M/1100
京ICP备05066980号-1         京公网安备110107000727号