扫码关注公众号           扫码咨询技术支持           扫码咨询技术服务
  
客服热线:400-901-9800  客服QQ:4009019800  技术答疑  技术支持  质量反馈  人才招聘  关于我们  联系我们
产品中心-北京博奥森生物技术有限公司
首页 > 产品中心 > 一抗 > 产品信息
SAPS1 Rabbit pAb (bs-19388R)  
订购热线:400-901-9800
订购邮箱:sales@bioss.com.cn
订购QQ:  400-901-9800
技术支持:techsupport@bioss.com.cn
50ul/1180.00元
100ul/1980.00元
200ul/2800.00元
大包装/询价

产品编号 bs-19388R
英文名称 SAPS1 Rabbit pAb
中文名称 SAPS结构域家族1抗体
别    名 KIAA1115; PP6R1; SAP190; SAPS1; PP6R1_HUMAN; PPP6R1; SAPS domain family member 1;   
研究领域 细胞生物  信号转导  激酶和磷酸酶  
抗体来源 Rabbit
克隆类型 Polyclonal
克 隆 号
交叉反应 Human,Mouse,Rat (predicted: Rabbit,Pig,Cow,Dog,Horse,Rhesus monkey,Gorilla, Orangutan)
产品应用 WB=1:500-2000
not yet tested in other applications.
optimal dilutions/concentrations should be determined by the end user.
理论分子量 97 kDa
检测分子量 120
细胞定位 细胞浆 
性    状 Liquid
浓    度 1mg/ml
免 疫 原 KLH conjugated synthetic peptide derived from human SAPS1: 31-130/881 
亚    型 IgG
纯化方法 affinity purified by Protein A
缓 冲 液 0.01M TBS (pH7.4) with 1% BSA, 0.02% Proclin300 and 50% Glycerol.
保存条件 Shipped at 4℃. Store at -20℃ for one year. Avoid repeated freeze/thaw cycles.
注意事项 This product as supplied is intended for research use only, not for use in human, therapeutic or diagnostic applications.
PubMed PubMed
产品介绍 Protein phosphatase regulatory subunits, such as SAPS1, modulate the activity of protein phosphatase catalytic subunits by restricting substrate specificity, recruiting substrates, and determining the intracellular localization of the holoenzyme. SAPS1 is a regulatory subunit for the protein phosphatase-6 catalytic subunit (PPP6C; MIM 612725) (Stefansson and Brautigan, 2006 [PubMed 16769727]).[supplied by OMIM, Nov 2010]

Function:
Regulatory subunit of protein phosphatase 6 (PP6). May function as a scaffolding PP6 subunit. Involved in the PP6-mediated dephosphorylation of NFKBIE opposing its degradation in response to TNF-alpha.

Subunit:
Protein phosphatase 6 (PP6) holoenzyme is proposed to be a heterotrimeric complex formed of the catalytic subunit, a SAPS domain-containing subunit (PP6R) and an ankyrin repeat-domain containing regulatory subunit (ARS). Interacts with PPP6C and NFKBIE. Interacts with ANKRD28, ANKRD44 and ANKRD52.

Subcellular Location:
Cytoplasm

Tissue Specificity:
Ubiquitous with higher expression in testis.

Similarity:
Belongs to the SAPS family.

SWISS:
Q9UPN7

Gene ID:
22870

Database links:

Entrez Gene: 22870 Human

Omim: 610875 Human

SwissProt: Q9UPN7 Human



产品图片
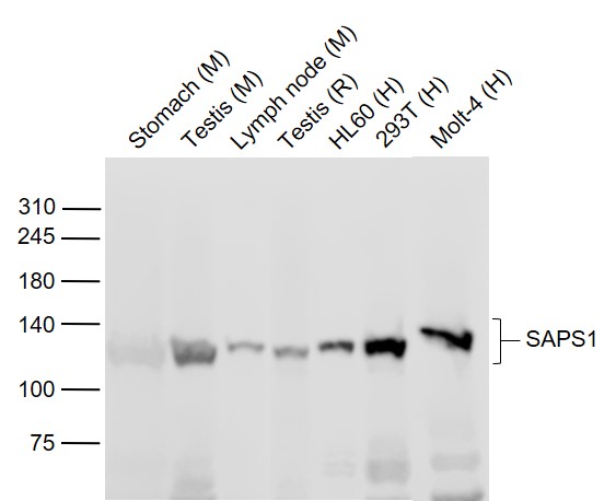
Sample: Lane 1: Stomach (Mouse) Lysate at 40 ug Lane 2: Testis (Mouse) Lysate at 40 ug Lane 3: Lymph node (Mouse) Lysate at 40 ug Lane 4: Testis (Rat) Lysate at 40 ug Lane 5: HL60 (Human) Cell Lysate at 30 ug Lane 6: 293T (Human) Cell Lysate at 30 ug Lane 7: Molt-4 (Human) Cell Lysate at 30 ug Primary: Anti-SAPS1 (bs-19388R) at 1/1000 dilution Secondary: IRDye800CW Goat Anti-Rabbit IgG at 1/20000 dilution Predicted band size: 120 kD Observed band size: 120 kD
版权所有 2004-2026 www.bioss.com.cn 北京博奥森生物技术有限公司
通过国际质量管理体系ISO 9001:2015 GB/T 19001-2016    证书编号: 00124Q34771R2M/1100
通过国际医疗器械-质量管理体系ISO 13485:2016 GB/T 42061-2022     证书编号: CQC24QY20047R0M/1100
京ICP备05066980号-1         京公网安备110107000727号