扫码关注公众号           扫码咨询技术支持           扫码咨询技术服务
  
客服热线:400-901-9800  客服QQ:4009019800  技术答疑  技术支持  质量反馈  人才招聘  关于我们  联系我们
产品中心-北京博奥森生物技术有限公司
首页 > 产品中心 > 一抗 > 产品信息
PRPF40B Rabbit pAb (bs-19404R)  
订购热线:400-901-9800
订购邮箱:sales@bioss.com.cn
订购QQ:  400-901-9800
技术支持:techsupport@bioss.com.cn
50ul/1180.00元
100ul/1980.00元
200ul/2800.00元
大包装/询价

产品编号 bs-19404R
英文名称 PRPF40B Rabbit pAb
中文名称 mRNA前体剪接因子PRPF40B抗体
别    名 HYPC; PR40B_HUMAN; PRPF40B; Huntingtin yeast partner C; Huntingtin-interacting protein C; pre-mRNA processing factor 40B; pre-mRNA processing factor 40 homolog B; PRP40 pre-mRNA processing factor 40 homolog B (yeast); PRP40 pre-mRNA processing factor 40 homolog B (S. cerevisiae); PRP40 homolog, pre-mRNA processing factor B; Huntingtin interacting protein C  
研究领域 神经生物学  结合蛋白  表观遗传学  
抗体来源 Rabbit
克隆类型 Polyclonal
交叉反应 Mouse (predicted: Human,Rat,Rabbit,Pig,Sheep,Cow,Dog,Horse)
产品应用 IHC-P=1:100-500,IHC-F=1:100-500,IF=1:100-500
not yet tested in other applications.
optimal dilutions/concentrations should be determined by the end user.
理论分子量 99kDa
细胞定位 细胞核 
性    状 Liquid
浓    度 1mg/ml
免 疫 原 KLH conjugated synthetic peptide derived from human PRPF40B: 781-871/871 
亚    型 IgG
纯化方法 affinity purified by Protein A
缓 冲 液 0.01M TBS (pH7.4) with 1% BSA, 0.02% Proclin300 and 50% Glycerol.
保存条件 Shipped at 4℃. Store at -20℃ for one year. Avoid repeated freeze/thaw cycles.
注意事项 This product as supplied is intended for research use only, not for use in human, therapeutic or diagnostic applications.
PubMed PubMed
产品介绍 This gene encodes a WW-domain containing protein similar to yeast splicing factor PRP40. This protein has been shown to interact with Huntingtin and methyl CpG binding protein 2 (MeCP2). Alternative splicing results in different transcript variants. [provided by RefSeq, Aug 2014]

Function:
May be involved in pre-mRNA splicing.

Subcellular Location:
Nucleus speckle.

Tissue Specificity:
Expressed in the striatum and cortex of the brain (at protein level). Highly expressed in testis, fetal kidney and fetal brain. Moderately expressed in pancreas, skeletal muscle, placenta, brain and heart. Weakly expressed in colon, ileum, ovary, prostate, spleen, kidney and fetal lung.

Similarity:
Belongs to the PRPF40 family.
Contains 2 FF domains.
Contains 2 WW domains.

SWISS:
Q6NWY9

Gene ID:
25766

Database links:

Entrez Gene: 25766 Human

SwissProt: Q6NWY9 Human

Unigene: 706827 Human



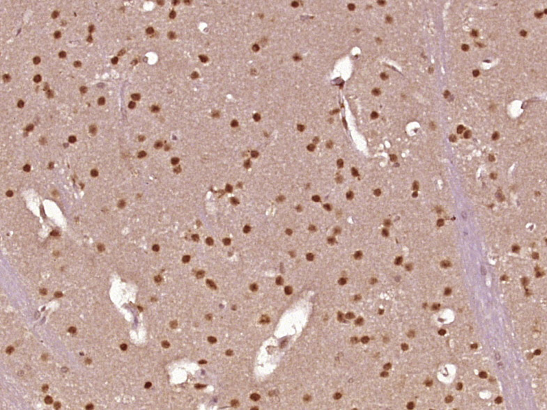
产品图片
Paraformaldehyde-fixed, paraffin embedded (mouse brain tissue); Antigen retrieval by boiling in sodium citrate buffer (pH6.0) for 15min; Block endogenous peroxidase by 3% hydrogen peroxide for 20 minutes; Blocking buffer (normal goat serum) at 37°C for 30min; Antibody incubation with (PRPF40B) Polyclonal Antibody, Unconjugated (bs-19404R) at 1:400 overnight at 4°C, followed by operating according to SP Kit(Rabbit) (sp-0023) instructionsand DAB staining.
版权所有 2004-2026 www.bioss.com.cn 北京博奥森生物技术有限公司
通过国际质量管理体系ISO 9001:2015 GB/T 19001-2016    证书编号: 00124Q34771R2M/1100
通过国际医疗器械-质量管理体系ISO 13485:2016 GB/T 42061-2022     证书编号: CQC24QY20047R0M/1100
京ICP备05066980号-1         京公网安备110107000727号