扫码关注公众号           扫码咨询技术支持           扫码咨询技术服务
  
客服热线:400-901-9800  客服QQ:4009019800  技术答疑  技术支持  质量反馈  关于我们  联系我们
产品中心-北京博奥森生物技术有限公司
首页 > 产品中心 > 一抗 > 产品信息
PSMC3IP Rabbit pAb (bs-19464R)  
订购热线:400-901-9800
订购邮箱:sales@bioss.com.cn
订购QQ:  400-901-9800
技术支持:techsupport@bioss.com.cn
50ul/1180.00元
100ul/1980.00元
200ul/2800.00元
大包装/询价

产品编号 bs-19464R
英文名称 PSMC3IP Rabbit pAb
中文名称 蛋白酶体26S亚基ATP酶3相互作用蛋白抗体
别    名 26S protease regulatory subunit 6A; 26S proteasome AAA-ATPase subunit RPT5; Human immunodeficiency virus tat transactivator binding protein 1; MGC8487; Proteasome(prosome macropain) 26S subunit ATPase 3; Proteasome 26S ATPase subunit 3; Proteasome 26S subunit ATPase 3; Proteasome subunit P50; PRS6A_HUMAN; PSMC 3; PSMC3; Tat binding protein 1; TAT-binding protein 1; TBP-1; TBP1.  
研究领域 细胞生物  转录调节因子  泛素  
抗体来源 Rabbit
克隆类型 Polyclonal
克 隆 号
交叉反应 Mouse (predicted: Human,Rat,Rabbit,Dog,Horse)
产品应用 IHC-P=1:100-500,IHC-F=1:100-500,IF=1:100-500
not yet tested in other applications.
optimal dilutions/concentrations should be determined by the end user.
理论分子量 24 kDa
检测分子量
细胞定位 细胞核 
性    状 Liquid
浓    度 1mg/ml
免 疫 原 KLH conjugated synthetic peptide derived from human PSMC3IP: 1-100/217 
亚    型 IgG
纯化方法 affinity purified by Protein A
缓 冲 液 0.01M TBS (pH7.4) with 1% BSA, 0.02% Proclin300 and 50% Glycerol.
保存条件 Shipped at 4℃. Store at -20℃ for one year. Avoid repeated freeze/thaw cycles.
注意事项 This product as supplied is intended for research use only, not for use in human, therapeutic or diagnostic applications.
PubMed PubMed
产品介绍 This gene encodes a protein that functions in meiotic recombination. It is a subunit of the PSMC3IP/MND1 complex, which interacts with PSMC3/TBP1 to stimulate DMC1- and RAD51-mediated strand exchange during meiosis. The protein encoded by this gene can also co-activate ligand-driven transcription mediated by estrogen, androgen, glucocorticoid, progesterone, and thyroid nuclear receptors. Mutations in this gene cause XX female gonadal dysgenesis. Alternative splicing of this gene results in multiple transcript variants. [provided by RefSeq, Dec 2011]

Function:
Plays an important role in meiotic recombination. Stimulates DMC1-mediated strand exchange required for pairing homologous chromosomes during meiosis. The complex PSMC3IP/MND1 binds DNA, stimulates the recombinase activity of DMC1 as well as DMC1 D-loop formation from double-strand DNA. This complex stabilizes presynaptic RAD51 and DMC1 filaments formed on single strand DNA to capture double-strand DNA. This complex stimulates both synaptic and presynaptic critical steps in RAD51 and DMC1-promoted homologous pairing. May inhibit HIV-1 viral protein TAT activity and modulate the activity of proteasomes through association with PSMC3. Acts as a tissue specific coactivator of hormone-dependent transcription mediated by nuclear receptors.

Subcellular Location:
Nucleus.

Tissue Specificity:
Highly expressed in testis and colon.

Post-translational modifications:
PTM: Phosphorylated by PKA, PKC and MAPK.

DISEASE:
Ovarian dysgenesis 3 (ODG3) [MIM:614324]: A disorder characterized by lack of spontaneous pubertal development, primary amenorrhea, uterine hypoplasia, and hypergonadotropic hypogonadism as a result of streak gonads. Note=The disease is caused by mutations affecting the gene represented in this entry.

Similarity:
Belongs to the HOP2 family.

SWISS:
Q9P2W1

Gene ID:
29893

Database links:
ntrez Gene: 29893 Human

Entrez Gene: 19183 Mouse

Entrez Gene: 140938 Rat

Omim: 608665 Human

SwissProt: Q9P2W1 Human

SwissProt: O35047 Mouse

SwissProt: Q91ZY6 Rat

Unigene: 383019 Human

Unigene: 18344 Mouse

Unigene: 144650 Rat



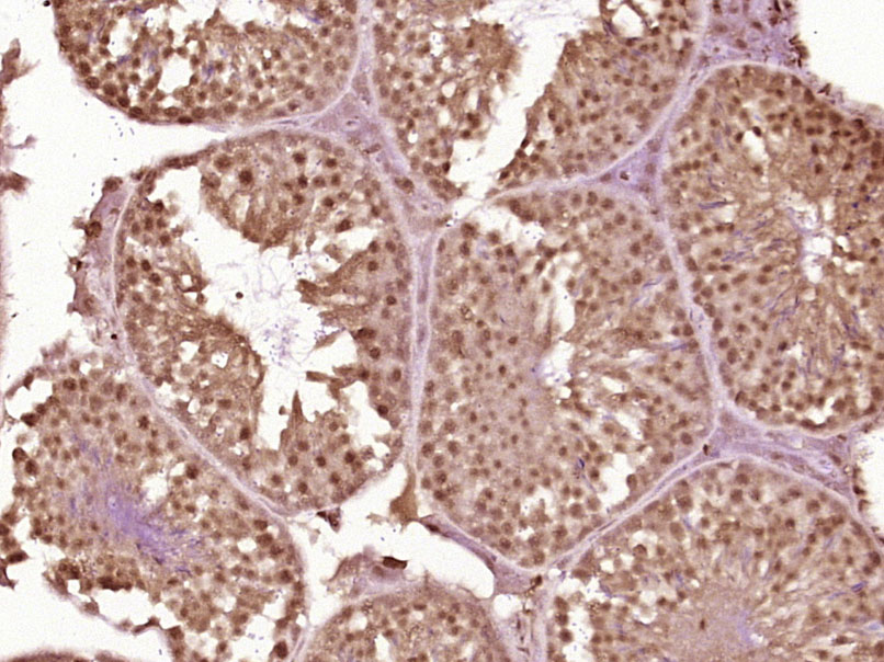
产品图片
Paraformaldehyde-fixed, paraffin embedded (Mouse colon); Antigen retrieval by boiling in sodium citrate buffer (pH6.0) for 15min; Block endogenous peroxidase by 3% hydrogen peroxide for 20 minutes; Blocking buffer (normal goat serum) at 37°C for 30min; Antibody incubation with (PSMC3IP) Polyclonal Antibody, Unconjugated (bs-19464R) at 1:400 overnight at 4°C, followed by operating according to SP Kit(Rabbit) (sp-0023) instructionsand DAB staining.
Paraformaldehyde-fixed, paraffin embedded (Mouse testis); Antigen retrieval by boiling in sodium citrate buffer (pH6.0) for 15min; Block endogenous peroxidase by 3% hydrogen peroxide for 20 minutes; Blocking buffer (normal goat serum) at 37°C for 30min; Antibody incubation with (PSMC3IP) Polyclonal Antibody, Unconjugated (bs-19464R) at 1:400 overnight at 4°C, followed by operating according to SP Kit(Rabbit) (sp-0023) instructionsand DAB staining.
版权所有 2004-2026 www.bioss.com.cn 北京博奥森生物技术有限公司
通过国际质量管理体系ISO 9001:2015 GB/T 19001-2016    证书编号: 00124Q34771R2M/1100
通过国际医疗器械-质量管理体系ISO 13485:2016 GB/T 42061-2022     证书编号: CQC24QY20047R0M/1100
京ICP备05066980号-1         京公网安备110107000727号