扫码关注公众号           扫码咨询技术支持           扫码咨询技术服务
  
客服热线:400-901-9800  客服QQ:4009019800  技术答疑  技术支持  质量反馈  关于我们  联系我们
产品中心-北京博奥森生物技术有限公司
首页 > 产品中心 > 一抗 > 产品信息
PUF60 Rabbit pAb (bs-19595R)  
订购热线:400-901-9800
订购邮箱:sales@bioss.com.cn
订购QQ:  400-901-9800
技术支持:techsupport@bioss.com.cn
50ul/1180.00元
100ul/1980.00元
200ul/2800.00元
大包装/询价

产品编号 bs-19595R
英文名称 PUF60 Rabbit pAb
中文名称 SIAH结合蛋白1抗体
别    名 60 kDa poly(U)-binding-splicing factor; FBP-interacting repressor; FIR; FLJ31379; FUSE-binding protein-interacting repressor; Poly U binding splicing factor 60KDa; Poly(U)-binding-splicing factor PUF60; poly-U binding splicing factor PUF60; PUF60; PUF60_HUMAN; pyrimidine tract binding splicing factor; Ro ribonucleoprotein-binding protein 1; Ro-binding protein 1; RoBP1; RoBPI; siah binding protein 1; Siah-binding protein 1; Siah-BP1; SIAHBP1.  
研究领域 肿瘤  转录调节因子  结合蛋白  表观遗传学  
抗体来源 Rabbit
克隆类型 Polyclonal
克 隆 号
交叉反应 Human,Mouse,Rat
产品应用 WB=1:500-2000,IHC-P=1:100-500,IHC-F=1:100-500,IF=1:100-500,Flow-Cyt=2ug/Test
not yet tested in other applications.
optimal dilutions/concentrations should be determined by the end user.
理论分子量 60 kDa
检测分子量
细胞定位 细胞核 
性    状 Liquid
浓    度 1mg/ml
免 疫 原 KLH conjugated synthetic peptide derived from human PUF60: 1-100/559 
亚    型 IgG
纯化方法 affinity purified by Protein A
缓 冲 液 0.01M TBS (pH7.4) with 1% BSA, 0.02% Proclin300 and 50% Glycerol.
保存条件 Shipped at 4℃. Store at -20℃ for one year. Avoid repeated freeze/thaw cycles.
注意事项 This product as supplied is intended for research use only, not for use in human, therapeutic or diagnostic applications.
PubMed PubMed
产品介绍 This gene encodes a nucleic acid-binding protein that plays a role in a variety of nuclear processes, including pre-mRNA splicing and transcriptional regulation. The encoded protein forms a complex with the far upstream DNA element (FUSE) and FUSE-binding protein at the myelocytomatosis oncogene (MYC) promoter. This complex represses MYC transcription through the core-TFIIH basal transcription factor. Alternatively spliced transcript variants encoding multiple isoforms have been observed for this gene. [provided by RefSeq, Aug 2012]

Function:
DNA- and RNA-binding protein, involved in several nuclear processes such as pre-mRNA splicing, apoptosis and transcription regulation. In association with FUBP1 regulates MYC transcription at the P2 promoter through the core-TFIIH basal transcription factor. Acts as a transcriptional repressor through the core-TFIIH basal transcription factor. Represses FUBP1-induced transcriptional activation but not basal transcription. Decreases ERCC3 helicase activity. Does not repress TFIIH-mediated transcription in xeroderma pigmentosum complementation group B (XPB) cells. Is also involved in pre-mRNA splicing. Promotes splicing of an intron with weak 3'-splice site and pyrimidine tract in a cooperative manner with U2AF2. Involved in apoptosis induction when overexpressed in HeLa cells. Isoform 6 failed to repress MYC transcription and inhibited FIR-induced apoptosis in colorectal cancer. Isoform 6 may contribute to tumor progression by enabling increased MYC expression and greater resistance to apoptosis in tumors than in normal cells. Modulates alternative splicing of several mRNAs. Binds to relaxed DNA of active promoter regions. Binds to the pyrimidine tract and 3'-splice site regions of pre-mRNA; binding is enhanced in presence of U2AF2. Binds to Y5 RNA in association with TROVE2. Binds to poly(U) RNA.

Subcellular Location:
Nucleus. Colocalizes partially with TROVE2.

Tissue Specificity:
Isoform 2 is expressed in colonic epithelium and colorectal epithelium cancer (at protein level). Isoform 6 is expressed in colorectal epithelial cancer but below detection level in colonic epithelium. Expressed in heart, brain, placenta, lung, liver, skeletal muscle, kidney, pancreas, spleen, thymus, prostate, testis, ovary, small intestine, colon and peripheral blood leukocytes.

Similarity:
Belongs to the RRM half pint family.
Contains 3 RRM (RNA recognition motif) domains.

SWISS:
Q9UHX1

Gene ID:
22827

Database links:

Entrez Gene: 22827 Human

Entrez Gene: 67959 Mouse

Entrez Gene: 84401 Rat

Omim: 604819 Human

SwissProt: Q9UHX1 Human

SwissProt: Q3UEB3 Mouse

SwissProt: Q9WV25 Rat

Unigene: 521924 Human

Unigene: 29965 Mouse

Unigene: 96174 Rat



产品图片
Sample: LOVO(Human) Cell Lysate at 30 ug Primary:Anti-PUF60 (bs-19595R) at 1/300 dilution Secondary: IRDye800CW Goat Anti-Rabbit IgG at 1/20000 dilution Predicted band size: 60 kD Observed band size: 64 kD
Sample: Hela(Human) Cell Lysate at 30 ug Primary: Anti-PUF60 (bs-19595R) at 1/500 dilution Secondary: IRDye800CW Goat Anti-Rabbit IgG at 1/20000 dilution Predicted band size: 60 kD Observed band size: 60 kD
Sample: Hela(Human) Cell Lysate at 30 ug Primary: Anti-PUF60 (bs-19595R) at 1/500 dilution Secondary: IRDye800CW Goat Anti-Rabbit IgG at 1/20000 dilution Predicted band size: 60 kD Observed band size: 63 kD
Paraformaldehyde-fixed, paraffin embedded (Mouse colon); Antigen retrieval by boiling in sodium citrate buffer (pH6.0) for 15min; Block endogenous peroxidase by 3% hydrogen peroxide for 20 minutes; Blocking buffer (normal goat serum) at 37°C for 30min; Antibody incubation with (PUF60) Polyclonal Antibody, Unconjugated (bs-19595R) at 1:400 overnight at 4°C, followed by operating according to SP Kit(Rabbit) (sp-0023) instructionsand DAB staining.
Paraformaldehyde-fixed, paraffin embedded (Mouse brain); Antigen retrieval by boiling in sodium citrate buffer (pH6.0) for 15min; Block endogenous peroxidase by 3% hydrogen peroxide for 20 minutes; Blocking buffer (normal goat serum) at 37°C for 30min; Antibody incubation with (PUF60) Polyclonal Antibody, Unconjugated (bs-19595R) at 1:400 overnight at 4°C, followed by operating according to SP Kit(Rabbit) (sp-0023) instructionsand DAB staining.
Paraformaldehyde-fixed, paraffin embedded (Rat brain); Antigen retrieval by boiling in sodium citrate buffer (pH6.0) for 15min; Block endogenous peroxidase by 3% hydrogen peroxide for 20 minutes; Blocking buffer (normal goat serum) at 37°C for 30min; Antibody incubation with (PUF60) Polyclonal Antibody, Unconjugated (bs-19595R) at 1:400 overnight at 4°C, followed by operating according to SP Kit(Rabbit) (sp-0023) instructionsand DAB staining.
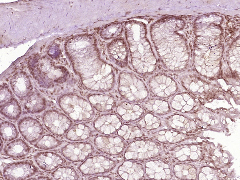
Paraformaldehyde-fixed, paraffin embedded (Rat colon); Antigen retrieval by boiling in sodium citrate buffer (pH6.0) for 15min; Block endogenous peroxidase by 3% hydrogen peroxide for 20 minutes; Blocking buffer (normal goat serum) at 37°C for 30min; Antibody incubation with (PUF60) Polyclonal Antibody, Unconjugated (bs-19595R) at 1:400 overnight at 4°C, followed by operating according to SP Kit(Rabbit) (sp-0023) instructionsand DAB staining.
Blank control:Hela. Primary Antibody (green line): Rabbit Anti-PUF60 antibody (bs-19595R) Dilution: 2ug/Test; Secondary Antibody : Goat anti-rabbit IgG-FITC Dilution: 0.5ug/Test. Protocol The cells were fixed with 4% PFA (10min at room temperature)and then permeabilized with 90% ice-cold methanol for 20 min at -20℃.The cells were then incubated in 5%BSA to block non-specific protein-protein interactions for 30 min at room temperature .Cells stained with Primary Antibody for 30 min at room temperature. The secondary antibody used for 40 min at room temperature. Acquisition of 20,000 events was performed.
版权所有 2004-2026 www.bioss.com.cn 北京博奥森生物技术有限公司
通过国际质量管理体系ISO 9001:2015 GB/T 19001-2016    证书编号: 00124Q34771R2M/1100
通过国际医疗器械-质量管理体系ISO 13485:2016 GB/T 42061-2022     证书编号: CQC24QY20047R0M/1100
京ICP备05066980号-1         京公网安备110107000727号