扫码关注公众号           扫码咨询技术支持           扫码咨询技术服务
  
客服热线:400-901-9800  客服QQ:4009019800  技术答疑  技术支持  质量反馈  关于我们  联系我们
产品中心-北京博奥森生物技术有限公司
首页 > 产品中心 > 一抗 > 产品信息
PRKRIR Rabbit pAb (bs-19963R)  
订购热线:400-901-9800
订购邮箱:sales@bioss.com.cn
订购QQ:  400-901-9800
技术支持:techsupport@bioss.com.cn
50ul/1180.00元
100ul/1980.00元
200ul/2800.00元
大包装/询价

产品编号 bs-19963R
英文名称 PRKRIR Rabbit pAb
中文名称 蛋白激酶PKR抑制蛋白PRKRIR抗体
别    名 52 kDa repressor of the inhibitor of the protein kinase; 58 kDa interferon induced protein kinase interacting protein; DAP4; Death associated protein 4; Inhibitor of protein kinase PKR; Interferon inducible double stranded RNA dependent inhibitor; MGC102750; P52rIPK; P58 repressor; p58IPK interacting protein; THAP domain containing protein 0; THAP0.P52K_HUMAN  
研究领域 细胞生物  激酶和磷酸酶  
抗体来源 Rabbit
克隆类型 Polyclonal
克 隆 号
交叉反应 Human,Mouse (predicted: Rat,Rabbit,Pig,Dog,Horse)
产品应用 WB=1:500-2000,IHC-P=1:100-500,IHC-F=1:100-500,IF=1:100-500
not yet tested in other applications.
optimal dilutions/concentrations should be determined by the end user.
理论分子量 88 kDa
检测分子量
细胞定位 细胞核 
性    状 Liquid
浓    度 1mg/ml
免 疫 原 KLH conjugated synthetic peptide derived from human PRKRIR: 301-400/761 
亚    型 IgG
纯化方法 affinity purified by Protein A
缓 冲 液 0.01M TBS (pH7.4) with 1% BSA, 0.02% Proclin300 and 50% Glycerol.
保存条件 Shipped at 4℃. Store at -20℃ for one year. Avoid repeated freeze/thaw cycles.
注意事项 This product as supplied is intended for research use only, not for use in human, therapeutic or diagnostic applications.
PubMed PubMed
产品介绍 PRKRIR is upstream regulator of interferon induced serine/threonine protein kinase R (PKR). It may block the PKR inhibitory function of P58IPK, resulting in the restoration of kinase activity and suppression of cell growth.

Function:
Upstream regulator of interferon-induced serine/threonine protein kinase R (PKR). May block the PKR-inhibitory function of P58IPK, resulting in restoration of kinase activity and suppression of cell growth.

Subunit:
Interacts with P58IPK, probably sequestring it.

Subcellular Location:
Nucleus

Similarity:
Contains 1 THAP-type zinc finger.

SWISS:
O43422

Gene ID:
5612

Database links:

Entrez Gene: 5612 Human

Entrez Gene: 72981 Mouse

Entrez Gene: 308845 Rat

Omim: 607374 Human

SwissProt: O43422 Human

SwissProt: Q9CUX1 Mouse

SwissProt: Q9R0T3 Rat

Unigene: 503315 Human



产品图片
Sample: Muscle (Mouse) Lysate at 40 ug Primary: Anti-PRKRIR (bs-19963R) at 1/300 dilution Secondary: IRDye800CW Goat Anti-Rabbit IgG at 1/20000 dilution Predicted band size: 88 kD Observed band size: 88 kD
Paraformaldehyde-fixed, paraffin embedded (mouse brain tissue); Antigen retrieval by boiling in sodium citrate buffer (pH6.0) for 15min; Block endogenous peroxidase by 3% hydrogen peroxide for 20 minutes; Blocking buffer (normal goat serum) at 37°C for 30min; Antibody incubation with (PRKRIR) Polyclonal Antibody, Unconjugated (bs-19963R) at 1:400 overnight at 4°C, followed by operating according to SP Kit(Rabbit) (sp-0023) instructionsand DAB staining.
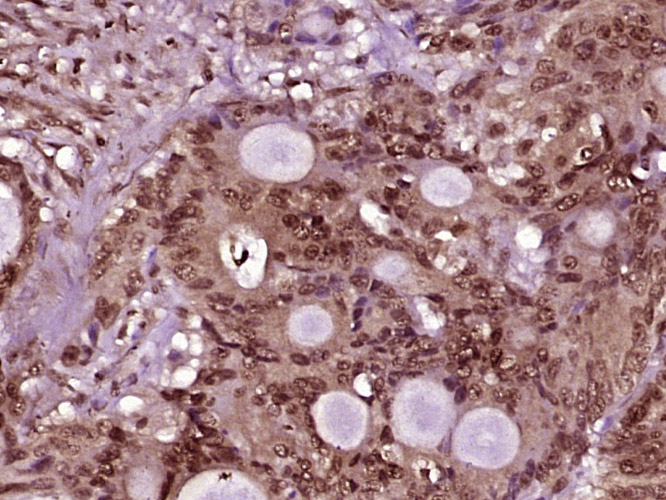
Paraformaldehyde-fixed, paraffin embedded (human colon carcinoma); Antigen retrieval by boiling in sodium citrate buffer (pH6.0) for 15min; Block endogenous peroxidase by 3% hydrogen peroxide for 20 minutes; Blocking buffer (normal goat serum) at 37°C for 30min; Antibody incubation with (PRKRIR) Polyclonal Antibody, Unconjugated (bs-19963R) at 1:400 overnight at 4°C, followed by operating according to SP Kit(Rabbit) (sp-0023) instructionsand DAB staining.
版权所有 2004-2026 www.bioss.com.cn 北京博奥森生物技术有限公司
通过国际质量管理体系ISO 9001:2015 GB/T 19001-2016    证书编号: 00124Q34771R2M/1100
通过国际医疗器械-质量管理体系ISO 13485:2016 GB/T 42061-2022     证书编号: CQC24QY20047R0M/1100
京ICP备05066980号-1         京公网安备110107000727号