扫码关注公众号           扫码咨询技术支持           扫码咨询技术服务
  
客服热线:400-901-9800  客服QQ:4009019800  技术答疑  技术支持  质量反馈  关于我们  联系我们
产品中心-北京博奥森生物技术有限公司
首页 > 产品中心 > 一抗 > 产品信息
PPP2R2C Rabbit pAb (bs-19547R)  
订购热线:400-901-9800
订购邮箱:sales@bioss.com.cn
订购QQ:  400-901-9800
技术支持:techsupport@bioss.com.cn
50ul/1180.00元
100ul/1980.00元
200ul/2800.00元
大包装/询价

产品编号 bs-19547R
英文名称 PPP2R2C Rabbit pAb
中文名称 蛋白磷酸酶2调节亚基2C抗体
别    名 2ABG_HUMAN; B55 gamma; gamma isoform of regulatory subunit B55 protein phosphatase 2; IMYPNO 1; IMYPNO; IMYPNO1; MGC33570; OTTHUMP00000115505; phosphoprotein phosphatase 2A BR gamma regulatory chain; PP2A subunit B B gamma isoform; PP2A subunit B B55 gamma isoform; PP2A subunit B isoform B55-gamma; PP2A subunit B isoform gamma; PP2A subunit B isoform PR55-gamma; PP2A subunit B isoform R2-gamma; PP2A subunit B PR55 gamma isoform; PP2A subunit B R2 gamma isoform; PPP2R2C; PPP2R2C protein; PR 52; PR 55G; PR52; PR55G; Protein phosphatase 2(formerly 2A) regulatory subunit B gamma isoform; Protein phosphatase 2 regulatory subunit B gamma; Protein phosphatase 2 regulatory subunit B gamma isoform; Protein phosphatase 2A1 B gamma subunit; Serine/threonine protein phosphatase 2A 55 kDa regulatory subunit B gamma isoform; Serine/threonine-protein phosphatase 2A 55 kDa regulatory subunit B gamma isoform.  
研究领域 细胞生物  信号转导  激酶和磷酸酶  
抗体来源 Rabbit
克隆类型 Polyclonal
克 隆 号
交叉反应 Mouse,Rat (predicted: Human,Rabbit,Sheep,Cow,Dog)
产品应用 WB=1:500-2000,IHC-P=1:100-500,IHC-F=1:100-500,IF=1:100-500
not yet tested in other applications.
optimal dilutions/concentrations should be determined by the end user.
理论分子量 51 kDa
检测分子量
细胞定位 细胞浆 
性    状 Liquid
浓    度 1mg/ml
免 疫 原 KLH conjugated synthetic peptide derived from human PPP2R2C: 1-100/447 
亚    型 IgG
纯化方法 affinity purified by Protein A
缓 冲 液 0.01M TBS (pH7.4) with 1% BSA, 0.02% Proclin300 and 50% Glycerol.
保存条件 Shipped at 4℃. Store at -20℃ for one year. Avoid repeated freeze/thaw cycles.
注意事项 This product as supplied is intended for research use only, not for use in human, therapeutic or diagnostic applications.
PubMed PubMed
产品介绍 The product of this gene belongs to the phosphatase 2 regulatory subunit B family. Protein phosphatase 2 is one of the four major Ser/Thr phosphatases, and it is implicated in the negative control of cell growth and division. It consists of a common heteromeric core enzyme, which is composed of a catalytic subunit and a constant regulatory subunit, that associates with a variety of regulatory subunits. The B regulatory subunit might modulate substrate selectivity and catalytic activity. This gene encodes a gamma isoform of the regulatory subunit B55 subfamily. Alternatively spliced transcript variants encoding different isoforms have been identified. [provided by RefSeq, Jul 2008]

Function:
The B regulatory subunit might modulate substrate selectivity and catalytic activity, and also might direct the localization of the catalytic enzyme to a particular subcellular compartment.

Similarity:
Belongs to the phosphatase 2A regulatory subunit B family.
Contains 7 WD repeats.

SWISS:
Q9Y2T4

Gene ID:
5522

Database links:

Entrez Gene: 422858 Chicken

Entrez Gene: 782110 Cow

Entrez Gene: 5522 Human

Entrez Gene: 269643 Mouse

Entrez Gene: 100521101 Pig

Entrez Gene: 117256 Rat

Omim: 605997 Human

SwissProt: Q9Y2T4 Human

SwissProt: Q8BG02 Mouse

SwissProt: P50410 Rabbit

SwissProt: P97888 Rat

Unigene: 479069 Human

Unigene: 41694 Mouse

Unigene: 54550 Rat



产品图片
Sample: Cerebrum (Rat) Lysate at 40 ug Cerebrum (Mouse) Lysate at 40 ug Primary: Anti-PPP2R2C (bs-19547R) at 1/300 dilution Secondary: IRDye800CW Goat Anti-Rabbit IgG at 1/20000 dilution Predicted band size: 51 kD Observed band size: 51 kD
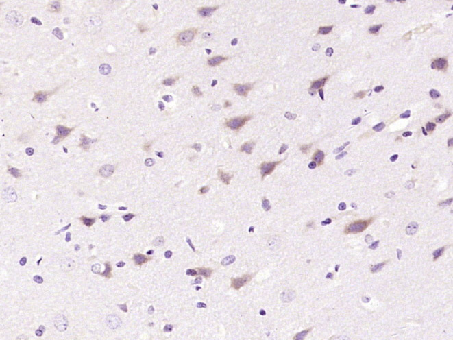
Paraformaldehyde-fixed, paraffin embedded (mouse brain tissue); Antigen retrieval by boiling in sodium citrate buffer (pH6.0) for 15min; Block endogenous peroxidase by 3% hydrogen peroxide for 20 minutes; Blocking buffer (normal goat serum) at 37°C for 30min; Antibody incubation with (PPP2R2C) Polyclonal Antibody, Unconjugated (bs-19547R) at 1:400 overnight at 4°C, followed by operating according to SP Kit(Rabbit) (sp-0023) instructionsand DAB staining.
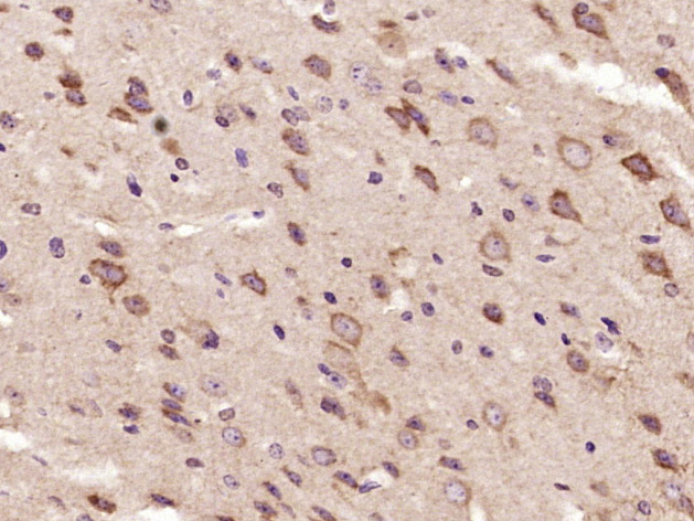
Paraformaldehyde-fixed, paraffin embedded (rat brain tissue); Antigen retrieval by boiling in sodium citrate buffer (pH6.0) for 15min; Block endogenous peroxidase by 3% hydrogen peroxide for 20 minutes; Blocking buffer (normal goat serum) at 37°C for 30min; Antibody incubation with (PPP2R2C) Polyclonal Antibody, Unconjugated (bs-19547R) at 1:400 overnight at 4°C, followed by operating according to SP Kit(Rabbit) (sp-0023) instructionsand DAB staining.
版权所有 2004-2026 www.bioss.com.cn 北京博奥森生物技术有限公司
通过国际质量管理体系ISO 9001:2015 GB/T 19001-2016    证书编号: 00124Q34771R2M/1100
通过国际医疗器械-质量管理体系ISO 13485:2016 GB/T 42061-2022     证书编号: CQC24QY20047R0M/1100
京ICP备05066980号-1         京公网安备110107000727号