扫码关注公众号           扫码咨询技术支持           扫码咨询技术服务
  
客服热线:400-901-9800  客服QQ:4009019800  技术答疑  技术支持  质量反馈  关于我们  联系我们
产品中心-北京博奥森生物技术有限公司
首页 > 产品中心 > 一抗 > 产品信息
PPP2R5E Rabbit pAb (bs-19971R)  
订购热线:400-901-9800
订购邮箱:sales@bioss.com.cn
订购QQ:  400-901-9800
技术支持:techsupport@bioss.com.cn
50ul/1180.00元
100ul/1980.00元
200ul/2800.00元
大包装/询价

产品编号 bs-19971R
英文名称 PPP2R5E Rabbit pAb
中文名称 蛋白磷酸酶2调节亚基5E抗体
别    名 2A5E_HUMAN; Epsilon isoform of regulatory subunit B56 protein phosphatase 2A; PP2A B subunit B' epsilon; PP2A B subunit B' epsilon isoform; PP2A B subunit B56 epsilon; PP2A B subunit B56 epsilon isoform; PP2A B subunit isoform B''-epsilon; PP2A B subunit isoform B'-epsilon; PP2A B subunit isoform B56-epsilon; PP2A B subunit isoform PR61-epsilon; PP2A B subunit isoform R5-epsilon; PP2A B subunit PR61 epsilon; PP2A B subunit PR61 epsilon isoform; PP2A B subunit R5 epsilon; PP2A B subunit R5 epsilon isoform; PPP2R5E; Protein phosphatase 2 regulatory subunit B(B56) epsilon isoform; Protein phosphatase 2 regulatory subunit B' epsilon isoform; Regulatory subunit B of protein phosphatase 2 epsilon isoform; Serine/threonine protein phosphatase 2A 56 kDa regulatory subunit epsilon.  
研究领域 细胞生物  信号转导  激酶和磷酸酶  
抗体来源 Rabbit
克隆类型 Polyclonal
克 隆 号
交叉反应 Mouse,Rat (predicted: Human,Horse)
产品应用 WB=1:500-2000,IHC-P=1:100-500,IHC-F=1:100-500,IF=1:100-500
not yet tested in other applications.
optimal dilutions/concentrations should be determined by the end user.
理论分子量 55 kDa
检测分子量
细胞定位 细胞浆 
性    状 Liquid
浓    度 1mg/ml
免 疫 原 KLH conjugated synthetic peptide derived from human PPP2R5E: 121-220/467 
亚    型 IgG
纯化方法 affinity purified by Protein A
缓 冲 液 0.01M TBS (pH7.4) with 1% BSA, 0.02% Proclin300 and 50% Glycerol.
保存条件 Shipped at 4℃. Store at -20℃ for one year. Avoid repeated freeze/thaw cycles.
注意事项 This product as supplied is intended for research use only, not for use in human, therapeutic or diagnostic applications.
PubMed PubMed
产品介绍 The protein encoded by this gene belongs to the phosphatase 2A regulatory subunit B family. Protein phosphatase 2A is one of the four major Ser/Thr phosphatases, and it is implicated in the negative control of cell growth and division. It consists of a common heteromeric core enzyme, which is composed of a catalytic subunit and a constant regulatory subunit, that associates with a variety of regulatory subunits. The B regulatory subunit might modulate substrate selectivity and catalytic activity. This gene encodes an epsilon isoform of the regulatory subunit B56 subfamily. Multiple transcript variants encoding several different isoforms have been found for this gene. [provided by RefSeq, Aug 2013]

Function:
The B regulatory subunit might modulate substrate selectivity and catalytic activity, and also might direct the localization of the catalytic enzyme to a particular subcellular compartment.

Subcellular Location:
Cytoplasm.

Post-translational modifications:
Phosphorylated on serine residues.

Similarity:
Belongs to the phosphatase 2A regulatory subunit B56 family.

SWISS:
Q16537

Gene ID:
5529

Database links:

Entrez Gene: 5529 Human

Entrez Gene: 26932 Mouse

Entrez Gene: 299147 Rat

Omim: 601647 Human

SwissProt: Q16537 Human

SwissProt: Q61151 Mouse

Unigene: 334868 Human

Unigene: 259626 Mouse

Unigene: 440646 Mouse



产品图片
Sample: Thymus (Mouse) Lysate at 40 ug Primary: Anti- PPP2R5E (bs-19971R) at 1/300 dilution Secondary: IRDye800CW Goat Anti-Rabbit IgG at 1/20000 dilution Predicted band size: 55 kD Observed band size: 55 kD
Sample: Testis (Mouse) Lysate at 40 ug Primary: Anti- PPP2R5E (bs-19971R) at 1/300 dilution Secondary: IRDye800CW Goat Anti-Rabbit IgG at 1/20000 dilution Predicted band size: 55 kD Observed band size: 55 kD
Sample: Cerebrum (Mouse) Lysate at 40 ug Epithelium (Mouse) Lysate at 40 ug Primary: Anti-PPP2R5E(bs-19971R)at 1/300 dilution Secondary: IRDye800CW Goat Anti-Rabbit IgG at 1/20000 dilution Predicted band size: 55kD Observed band size: 55kD
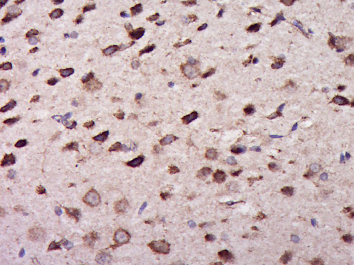
Paraformaldehyde-fixed, paraffin embedded (Rat brain); Antigen retrieval by boiling in sodium citrate buffer (pH6.0) for 15min; Block endogenous peroxidase by 3% hydrogen peroxide for 20 minutes; Blocking buffer (normal goat serum) at 37°C for 30min; Antibody incubation with (PPP2R5E) Polyclonal Antibody, Unconjugated (bs-19971R) at 1:400 overnight at 4°C, followed by operating according to SP Kit(Rabbit) (sp-0023) instructions and DAB staining.
版权所有 2004-2026 www.bioss.com.cn 北京博奥森生物技术有限公司
通过国际质量管理体系ISO 9001:2015 GB/T 19001-2016    证书编号: 00124Q34771R2M/1100
通过国际医疗器械-质量管理体系ISO 13485:2016 GB/T 42061-2022     证书编号: CQC24QY20047R0M/1100
京ICP备05066980号-1         京公网安备110107000727号